Abstract
This study evaluated the effects of a herbal mixture (HM) composed of black seeds, dill, sage, and coriander on pigeon squabs and their parents. Using a randomized design, 54 squabs were divided into three groups. All groups were fed a basal diet, and HM was added to groups 2 and 3 at 1% and 2%, respectively. To receive crop milk, squabs were caged with their parents. Squab performance and the self-maintenance behaviors (sleeping and preening) of their parents were positively affected by HM supplementation (P = 0.001). Blood metabolites, including cholesterol, triglycerides, and low-density lipoprotein cholesterol (LDL-C), were significantly decreased (P = 0.001). Antioxidation biomarkers glutathione peroxidase (GSH-Px) and superoxide dismutase (SOD) were positively stimulated. The meat’s chemical composition, including fat, protein, amino acids, and moisture, was influenced by HM (P = 0.004). Histomorphometrical investigation of the bursa and spleen showed the significant effects of HM on the follicle area, medulla, white pulp area, and their S100-positive cells. Overall, adding HM, especially at a 1% concentration, was more cost-effective and improved pigeon parents’ behavior, squabs’ performance, immunity, antioxidant status, meat quality, and bursal and spleen histology and immunohistochemistry.
Similar content being viewed by others
Introduction
Pigeon domestication began approximately 5,000 years ago; however, pigeons have lived alongside humans for thousands of years, serving as message carriers or sources of food1. In ancient civilizations, pigeons played a significant role in culture and religious beliefs2. Squab (young pigeon) meat is better than other types of poultry because it is rich in polyunsaturated fatty acids, essential amino acids, and minerals3, and it features higher protein and lower fat contents4. Squabs rely on receiving crop milk from their parents for development and growth5. Thus, imbalanced or insufficient nutrients in the diet of parent pigeons not only affect them but also affect their squabs, as it may lead to poor feed conversion, slow growth, increased susceptibility to diseases, and consequently higher mortality rates3. Therefore, feeding pigeon parents a balanced diet that includes all the nutrients they need to sustain their squab production is crucial6.
Natural additives, such as herbs, are essential to the development of the poultry industry because they can enhance feed conversion, weight gain, immunity, production, and overall bird health7. Their immunomodulatory, antimicrobial, antioxidant, anti-inflammatory, growth-promoting, and digestive system-stimulating effects have been investigated8. Furthermore, scientists have found that growth-promoting herbs are more economical, available, and safer than antibiotics, with no risk of contamination with egg or meat residues9.
One of the most extensively grown herbs each year is black seed (Nigella sativa L.)10. It is regarded as one of the most effective natural growth promoters used in the poultry industry11 due to its bioactive polyphenolics, including quercetin, protocatechuic acid, rutin, kaempferol, epicatechin, and ellagic acid12. These compounds contribute to the growth-promoting, immunomodulatory, anti-inflammatory, antioxidant, antiparasitic, and antibacterial properties of black seed13,14.
Recent research has emphasized the effectiveness of another important herb, dill seeds (Anethum graveolens)15. Dill, as a plant, has a high content of phenols, minerals, and vitamins16. Ali et al.17 investigated essential oils from herbs such as dill and coriander, reported improvements in overall health in broilers. Also, the beneficial effects of dill and coriander were linked to their anti-inflammatory and antioxidant properties. The primary phytochemicals responsible for dill’s anti-inflammatory and antioxidant effects are carvone and limonene18.
Sage (Salvia officinalis) is another medicinal herb known for its high essential oil content, which can stimulate blood metabolites, enhance digestion and gut health, inhibit inflammation and microbial activity, and induce hypoglycemic and hypolipidemic effects19,20. Rasouli et al.21 noted that sage plants can serve as a replacement for traditional antibiotics in specific applications. Todorova et al.22 reported that adding dried sage to the diet of laying hens enhanced weight gain and egg quality.
Another herb of interest used as a flavoring is coriander (Coriandrum sativum L.)23. In addition to its use as a medicinal herb due to its high effectiveness in preventing microbial infections, inflammation, and oxidation24. Coriander enhances nutrient digestibility and immune response in several poultry studies25,26,27.
To our knowledge, the herbal mixture of black seed, dill, sage, and coriander has not been studied in pigeon nutrition. Additionally, a few studies investigated the effect of herbal synergy on squabs via parental feeding, in which food is transferred from breeders to squabs via the crop. Moreover, research assessing the immune organs in pigeons using histological and immunohistochemical methods under herbal supplementation is very limited. Therefore, we hypothesize that adding HM of black seed, dill, sage, and coriander in a 1:1:1:1 ratio to the diet of pigeon parents might influence their behavior and the performance, immunity, antioxidant status, meat quality, and histology and immunohistochemistry of the bursa and spleen of their squabs.
The present study was designed to determine the impact of dietary supplementation with a HM of black seeds, dill, sage, and coriander on performance, carcass traits, blood metabolites, antioxidant levels, immunity, meat quality, histology, and immunohistochemistry of pigeon squabs, and the behavior of their parents.
Materials and methods
The procedure of our experiment was carried out following the ethical standards and guidelines of the Faculty of Veterinary Medicine Ethics Committee, Assiut University, Egypt (06/2025/0348).
Herbal mixture, birds, diets, and experimental design
The HM applied in this experiment, which consisted of black seeds, dill seeds, sage powder, and coriander seeds in a 1:1:1:1 ratio, was obtained from a commercial supplier (Imtenan Company, Assiut, Egypt).
Fifty-four one-day-old squabs were allocated into three groups using a randomized design. Each treatment group included 3 replicates of 6 squabs each. The basal diet was provided to all groups, while the HM was added to groups 2 and 3 at concentrations of 1% and 2%, respectively. The squabs were distributed into cages, each containing two squabs and two parent pigeons (one male and one female). The pigeons (Egyptian Baladi pigeons) were obtained from a commercial pigeon farm (Cairo, Egypt). All groups were provided with the basal mash diet, while the HM was added to groups 2 and 3 at concentrations of 1% and 2%, respectively. Throughout the 28-day experimental period, each pair of pigeon breeders, together with their squabs, was placed in separate wire cages (50 cm length × 50 cm depth × 60 cm height). Nests, feed, and water tanks were supplied in all cages, so parent pigeons had unrestricted access to food and water. Meanwhile, squabs relied on crop milk via parental beak-to-beak feeding. The pigeons received 18 h of light per day. The temperature was maintained at 22–25 °C, with relative humidity between 55 and 65% throughout the trial period. The birds’ routine veterinary care and thermoregulatory requirements were administered throughout the 28-day experimental period. The basal diet’s ingredients, formulated according to Omar et al.28 and Amer et al.29, are shown in Table 1.
Growth performance and carcass characteristics
Feed intake was recorded weekly for squabs and breeding pigeons. The body weights of the parent pigeons and squabs were taken on the following days: 1, 14, and 28. For each replicate, the following parameters were calculated at the end of the experiment: average daily feed intake, parent pigeons’ weight loss, squabs’ average daily gain (ADG), and nest feed conversion ratio (NFCR) (NFCR = total feed intake per nest of pigeons/total weight gain of breeding pigeon and squabs) according to Chen et al.30.
Following the approved protocol, squabs (three / treatment) were euthanized at the study end via jugular bleeding (2 min). Following evisceration, the weights of the dressed carcass, abdominal fat, and internal organs (liver, gizzard, proventriculus, pancreas, heart, spleen, bursa of Fabricius, and thymus) were recorded and expressed as a proportion of the body weight (BW):
Behavior assessment
Behavioral data for both parents were collected via direct observation using the scan sampling technique31, with twice-daily sessions (8:00–9:00 AM and 2:00–3:00 PM, with 20 min/treatment/session) over two consecutive days each week. The behavioral satiety sequence (feeding, drinking, preening, and sleeping), as described by Spudeit et al.32, was observed.
Serum biochemical indices, antioxidant biomarkers, and Immunoglobulins
At the end of the experiment, jugular venipuncture was used to collect blood samples from 3 pigeon squabs per treatment. Serum was separated from the collected blood samples using a centrifuge (3000 x g max. RCF, 100–4400 rpm sp., Millipore Sigma, USA) at 3000 rpm for 10 min, then stored at -20 °C for further examination.
Triglycerides, total cholesterol (T. cholesterol), LDL-C, high-density lipoprotein cholesterol (HDL-C), total protein, and albumin were analyzed according to standardized protocols using Chemistry Analyzer (BT 1500 Biotechnica Instruments, Via Licenza, Roma) with commercial kits (Egyptian Company for Biotechnology, Cairo, Egypt).
Antioxidant biomarkers, GSH-Px and SOD, were quantified with commercially available colorimetric kits (Egyptian Company for Biotechnology, Cairo, Egypt) using a spectrophotometer (Unico UV, 2000; Spectra Lab Scientific Inc., VA, USA).
Immunoglobulins G (IgG) and immunoglobulin M (IgM) were determined using the MAGLUMI 2000 analyzer (Snibe Diagnostics, Shenzhen, China).
Meat quality assessment
Thigh and breast tissue from 3 squabs/group were cut into small pieces and thoroughly mixed in a mortar for subsequent meat chemical analysis, sensory examination, and measurement of quality parameters.
The pH levels of meat tissues were assessed with a pH meter (JENWAY 3505 pH meter, England), in line with the procedure outlined by Leroi et al.33. Color and odor were rated using a 9-point hedonic scale34. Drip loss was assessed utilizing methods established by Nkukwana et al.35 and Mahmoud et al.36. A technique from Honikel & Kim37 and Rahman & Kim38 was employed to gauge cooking loss. Water holding capacity (WHC) was measured using a modified approach39,40, which focused on fluid loss under muscle pressure.
Based on AOAC41 methods, a proximate analysis was conducted on squab samples to assess moisture, crude protein, fat, and ash content. The amino acid determination in the squab meat samples was performed as described by Li et al.42 using an amino acid analyzer (L-8900, Hitachi, Japan).
The meat oxidation analysis, including peroxide value and thiobarbituric acid reactive substances (TBARS), was performed43,44,45.
Histology and immunohistochemistry
At the end of the experiment, tissue samples from the bursa of Fabricius and the spleen of squabs were collected and fixed in 10% formalin. The fixed samples were dehydrated in alcohol, cleared in methyl benzoate, embedded in paraffin wax, and sectioned at 4–5 μm. Sections were stained with Harris hematoxylin and eosin46,47,48. The following measurements were taken using ImageJ software:
-
Bursa: area of follicle/um2, area of follicle medulla/um2, area of follicle cortex/um2, number of follicles/500 um, and S100 positive cell count.
-
Spleen: white pulp/um² area and S100 positive cell count.
Immunohistochemistry was carried out on the paraffin-embedded sections using antibodies S100 (1:100; Catalog No.: A21069) and counterstained with Mayer’s hematoxylin49,50,51.
Economic efficiency
The indices of economic evaluation included total feed costs, total revenue from bird sales, net revenue (returns minus costs), economic efficiency (EE, net returns divided by total costs multiplied by 100), and relative EE (the group’s efficiency compared to the control group, also multiplied by 100), based on the methodologies of Hassan & El Shoukary52 and Abdel-Raheem et al.53.
Statistical analysis
The results were analyzed using one-way ANOVA with SPSS 16.0 software (SPSS Inc., Chicago, IL). Pooled SEMs were assessed using Duncan’s multiple-range test, with P values < 0.05 considered statistically significant.
Results
Growth performance and carcass characteristics
Table 2 shows the effect of the HM on the growth performance and carcass characteristics of pigeon squabs. BW remained unaffected by dietary supplementation with 1% or 2% of the HM on day 14. However, by the end of the experiment (day 28), both treatment groups exhibited a significant increase in BW compared to the control group. ADG was significantly increased (P < 0.05) with HM treatments.
Compared to the control group, breeding pigeons and squabs showed significantly lower average daily feed intake and NFCR with HM (P < 0.05). The best NFCR was observed in birds fed 1% HM-supplemented diets.
The birds fed 1% supplemented diets exhibited numerically higher final BW and ADG, and a lower NFCR, than those fed 2% supplemented diets. Furthermore, no significant differences were noted among the HM treatment groups.
The dressing percentage and the relative weights of the liver, heart, gizzard, proventriculus, pancreas, bursa, thymus, spleen, and abdominal fat showed no significant differences (P > 0.05) among the various experimental groups.
Behavioral satiety sequence
Figures 1, 2, 3 and 4 illustrate the impact of the HM on the behavioral satiety sequence in parent pigeons. Overall, herbal supplementation did not affect parent pigeons’ feeding and drinking behaviors; however, male pigeons receiving 2% HM demonstrated increased feeding behavior (P < 0.05) during the second week. Additionally, both male and female parent pigeons showed improved preening and sleep behaviors (P < 0.05) following herbal treatment.
Serum biochemical indices, antioxidant biomarkers, and Immunoglobulins
The serum biochemical indices, antioxidant biomarkers, and immunoglobulins of pigeon squabs affected by HM are presented in Table 3. Herbal treatments significantly reduced serum T. cholesterol, LDL-C, and triglycerides (P < 0.05), while increasing HDL-C levels. Serum enzymes like SOD and GSH-Px showed significant increases, whereas IgG and IgM remained unaffected by the addition of HM.
Meat quality parameters
Table 4 summarizes the effect of HM on meat quality variables. HM supplementation did not affect meat quality parameters, such as pH, color, odor, drip loss, cooking loss, and WHC.
HM supplementation altered the nutritional composition of meat, resulting in significant decreases in moisture and crude protein content. In contrast, the percentage of ash and fat increased compared to the control group.
Oxidation analysis includes peroxide value, and TBARS were not affected by HM supplementation.
The composition of amino acids (essential and non-essential) in meat, as influenced by HM, is presented in Table 5. The essential amino acids—valine, methionine, isoleucine, and leucine—as well as the non-essential amino acids, including glutamine, arginine, glycine, cystine, tyrosine, histidine, and proline, were not altered by HM. Herbal treatments significantly reduced lysine and asparagine levels while increasing serine levels. Phenylalanine and alanine decreased, whereas threonine increased with 1% herbal supplementation.
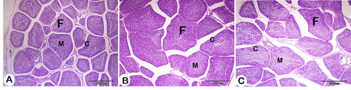
Histomorphometrical data
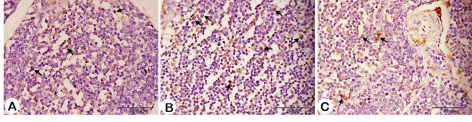
Bursal and spleen histomorphometrical data affected by HM are presented in Table 6. Regarding the bursa, both the area of the follicle and the area of the follicle medulla increased with HM supplementation, and this increase was significant with 1% HM. The control group exhibited the most numerous follicles, followed by the 2% HM group. On the other hand, the most numerous S100-positive cells were detected in the HM groups, with significance in the 1% HM group (Figs. 5 and 6; Table 6).
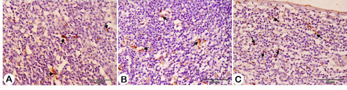
For spleen histomorphometry, the results showed a significant increase in the white pulp area with HM. Additionally, the number of S100-positive cells was significantly higher in the 2% HM group compared to both the control and 1% HM groups (Figs. 7 and 8; Table 6).
Economic efficiency
Table 7 provides a comparative economic evaluation of the experimental diets, detailing feed costs and returns. Compared to the control group, birds fed 1% HM showed an increase in net revenue, along with improvements in EE and relative EE, followed by those fed 2% HM.
Discussion
Supplementing animal diets with feed additives, such as herbs, can increase feed shelf life, improve animal health, and enhance the quality of products such as meat, milk, wool, and eggs54. Herbs, rich in bioactive compounds such as phenols, polysaccharides, and essential oils, and their various effects, including antioxidant, immunomodulatory, anti-inflammatory, and antimicrobial, have attracted the attention of many scientists in recent years55.
In our trial, HM had a positive effect on growth performance parameters. The BW and ADG of pigeon squabs increased, average daily feed intake decreased, and NFCR improved. Our results were in agreement with those of Abd El-Hack et al.56, El-Kashef57, Asghar et al.13, Yassein et al.58, Abdullah et al.59, AL-Hayani et al.60, and Ashour et al.61 reported an enhancement in birds’ growth performance with herbal supplementation and suggested that this improvement was due to increased nutrient digestibility and absorption resulting from the herbs. Herbs positively influence digestion through their essential oils and support the activity of intestinal and pancreatic enzymes62.
Increased weight gain and improved feed conversion ratios (FCR) were observed in broilers fed black seeds11, dill63, sage64,65, and coriander66,67.
It was identified that the herbal bioactive substances responsible for growth-promoting effects include quercetin, kaempferol, and ellagic acid in black seeds12, carvone and limonene in dill68, carotene, tannins, alkaloids, and saponins in sage plants22, and linalool compounds in coriander67. All these bioactive compounds act as appetite stimulants, inhibitors of gastrointestinal microbes, and enhancers of nutrient absorption, thus promoting animal growth and overall health12,22,67,68. Moreover, the bioactive compounds in dill, flavonoids, can play an essential role in preventing tissue degradation and enhancing protein synthesis69.
However, supplementing broilers’ diets with black seeds70, dill15, sage21, and coriander71,72 in different studies did not impact growth performance parameters.
Regarding the traits of the squab’s carcass, HM did not affect dressing percentage, abdominal fat, or internal organ weight. Our results were aligned with several studies indicating that adding black seed73, dill74, sage75, or coriander67,72 to a bird’s diet did not influence carcass traits. Conversely, internal organs and carcass traits in other studies were positively affected by coriander supplementation76 and sage powder77.The variability of herbal effects across poultry trials may stem from differences in extraction methods, dosage levels, environmental conditions, or genetic differences among bird breeds.
Behavioral data indicated that HM did not affect the feeding and drinking of parent pigeons, except in 2% of HM, where male pigeons showed increased feeding during the second week. The increase in feeding behavior in males may be due to HM enhancing digestion, nutrient digestibility, and gut health [20, 21, 26–28]. Moreover, it’s possible that male pigeons exhibit better results than females since they are endued with more homo-fermentative lactic acid bacteria. Male animals’ guts contain a more beneficial microbiota, as evidenced by the proximal and distal ileum’s concurrently decreased goblet cell counts and the distal ileum’s increased villus surface area78. Multiple studies have found that herbs do not significantly impact feeding and drinking behavior, including black seed79, dill seed15, sage powder21, and coriander seed80.
Regarding preening and sleeping behaviors, HM improved these activities in birds. The calming and hypnotic effects of linalool oil, which improve sleep latency and lessen sleep disturbances81, as well as its anti-anxiety qualities82, may be the reason for the increase in sleeping and preening behavior in the case of HM addition. In addition, by regulating sleep/wake cycles, controlling cortisol/melatonin balance through Hypothalamic–Pituitary–Adrenal axis regulation, and activating Gamma-aminobutyric acid in the central nervous system, black cumin oil (BCO-5) reduced stress and enhanced the quality of sleep83. By raising the levels of 5-hydroxy tryptophan and tryptophan in the brain, BCO-5 can raise melatonin levels. This, in turn, raises serotonin levels, the biosynthetic precursor of melatonin84. These data were aligned with those of Lima Giacobbo et al.85 and Mima et al.86, detected improvements in these behaviors and overall health with herbs. In contrast to these findings, EL Shoukary et al.79, who added black seed to the diet of pigeons, did not record any significant herbal effects on these self-maintaining behaviors. This may suggest that bird behaviors regarding the addition of herbs to their diets vary depending on the herb itself.
Birds’ health and metabolism are indicated by levels of total proteins, albumin, and globulin in their blood87. In our experiment, blood proteins were not affected by HM. Consistent with these findings, black seed88,89, hemp and dill seeds15, sage powder77, and coriander seed72 did not impact these parameters when added to poultry diets. The lack of a significant effect on blood protein concentrations may be explained by the fact that HM does not disrupt protein metabolism or hepatic synthetic activity. Additionally, the bioactive components of these additives, which include phenolic compounds, flavonoids, terpenoids, and essential fatty acids, mainly function as antioxidants and anti-inflammatory agents90. Therefore, the stable blood protein profile observed in this study due to HM inclusion reflects normal liver function and balanced protein metabolism.
Herbal supplementation had an adverse effect on T. cholesterol, LDL-C, and triglycerides, and a positive effect on HDL-C levels. Al-Jaff91 and Farhadi et al.65 reported similar findings with the supplementation of coriander and sage powder. The herbal ability to lower cholesterol and triglyceride levels in blood is linked to their bioactive substances, which can inhibit the absorption of cholesterol and unsaturated fatty acids, promote their excretion in the intestine as with black seeds57,92, or block hepatic cholesterogenic enzymes such as cholesterol-7α-hydroxylase as with dill seeds15, or help regulate lipid metabolism93.
Herbs can affect antioxidant activity by increasing the expression of genes that encode antioxidant enzymes93. In our study, herbal supplementation increased the level of the antioxidant indicators SOD and GSH-Px. These enzymes are characterized by their exceptional ability to detoxify free radicals94. Various studies have reported that these enzymes can be stimulated by several herbs: black seeds11, dill94, sage extract95, and coriander96. The antioxidative effects of herbs in birds, including the activation of enzymes, inhibition of lipid peroxidation, and scavenging of superoxide anions, are attributed to their bioactive components, such as ascorbic acid, flavonoids, and polyphenols96,97.
Regarding immunity and immunoglobulin response to herbal supplementation in our study, IgG and IgM showed non-significant numerical increases. Our results were not consistent with previous studies that reported a positive effect of herbs on bird immunity, such as black seed98, coriander99, and dill21. The variation in results between our study and others may relate to the type of herbs used, the level of herbs, the species fed the herbs, and the experimental design used.
Bird immunity can be boosted by herbs through various direct and indirect mechanisms. The herbal bioactive compounds, such as flavonoids and terpenoids, can directly influence immunity96 by stimulating immune cells93, indirectly by increasing immunoglobulin production, or by reducing oxidative stress7,11. Furthermore, Jiang et al.100 noted that herbal compounds can improve gut microbiota by suppressing harmful bacteria and promoting beneficial bacteria. This enhances digestion and absorption, which, in turn, helps modulate immunity and the immune response.
Generally, the meat quality parameters in our study were unaffected by HM, showing normal levels similar to those of the control. The meat pH values in the control and HM groups ranged from 5.94 to 6.2. Fu et al.101 noted that birds fed herbs had lower stress and less glycogen depletion before slaughter, which helped maintain meat pH within the normal range (5.7-6.0). Similarly, the values for color, odor, drip loss, cooking loss, WHC, peroxide value, and TBARS were similar to those of the control and were not affected by HM.
In their herbal studies38,101,102,103,104,105, researchers found that herbs can positively influence meat quality by delaying oxidation, reducing lactic acid buildup, and preventing volatile compound formation, thereby helping protect meat proteins.
The chemical makeup of poultry meat can be improved through herbal supplementation, affecting its protein, fat, fatty acids, amino acids, and minerals102. Our study showed that fat and ash levels increased, moisture and crude protein levels decreased, and the composition of essential and non-essential amino acids was altered with HM supplementation. Bonos et al.106 observed an increase in meat fat content when sage and oregano were added to broiler diets. They suggested that bioactive substances in herbs play a crucial role in preserving broiler meat and extending its shelf life by regulating the meat’s lipid profile through the inhibition of Polyunsaturated Fatty Acids oxidation and the reduction of saturated fat. Although meat protein content decreased in our experiment, Liu et al.107 reported that herbs can positively affect meat protein by stimulating genes involved in protein metabolism in birds.
Histomorphometrical results demonstrated significant effects of dietary HM supplementation on numerous parameters in the bursa. The area of the follicle in both HM groups was increased with HM supplementation, with a particularly significant enlargement detected in the 1% HM. This indicated that HM may promote follicular expansion, potentially enhancing immune cell activity and responses, as the Bursa of Fabricius is a unique constituent of the bird immune system and plays an important role in B lymphocyte development108,109. Also, the area of the follicle medulla was enhanced in the HM groups and increased significantly in the 1% HM compared to the other groups. This indicates that dietary supplementation with HM, especially at lower doses, can support the medullary region’s development. Previous studies support our findings. For example, black seed supplementation increased the size of bursal follicles and enhanced the immunity of broiler chickens110. Similarly, sage powder increased the weight of the Bursa of Fabercius111. In addition, coriander seed powder supplementation increased the bursa weight of broilers and is suggested to have immune stimulant effects67.
The spleen is one of the most important immune organs, plays a vital role in the immune response, and is considered the largest lymphoid tissue112,113. Spleen tissue analysis following HM supplementation indicated dose-dependent variations in histomorphometrical data. The white pulp area in both HM groups increased significantly compared to the control, with the 2% HM showing the most marked enlargement. This indicated that HM at higher doses may influence white pulp area architecture, possibly improving immune function, as the white pulp is lymphoid tissue responsible for several immune functions, such as containing immune cells that target blood-borne pathogens114. Our findings were supported by earlier research. For instance, using of black seeds in the diet enhances immunity and increases the size of the spleen and bursa in broiler chickens115. Similarly, black seed supplementation in the diets of rat increases the area of the splenic white pulp116. In addition, sage powder induced immune cells and spleen weight in rabbits117. Also, in broiler chickens coriander seed supplementation had a pronounced outcome on the spleen weight of the118.
Black seeds, dill, sage, and coriander are well-known to have immunomodulatory effects. Black seeds have an immunomodulatory role through the induction of cellular immunity by inducing T lymphocyte proliferation and increasing total leukocyte count119. Furthermore, it promotes the synthesis of interferon and stimulates bone marrow cells116,120. In addition, dill supplementation has been reported to increase white blood cell numbers121. Sage enhanced humoral and cell-mediated immune response122. Coriander has been shown to improve innate immunity123.
The S100-positive cell counts in the bursa were higher in both HM groups, with 1% of HM showing a significant increase. Additionally, 2% HM demonstrated a significant rise in S100-positive cells in the spleen compared to the control and 1% HM. This suggests an enhancement of immune cell activity in the bursa and spleen following HM supplementation. The S100 protein, a low-molecular-weight calcium-binding protein, plays crucial roles in inflammation, immune responses, and calcium homeostasis. It acts as an antimicrobial agent, a chemoattractant, and a pro-inflammatory stimulator124. S100 was detected in birds at different ages in prior studies and is found in follicular dendritic cells in the spleen and eosinophilic granulocytes, dendritic cells, and reticular cells of the bursa125,126,127.
The economic assessment demonstrated that HM, particularly at the 1% level, was more cost-effective than the control diet. This improvement may result from reduced feed required to produce one unit of meat or enhanced feed conversion efficiency. These findings aligned with previous research showing that herbal supplementation improved the economic values of bird diets64,69,128.
Despite this study providing novel results for the impact of adding HM in pigeon nutrition, some limitations should be acknowledged. The available literature on herbals and HMs in pigeon nutrition is rare, which makes direct comparison difficult. The available literature on histological effects on immune organs is scarce in birds, and almost nonexistent in pigeons. Future studies with longer experimental periods and more sample size at different ages of pigeons and under different seasonal and physiological conditions are needed. Moreover, insertion of various histological, immunohistochemical, and molecular procedures is important to support the data and explain in depth the biological pathways in feeding experiments.
Conclusion
Incorporating 1% HM positively influenced pigeon parents’ behavior, squab performance, and the economic return. It also improved blood metabolites, antioxidant status, immunity, meat quality, and bursal and spleen architecture. Therefore, 1% HM may be considered a practical and sustainable strategy to enhance productivity and immunity in pigeon production.
Data availability
The datasets utilized and/or examined in the present investigation can be obtained from the corresponding author upon a reasonable request.
References
Devulder, A., Polack, B. & Mammeri, M. A global review of Cryptosporidium spp. In pigeons In the context of the One-Health concept. Revue d’Elevage Et De Médecine Vétérinaire Des. Pays Tropicaux. 78, 1–13 (2025).
Kokoszyński, D. et al. Carcass characteristics, physicochemical properties, and texture and microstructure of the meat and internal organs of carrier and King pigeons. Animals 10, 1315 (2020).
Lan, Y. et al. Influencing factors and quality traits of pigeon meat: a systematic review. Poult. Sci. 104, 105000 (2025).
Mao, H., Dong, X., Cao, H., Xu, N. & Yin, Z. Association of DGAT2 gene polymorphisms with carcass and meat quality traits in domestic pigeons (Columba livia). Br. Poult. Sci. 59, 149–153 (2018).
Ma, H. et al. Effects of supplementing drinking water of parental pigeons with Enterococcus faecium and Bacillus subtilis on antibody levels and microbiomes in squabs. Animals 14, 178 (2024).
Peng, J. et al. Effect of different dietary energy/protein ratios on growth performance, reproductive performance of breeding pigeons and slaughter performance, meat quality of squabs in summer. Poult. Sci. 102, 102577 (2023).
Pliego, A. B. et al. Beneficial and adverse effects of medicinal plants as feed supplements in poultry nutrition: a review. Anim. Biotechnol. 33, 369–391 (2022).
Gumowski, M. et al. The use of phytobiotics in the form of complexed organometallic phytoncides and micronized herbs in the nutrition of Ross 308 broiler chickens: effects on growth performance, meat quality, and immune response. Anim. Feed Sci. Technol. 326, 116391 (2025).
Abd El-Hack, M. E. et al. The effects of formic acid or herbal mixture on growth performance, carcass quality, blood chemistry, and gut microbial load in broiler chickens: formic acid & herbal mixture in broiler diets. Poult Sci. 104, 105085 (2025).
Demirci, M., Karslı, M. & Aluç, Y. Determining the effects of black Cumin seed oil on performance and meat fatty acid profile of broiler chickens. South. Afr. J. Anim. Sci. 49, 892–899 (2019).
Fathi, M. et al. Effects of black Cumin (Nigella Sativa) seed meal on growth performance, blood and biochemical indices, meat quality and cecal microbial load in broiler chickens. Livest. Sci. 274, 105272 (2023).
Gueffai, A. et al. Phenolics from defatted black Cumin seeds (Nigella sativa L.): ultrasound-assisted extraction optimization, comparison, and antioxidant activity. Biomolecules 12, 1311 (2022).
Asghar, M. U., Doğan, S. C., Wilk, M. & Korczyński, M. Effect of dietary supplementation of black cumin seeds (Nigella sativa) on performance, carcass traits, and meat quality of Japanese quails (Coturnix coturnix japonica). Animals 12, 1298 (2022).
Navidshad, B., Dadashi Orang, A. & Royan, M. The potential of black Cumin (Nigella sativa) as a natural feed additive for poultry: an update. World Poult. Sci. J. .81, 289–303 (2025).
Vispute, M. M. et al. Effect of dietary supplementation of hemp (Cannabis sativa) and dill seed (Anethum graveolens) on performance, serum biochemicals and gut health of broiler chickens. J. Anim. Physiol. Anim. Nutr. 103, 525–533 (2019).
Zeilab Sendijani, R., Abedian Kenari, A., Smiley, A. H. & Esmaeili, N. The effect of extract from dill anethum graveolens on the growth performance, body composition, immune system, and antioxidant system of rainbow trout. N Am. J. Aqualcult. 82, 119–131 (2020).
Ali, U., Qaisrani, S. N., Mahmud, A., Hayat, Z. & Toyomizu, M. Effects of supplemented Coriander, Ajwain, and dill seed essential oils on growth Performance, carcass Characteristics, gut Health, meat Quality, and immune status in broilers. J. Poult. Sci. 61, 2024006 (2024).
Chahal, K., Monika, A. K., Bhardwaj, U. & Kaur, R. Chemistry and biological activities of anethum graveolens L.(dill) essential oil: a review. J. Pharmacogn. Phytochem. 6, 295–306 (2017).
Vlaicu, P. A., Untea, A. E., Gavris, T. & Cornescu, G. M. Basil, thyme and Sage herbal plants and their associated essential oils as feed additives in chicken broilers. A literature review. Sci. Pap. Sci. Papers Ser. D Anim. Sci. 65, 14523 (2022).
Khosravi, V., Mahdavi, A. H. & Hatamzade Esfahani, N. Effects of Zataria multiflora, salvia officinalis and probiotics on intestinal microbial Colonization, Immunocompetence, jejunal histology and performance of laying hens. Vet. Med. Sci. 11, e70147 (2025).
Rasouli, B. et al. Effect of Sage (Salvia officinalis L.) aqueous leaf extract on performance, blood constituents, immunity response and ileal microflora of broiler chickens. Agrofor. Syst. 94, 1179–1187 (2020).
Todorova, M., Grigorova, S. & Gjorgovska, N. Effects of Sage (Salvia officinalis L.) supplementation in Hen diets on laying Productivity, egg Quality, and biochemical parameters. Acta Fytotechn Zootechn. 27, 143–150 (2024).
Khubeiz, M. M., Algriany, O. A., Elmghirbi, W. M. & Bilkhayr GhR, S. A. Effect of dietary supplementation of coriander seed (Coriandrum sativum l.) on gut morphology in broiler chickens. Online J. Anim. Feed Res14, 204–210 (2024).
Gadde, U., Kim, W., Oh, S. & Lillehoj, H. S. Alternatives to antibiotics for maximizing growth performance and feed efficiency in poultry: a review. Anim. Health Res. Rev. 18, 26–45 (2017).
Sabetan Shirazi, A., Hassanabadi, A., Agah, M. J. & Nasirimoghaddam, H. Effect of Olive leaf and coriander seed (Coriandrum sativum L.) supplementation on performance, intestinal morphology and nutrient digestibility in dite of broiler chickens. Res. J. Livest. Sci. 33, 135–150 (2020).
Hafeez, A. et al. Impact of coriander (Coriandrum sativum), Garlic (Allium sativum), Fenugreek (Trigonella foenum-graecum) on zootechnical performance, carcass quality, blood metabolites and nutrient digestibility in broilers chickens. Vet. Q. 44, 1–7 (2024).
Ismaeil, H. et al. Utilizing coriander as a natural remedy for combating Eimeria papillata infection and oxidative stress in mice. J. Taibah Univ. Sci. 19, 2467478 (2025).
Omar, M. A., Hassan, F. A. & Shahin, S. E. Economic assessment of various levels of protein and energy in pigeon squabs diet. Zagazig Vet. J. 45, 20–30 (2017).
Amer, H. Y. et al. Modulation of immunity, antioxidant status, performance, blood hematology, and intestinal histomorphometry in response to dietary inclusion of Origanum Majorana in domestic pigeons’ diet. Life 13, 664 (2023).
Chen, A. et al. Effect of tea polyphenols supplement on growth performance, antioxidation, and gut microbiota in squabs. Front. Microbiol. 14, 1329036 (2024).
Brereton, J. E., Tuke, J. & Fernandez, E. J. A simulated comparison of behavioural observation sampling methods. Sci. Rep. 12, 3096 (2022).
Spudeit, W. A. et al. The behavioral satiety sequence in pigeons (Columba livia). Description and development of a method for quantitative analysis. Physiol. Behav. 122, 62–71 (2013).
Leroi, F., Joffraud, J. J., Chevalier, F. & Cardinal, M. Research of quality indices for cold-smoked salmon using a Stepwise multiple regression of Microbiological counts and physico‐chemical parameters. J. Appl. Microbiol. 90, 578–587 (2001).
Svensson, L. Design and performance of small scale sensory consumer tests. Master’s thesis, Swedish University of Agricultural Sciences, Uppsala, Sweden. (2012). https://stud.epsilon.slu.se/5045/1/svensson_l_121108.pdf
Nkukwana, T. et al. Proximate composition and variation in colour, drip loss and pH of breast meat from broilers supplemented with Moringa Oleifera leaf meal over time. Anim. Prod. Sci. 56, 1208–1216 (2015).
Mahmoud, U. T. et al. Effect of zinc oxide nanoparticles on broilers’ performance and health status. Trop. Anim. Health Prod. 52, 2043–2054 (2020).
Honikel, O. & Kim, C. J. Causes of the development of. PSE Pork Fleischwirtschaft. 66, 1515–1520 (1986).
Rahman, M. & Kim, S. J. Effects of dietary Nigella sativa seed supplementation on broiler productive performance, oxidative status and qualitative characteristics of thighs meat. Ital. J. Anim. Sci. 15, 241–247 (2016).
Hamn, R. Biochemistry of meat hydratation. Adv. Food Res. 10, 335–443 (1960).
Hashizawa, Y., Kubota, M., Kadowaki, M. & Fujimura, S. Effect of dietary vitamin E on broiler meat qualities, color, water-holding capacity and shear force value, under heat stress conditions. Anim. Sci. J. 84, 732–736 (2013).
Agroindustriais, P. A. O. A. C. Official methods of analysis of the association of official analytical Chemists. Caracterização, Propagação E melhoramento Genético. De Pitaya Comercial E Nativa Do Cerrado. 26, 62 (2013).
Li, S. et al. Assessment of 28 trace elements and 17 amino acid levels in muscular tissues of broiler chicken (Gallus gallus) suffering from arsenic trioxide. Ecotox Environ. Safe. 144, 430–437 (2017).
Asakawa, T. & Matsushita, S. Colorimetric determination of peroxide value with potassium iodide-silica gel reagent. J. Am. Oil Chem. Soc. 55, 619–620 (1978).
Tekce, E. et al. Effects of an essential oil mixture added to drinking water for temperature-stressed broilers: performance, meat quality, and thiobarbituric acid-reactive substances. J. Appl. Poult. Res. .29, 77–84 (2020).
Alam, A. N., Hwang, Y. H., Samad, A. & Joo, S. T. Meat quality traits using Gelatin–Green tea extract hybrid electrospun nanofiber active packaging. Foods 14, 1734 (2025).
Younis, M., Abdo, S. G., Elmakarem, M. A. A., Mustafa, F. E. Z. A. & Fawaz, M. A. Evaluating dried pomegranate Peel as a functional feed additive: effects on growth, carcass traits, and gut health in broilers. Trop. Anim. Health Prod. 57, 221 (2025).
Uvarna, K. S., Layton, C. & Bancroft, J. D. Bancroft’s Theory and Practice of Histological Techniques E-Book (Elsevier health sciences, 2018).
El-Desoky, S. M. & Mustafa, F. E. A. Histological and histochemical studies on the oviduct microcirculation of the laying Japanese quail (Coturnix japonica). Anat. Histol. Embryol. 48, 346–357 (2019).
Mustafa, F. E. A. Characterization of giant neuroendocrine cells in the pregnant new Zealand white rabbit vagina demonstrated by histological, histochemical, and immunohistochemical methods. Microsc. Res. Tech. 85, 3309–3315 (2022).
Mustafa, F. E. A. Immunohistochemical detection of endocrine and neuroendocrine receptors in the rabbit vagina. J. Exp. Zool. A Ecol. Integr. Physiol. 343, 837–845 (2025).
Mustafa, F. E. Z. A. et al. MMP-9 expression in bone cells in the developing femur. Tissue Cell. 95, 102862 (2025).
Hassan, R. I. & El Shoukary, R. D. Impact of dietary supplementation with Cress seeds (Lepidium sativum L.) on growth Performance, carcass characteristics and behavior of broilers. Alex J. Vet. Sci 61, 38 (2019).
Abdel-Raheem, G. S. et al. Fear Response, Performance, carcass characteristics and economic efficiency of Fayoumi chicks fed different levels of fennel seeds. J. Adv. Vet. Res. 11, 17–23 (2021).
Alem, W. T. Effect of herbal extracts in animal nutrition as feed additives. Heliyon 10, e24973 (2024).
Li, Y., Wang, K. & Li, C. Oxidative stress in poultry and the therapeutic role of herbal medicine in intestinal health. Antioxidants 13, 1375 (2024).
Abd El-Hack, M. E., Mahgoub, S. A., Hussein, M. M. & Saadeldin, I. M. Improving growth performance and health status of meat-type quail by supplementing the diet with black Cumin cold-pressed oil as a natural alternative for antibiotics. Environ. Sci. Pollut Res. 25, 1157–1167 (2018).
El-Kashef, M. M. Effect of different levels of Nigella sativa meal on growth performance, some blood biochemical and immune-responsiveness of broiler chicks. Egypt. Poult. Sci. 40, 729–741 (2020).
Yassein, S. E. D. A., El-Kady, R. I., Abedo, A. A., Mallah, E., Sallam, M. G. & G. M. & Response of growing Japanese quails to different types of some natural seed meals on Performance, carcass traits and some bbiochemical parameters. Egypt. J. Vet. Sci. 56, 1555–1563 (2025).
Abdullah, A., Al-Yasiry, O. I., Mahdi, A., Al-Gharawi, J. & M. & Evaluating the effects of aqueous extract from Sage leaves powder and licorice, individually and in combination, on the productive performance of Peking ducks. Egyp j. vet. sci. 56, 1301–1305 (2025).
Al-hayani, A. J. et al. Effect of coriander seeds extract on some biochemical parameters and body weight gain of Japanese quails. Assiut Vet. Med. J. 71, 267–275 (2025).
Ashour, E. A. et al. Effects of lactic acid and herbal blend as antibiotic alternatives on growth, carcass traits, blood chemistry, and microbial load in broiler chickens. Poult. Sci. 104, 105050 (2025).
Mohammed, H. A. et al. Essential oils Pharmacological activity: chemical markers, biogenesis, plant sources, and commercial products. Process. Biochem. 144, 112–132 (2024).
Hammod, A. J., El-Aziz, A., Areaaer, A. H., Alfertosi, K. A. & A. H. & Effect of dill powder (Anethum graveolens) as a dietary supplement on productive Performance, mortality and economic figure in broiler. IOP Conf. Ser. Earth Environ. Sci. 553, 012018 (2020).
El-Garhy, O. H. Effect of dietry Sage plant leaves powder and ascorbic acid supplementation on the performance of broiler chickens under Iraq conditions. Ann. Agric. Sci. Moshtohor. 56, 37–46 (2018).
Farhadi, M., Hedayati, M., Manafi, M. & Khalaji, S. Influence of using Sage powder (Salvia officinalis) on Performance, blood Cells, immunity Titers, biochemical parameters and small intestine morphology in broiler chickens. Iran. J. Appl. Sci. 10, 509 (2020).
Rashid, M. et al. Effect of different levels of Dhania seed (Coriandrum sativum) on the performance of broiler. Bang. J. Anim. Sci. 43, 38–44 (2014).
Taha, A. E. et al. Effects of supplementing broiler diets with coriander seed powder on growth performance, blood haematology, ileum microflora and economic efficiency. J. Anim. Physiol. Anim. Nutr. 103, 1474–1483 (2019).
Shnain, W. Z. & Ezzat, H. N. Effect of adding different levels of dill seeds to the diet on physiological traits of broilers: effect of adding different levels of dill seeds to the diet on physiological traits of broilers. IJMRCP 14, 103–109 (2022).
Omar, J. A., Hejazi, A. & Badran, R. Performance of broilers supplemented with natural herb extract. OJAS 6, 68 (2016).
Aydogan, I. et al. The effect of dietary Garlic (Allium sativum), black Cumin (Nigella sativa) and their combination on performance, intestine morphometry, serum biochemistry and antioxidant status of broiler chickens. Braz J. Poult. Sci. 22, eRBCA–2020 (2020).
Khubeiz, M. M. & Shirif, A. M. Effect of coriander (Coriandrum sativum L.) seed powder as feed additives on performance and some blood parameters of broiler chickens. Open. Vet. J. 10, 198–205 (2020).
El-Gogary, M., Dorra, T. M. & Khalil, H. Effect of dietary supplementation of coriander seed powder on growth Performance, carcass Characteristics, blood Parameters, Microbiological traits and physiological status of broiler chicks. J. Anim. Poult. Prod. 15, 9–18 (2024).
Seidavi, A. et al. Feeding of black Cumin (Nigella sativa L.) and its effects on poultry production and health. World Poult. Sci. J. 76, 346–357 (2020).
Rafiei-Tari, A. et al. Performance Carcass characteristics and serum biochemicals of Japanese quails fed with oat Bran (Avena sativa) and dill seed (Anethum graveolens). Iran. J. Appl. Sci. 6, 423–428 (2016).
Bulbul, T., Ozdemir, V. & Bulbul, A. Use of Sage (Salvia triloba L.) and Laurel (Laurus nobilis L.) oils in quail diets. Eurasian J. Vet. Sci. 31, 95–101 (2015).
Hady, M. et al. Assessment of the broilers performance, gut healthiness and carcass characteristics in response to dietary inclusion of dried coriander, turmeric and thyme. Int. J. Environ. Agric. Res. 2, 153–159 (2016).
AbdElAti, M., AbdEl-Ghaffar, M. A., Said, K. I. & Ali, A. M. Growth performance, carcass characteristics, economic efficiency and blood biochemical of broiler chicks fed different levels of wild mint (Mentha longifolia) and Sage (Salvia officinalis) plants. Sinai J. Appl. Sci. 10, 27–38 (2021).
Humer, E. et al. Gender-specific effects of a phytogenic feed additive on performance, intestinal physiology and morphology in broiler chickens. J. Anim. Physiol. Anim. Nutr. 99, 788–800 (2015).
Shoukary, E. L., Sayed, R. D., Hassan, R. I. & R. K. & Behavioral, hepato-morphological, and biochemical studies on the possible protective effect of black seed and water bath against change-mediated heat stress on pigeon. J. Basic. Appl. Zool. 79, 23 (2018).
Welay, K., Amaha, N., Demeke, S., Debusho, L. K. & Girma, M. Growth performance and carcass characteristics of Koekoek chickens exposed to temperature variation with supplementary coriander seed powder. J. Therm. Biol. 116, 103674 (2023).
Alqudah, A. et al. Effects of coriandrum sativum seeds on memory, anxiety, depression, and sleep quality in students: a randomized controlled study. Nutr. Food Sci. 54, 377–390 (2024).
Petrunich-Rutherford, M. L. Effects of coriander components Linalool and Geranyl acetate on stress-related neuroendocrine and behavioral measures in adult zebrafish (Danio rerio). Phytomed Plus. 5, 100843 (2025).
Saneha, O., Krishna, P., Krishnakumar, I. & Joseph, L. Exploring the possibility of a proprietary black Cumin oil extract as a dual orexin receptor antagonist in restoring stress-sleep balance on stress-induced sleep deprived animals. PharmaNutrition 26, 100357 (2023).
Maffei, M. E. 5-Hydroxytryptophan (5-HTP): natural occurrence, analysis, biosynthesis, biotechnology, physiology and toxicology. Int. J. Mol. Sci. 22, 181 (2020).
Lima Giacobbo, B. et al. Brain-derived neurotrophic factor in brain disorders: focus on neuroinflammation. Mol. Neurobiol. 56, 3295–3312 (2019).
Mima, Y. et al. Effects of coriandrum sativum seed extract on aging-induced memory impairment in Samp8 mice. Nutrients 12, 455 (2020).
Tóthová, C., Sesztáková, E., Bielik, B. & Nagy, O. Changes of total protein and protein fractions in broiler chickens during the fattening period. Vet. World. 12, 598 (2019).
Toghyani, M., Toghyani, M., Gheisari, A., Ghalamkari, G. & Mohammadrezaei, M. Growth performance, serum biochemistry and blood hematology of broiler chicks fed different levels of black seed (Nigella sativa) and peppermint (Mentha piperita). Livest. Sci. 129, 173–178 (2010).
Hafez, H. I., Attia, F. M., Ibrahim, K. A. & EL-nesr, S. S. Physiological responses of broiler chickens to dietary different forms and levels of Nigella sativa L., during Egyptian summer season. J. Agric. Vet. Sci. 4, 17–33 (2011).
Zhu, Y. et al. Dietary herbaceous mixture supplementation reduced hepatic lipid deposition and improved hepatic health status in post-peak laying hens. Poult. Sci. 101, 101870 (2022).
Al-Jaff, F. K. Effect of coriander seeds as diet ingredient on blood parameters of broiler chicks Raised under high ambient temperature. Int. J. Poult. Sci. 10, 82–86 (2011).
Khan, S. H., Ansari, J., Haq, A. U. & Abbas, G. Black Cumin seeds as phytogenic product in broiler diets and its effects on performance, blood constituents, immunity and caecal microbial population. Ital. J. Anim. Sci. 11, 438–444 (2012).
Liu, M. et al. Dietary Chinese herbal mixture supplementation improves production performance by regulating reproductive hormones, antioxidant capacity, immunity, and intestinal health of broiler breeders. Poult. Sci. 103, 103201 (2024).
Mohammadi, F. Chemical composition and dietary effects of Pennyroyal and dill on biochemical, hematological, and oxidative stress biomarkers in broiler chickens. J. Agric. Sci. Technol. 22, 401–413 (2020).
Bahadoran, S., Teymouri, Y., Hassanpour, H., Mohebbi, A. & Akbari, M. R. Effect of Sage (Salvia officinalis L.) extract in antioxidant status and intestinal morphology of pulmonary hypertensive chickens. Vet. Med. Sci. 9, 2176–2184 (2023).
Srinivas, G., Chinni, P. V., Vijaya, L. K., Raju, M. & Venkateshwarlu, M. Effect of dietary supplementation of coriander seed powder on performance, nutrient digestibility, immunity, antioxidant activity and serum parameters of broilers. Indian J. Anim. Sci. 92, 341–346 (2022).
Azeem, T., Zaib-Ur-Rehman, U. S., Asif, M., Arif, M. & Rahman, A. Effect of Nigella sativa on poultry health and production: A review. Sci. Lett. 2, 76–82 (2014).
Sigolo, S. et al. Effects of different plant extracts at various dietary levels on growth performance, carcass traits, blood serum parameters, immune response and ileal microflora of Ross broiler chickens. Ital. J. Anim. Sci. 20, 359–371 (2021).
Gharaghani, H., Shariatmadari, F. & Torshizi, M. Effect of fennel (Foeniculum vulgare Mill.) used as a feed additive on the egg quality of laying hens under heat stress. Rev. Bras. Cienc. Avic. 17, 199–207 (2015).
Jiang, Y. et al. Effects of natural extract from medicinal herbs on broilers experimentally infected with Eimeria Tenella. Vet. Parasitol. 327, 110107 (2024).
Fu, G. et al. The effect of combined dietary supplementation of herbal additives on carcass traits, meat quality, immunity and cecal microbiota composition in Hungarian white geese. PeerJ 11, e15316 (2023).
Jachimowicz, K., Winiarska-Mieczan, A. & Tomaszewska, E. The impact of herbal additives for poultry feed on the fatty acid profile of meat. Animals 12, 1054 (2022).
Manessis, G. et al. Plant-derived natural antioxidants in meat and meat products. Antioxidants 9, 1215 (2020).
Redoy, M., Shuvo, A., Cheng, L. & Al-Mamun, M. Effect of herbal supplementation on growth, immunity, rumen histology, serum antioxidants and meat quality of sheep. Animal 14, 2433–2441 (2020).
Habibi, A., Ghazanfari, S., Torshizi, M. A. K. & Sangcheshmeh, A. M. The effects of adding black Seed, L-Carnitine, and vitamin E on production Performance, carcass Characteristics, blood Biochemical, and immune parameters of Japanese laying quail under heat stress. IJASR 16, 101–124 (2024).
Bonos, E. et al. Effect of an herbal mixture of oregano, garlic, Sage and rock samphire extracts in combination with tributyrin on growth performance, intestinal microbiota and morphology, and meat quality in broilers. Sustainability 14, 13565 (2022).
Liu, M. et al. Effects of dietary polyherbal mixtures on growth performance, antioxidant capacity, immune function and jejunal health of yellow-feathered broilers. Poult. Sci. 102, 102714 (2023).
Abbate, F. et al. Age-dependent changes in the pigeon bursa of Fabricius vasculature: a comparative study using light microscopy and scanning electron microscopy of vessel casts. J. Anat. 211, 387–398 (2007).
Khan, I. et al. Effect of Moringa Oleifera leaf powder supplementation on growth performance and intestinal morphology in broiler chickens. J. Anim. Physiol. Anim. Nutr. 101, 114–121 (2017).
Hamedi, S., Shomali, T. & Molayemvand, P. Effect of dietary inclusion of black Cumin (Nigella sativa) seeds on histological parameters of caecal tonsils and bursa of Fabricius in broiler chickens. Egypt. Acad. J. Biol. Sci. D Histol. Histochem. 6, 33–39 (2015).
Majid, T., Iman, A. M. & Habib, A. S. Effect of Sage powder (Salvia officinalis L.) on serum biochemistry and immunity of broiler chicks. Обзоры по клинической фармакологии и лекарственной терапии. 10, 107 (2012).
Altamura, M. et al. Splenectomy and sepsis: the role of the spleen in the immune-mediated bacterial clearance. Immunopharmacol. Immunotoxicol. 23, 153–161 (2001).
Chen, K. et al. Effects of dietary selenium on histopathological changes and T cells of spleen in broilers exposed to aflatoxin B1. Int. J. Environ. Res. Public. Health. 11, 1904–1913 (2014).
Buchan, L. et al. High-fat, high-sugar diet induces splenomegaly that is ameliorated with exercise and genistein treatment. BMC Res. Notes. 11, 752 (2018).
Abdullah, F. K., Al-Nasser, A. Y., Al-Saffar, A., Omar, A. E. & Ragheb, G. Impact of dietary supplementation of different levels of black seeds (Nigella sativa L.) on production performance, mortality and immunity of broiler chickens. Int. J. Poult. Sci. 18, 467–474 (2019).
Mahmoud, H. S. et al. The effect of dietary supplementation with Nigella sativa (black seeds) mediates immunological function in male Wistar rats. Sci. Rep. 11, 7542 (2021).
Mohamed, M. A. F., Ahmed, H., Abd ELMawgoud, M. & Wadea, M. Impact of utilization Sage powder leaves (Salvia officinalis L) on productive Traits, carcass characteristics and blood parameters on new Zealand white male rabbits diets. Egypt. J. Rabbit Sci. 35, 111–124 (2025).
Farag, S. A. The efficiency of coriander seeds as dietary additives in broiler chicken’s diets. EJNF 16, 491–501 (2013).
Tutuncu, S. Black seed (Nigella sativa) and Immunomodulatory effect. IJVAR 3, 6–9 (2020).
Ciesielska-Figlon, K., Wojciechowicz, K., Wardowska, A. & Lisowska, K. A. The Immunomodulatory effect of Nigella sativa. Antioxidants 12, 1340 (2023).
Jangali, A., Hedayati, M., Khalaji, S. & Manafi, M. Oxidative stress and effects of dill (Anethum graveolens dhi) powder on the performance and health status of broilers. South. Afr. J. Anim. Sci. 51, 700–714 (2021).
Kara, K. & Pirci, G. Immunity Rumen metagenomics, ruminal variables, and growth performance of calves fed milk with Sage (Salvia officinalis) essential oil. Trop. Anim. Health Prod. 56, 27 (2024).
Das, S. et al. Dietary coriander (Coriandrum sativum L) oil improves growth, nutrient utilization, antioxidant status, tissue histomorphology and reduces omega-3 fatty acid production in nile tilapia (Oreochromis niloticus). Anim. Feed Sci. Technol. 305, 115774 (2023).
Singh, P. & Ali, S. A. Multifunctional role of S100 protein family in the immune system: an update. Cells 11, 2274 (2022).
Gallego, M., Olah, I., Del Cacho, E. & Glick, B. Anti-S-100 antibody recognizes ellipsoid-associated cells and other dendritic cells in the chicken spleen. Dev. Comp. Immunol. 17, 77–83 (1993).
Gallego, M., Del Cacho, E., Felices, C., Varas, A. & Bascuas, J. Distribution of bursal secretory dendritic cells in the chicken. Anat. Rec. 246, 372–376 (1996).
Kozlu, T., Sari, E. K., Bozkurt, Y. A. & Kurtdede, N. Immunohestochemical Staaning of cd3, cd79αcy and s-100 on bursa fabricius, thymus and spleen of Turkeys (Meleagris gallapavo). Indian J. Anim. Res. 53, 1450–1454 (2019).
Kinati, C., Ameha, N., Girma, M. & Nurfeta, A. Effective microorganisms, turmeric (Curcuma longa), and their combination on performance and economic benefits in broilers. Heliyon 8, e09568 (2022).
Funding
Open access funding provided by The Science, Technology & Innovation Funding Authority (STDF) in cooperation with The Egyptian Knowledge Bank (EKB).
Author information
Authors and Affiliations
Contributions
All authors contributed to the study conception, design, material preparation, and data collection. HM and diets preparation, growth performance and carcass characteristics evaluation was done with R.I.M.H., H.Y.A., and W.M.S.G. Behavior assessment was done with R.D.E. Serum biochemical indices, Antioxidant biomarkers, and immunoglobulins was done with A.A.R. Meat quality assessment was done with A.M.H. Histological and immunohistochemistry part was conducted with FEZ.A. M. The first draft of the manuscript was written by all authors. All authors read and approved the final manuscript.
Corresponding authors
Ethics declarations
Competing interests
The authors declare no competing interests.
Ethics approval and consent to participate
The experimental procedure received approval from the Local Ethical Committee, Assiut University (No. 06/2025/0348). We conducted the experiment in accordance with the approved protocol. We conducted this investigation in compliance with relevant norms and legislation. We conducted this investigation in accordance with the ARRIVE standards and regulations (https://arriveguidelines.org). The study protocols have adhered to all national and institutional guidelines for animal care and usage.
Additional information
Publisher’s note
Springer Nature remains neutral with regard to jurisdictional claims in published maps and institutional affiliations.
Rights and permissions
Open Access This article is licensed under a Creative Commons Attribution 4.0 International License, which permits use, sharing, adaptation, distribution and reproduction in any medium or format, as long as you give appropriate credit to the original author(s) and the source, provide a link to the Creative Commons licence, and indicate if changes were made. The images or other third party material in this article are included in the article’s Creative Commons licence, unless indicated otherwise in a credit line to the material. If material is not included in the article’s Creative Commons licence and your intended use is not permitted by statutory regulation or exceeds the permitted use, you will need to obtain permission directly from the copyright holder. To view a copy of this licence, visit http://creativecommons.org/licenses/by/4.0/.
About this article
Cite this article
Hassan, R.I.M., Amer, H.Y., Gomaa, W.M.S. et al. Herbal synergy enhances growth performance, antioxidant status, immunity, and lymphoid tissue architecture in pigeons. Sci Rep 15, 43105 (2025). https://doi.org/10.1038/s41598-025-26977-z
Received:
Accepted:
Published:
Version of record:
DOI: https://doi.org/10.1038/s41598-025-26977-z









