Correction to: Scientific Reports https://doi.org/10.1038/s41598-023-36145-w, published online 05 June 2023
The original version of this Article contained an error in Figure 4A, where due to an error in the process of naming the image during the experiments, the H&E image of ‘HFD’ group was an incorrect version of the experimental dataset. The original Figure 4 and accompanying legend appear below.
Effect of exercise on hyperlipidemia-induced cardiac damage shown using H&E, PAS, WGA, and Oil Red O staining. (A) Exercise attenuated inflammatory cell infiltration in HFD + E group mice compared with that in ApoE−/− HFD group mice. Scale bar = 100 μm. Arrows indicate positively stained cells. (B) WGA-stained (green fluorescence) and DAPI-stained (blue fluorescence) cardiac tissue sections obtained at × 40 magnification. (C) PAS staining in cardiac tissues. Scale bar = 100 μm. Arrows indicate positively stained cells. (D) Oil Red O staining of cardiac tissue sections obtained at × 40 magnifications. (E) Bar graph showing differences in the CSA of cardiomyocytes and percentage of PAS and Oil Red O positive cells, among different groups. Data are shown as the mean ± SEM; n = 3 per group, *P < 0.05; **P < 0.01. ApoE apolipoprotein E, HFD high-fat diet, ND normal diet, E exercise training, H&E hematoxylin and eosin, PAS periodic acid-Schiff, WGA wheat germ agglutinin, CSA cross-sectional area.
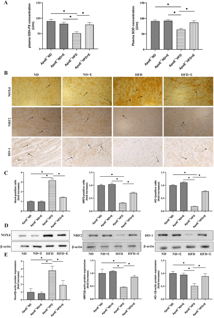
Additionally, the Article contained an error in Figure 5B, where the NRF2 image under ‘ND’ group was a duplication of the NRF2 image under ‘ND + E’ group. The original Figure 5 and accompanying legend appear below.
Effect of exercise on hyperlipidemia-induced cardiac oxidative stress. (A) GSH-Px and SOD levels in the four mouse groups after 12 weeks of different treatments. (B) Representative immunohistochemistry staining for NOX4, NRF2, and HO-1 in cardiac tissue of mice with different treatments. Scale bar = 100 μm. Arrows indicate positively stained cells. (C) NOX4, NRF2, and HO-1 positive cells. Data represent the mean ± SEM; n = 7 per group. (D) Western blotting for NOX4, NRF2. and HO-1 protein expression in cardiac tissue. (E) Quantification of NOX4, NRF2, and HO-1 protein expression. Data represent the mean ± SEM; n = 3 per group. *P < 0.05. GSH-Px glutathione peroxidase, SOD superoxide dismutase, HO-1 heme oxygenase 1, NRF2 nuclear factor erythroid 2-related factor, NOX4 NADPH Oxidase 4.
The original Article has been corrected.
Author information
Authors and Affiliations
Corresponding author
Rights and permissions
Open Access This article is licensed under a Creative Commons Attribution 4.0 International License, which permits use, sharing, adaptation, distribution and reproduction in any medium or format, as long as you give appropriate credit to the original author(s) and the source, provide a link to the Creative Commons licence, and indicate if changes were made. The images or other third party material in this article are included in the article’s Creative Commons licence, unless indicated otherwise in a credit line to the material. If material is not included in the article’s Creative Commons licence and your intended use is not permitted by statutory regulation or exceeds the permitted use, you will need to obtain permission directly from the copyright holder. To view a copy of this licence, visit http://creativecommons.org/licenses/by/4.0/.
About this article
Cite this article
Pei, Z., Ji, J., Gao, Y. et al. Correction: Exercise reduces hyperlipidemia-induced cardiac damage in apolipoprotein E-deficient mice via its effects against inflammation and oxidative stress. Sci Rep 15, 23799 (2025). https://doi.org/10.1038/s41598-025-06634-1
Published:
Version of record:
DOI: https://doi.org/10.1038/s41598-025-06634-1

