Abstract
RNA molecules with the expanded CAG repeat (eCAGr) may undergo sol–gel phase transitions, but the functional impact of RNA gelation is completely unknown. Here, we demonstrate that the eCAGr RNA may form cytoplasmic gel-like foci that are rapidly degraded by lysosomes. These RNA foci may significantly reduce the global protein synthesis rate, possibly by sequestering the translation elongation factor eEF2. Disrupting the eCAGr RNA gelation restored the global protein synthesis rate, whereas enhanced gelation exacerbated this phenotype. eEF2 puncta were significantly enhanced in brain slices from a knock-in mouse model and from patients with Huntington’s disease, which is a CAG expansion disorder expressing eCAGr RNA. Finally, neuronal expression of the eCAGr RNA by adeno-associated virus injection caused significant behavioral deficits in mice. Our study demonstrates the existence of RNA gelation inside the cells and reveals its functional impact, providing insights into repeat expansion diseases and functional impacts of RNA phase transition.

This is a preview of subscription content, access via your institution
Access options
Access Nature and 54 other Nature Portfolio journals
Get Nature+, our best-value online-access subscription
$32.99 / 30 days
cancel any time
Subscribe to this journal
Receive 12 print issues and online access
$259.00 per year
only $21.58 per issue
Buy this article
- Purchase on SpringerLink
- Instant access to the full article PDF.
USD 39.95
Prices may be subject to local taxes which are calculated during checkout






Similar content being viewed by others
Data availability
The uncropped gels are shown in the Source Data which is provided with this paper. The raw data used for statistical analysis are shown in the Source Data. The oligonucleotide sequences of all of the indicated reagents utilized in the study are shown in Supplementary Table 1. Precise values of ‘n’ of Fig. 2d,e and Extended Data Figs. 2d, 3d and 4d are shown in the Source Data. Raw data are shared in a public data repository at the website https://pan.baidu.com/s/1f7RSik0aCYB7hkM-iOacaA?pwd=2eoj.
Change history
29 December 2025
In the version of the Supplementary information initially published, the sequences listed for the siRNA targeting the LAMP2 isoforms (a, b, c) were incorrect and have now been amended. The corrected Supplementary information is now available online.
References
La Spada, A. R. & Taylor, J. P. Repeat expansion disease: progress and puzzles in disease pathogenesis. Nat. Rev. Genet. 11, 247–258 (2010).
Gardiner, S. L. et al. Prevalence of carriers of intermediate and pathological polyglutamine disease-associated alleles among large population-based cohorts. JAMA Neurol. 76, 650–656 (2019).
Genetic Modifiers of Huntington’s Disease (GeM-HD) Consortium. CAG repeat not polyglutamine length determines timing of Huntington’s disease onset. Cell 178, 887–900 e814 (2019).
Yang, S. et al. Lack of RAN-mediated toxicity in Huntington’s disease knock-in mice. Proc. Natl Acad. Sci. USA 117, 4411–4417 (2020).
Arteaga-Bracho, E. E. et al. Postnatal and adult consequences of loss of huntingtin during development: implications for Huntington’s disease. Neurobiol. Dis. 96, 144–155 (2016).
Becanovic, K. et al. A SNP in the HTT promoter alters NF-κB binding and is a bidirectional genetic modifier of Huntington disease. Nat. Neurosci. 18, 807–816 (2015).
Rodan, L. H. et al. A novel neurodevelopmental disorder associated with compound heterozygous variants in the huntingtin gene. Eur. J. Hum. Genet. 24, 1833 (2016).
Marti, E. RNA toxicity induced by expanded CAG repeats in Huntington’s disease. Brain Pathol. 26, 779–786 (2016).
Schilling, J. et al. Deregulated splicing is a major mechanism of RNA-induced toxicity in Huntington’s disease. J. Mol. Biol. 431, 1869–1877 (2019).
Jain, A. & Vale, R. D. RNA phase transitions in repeat expansion disorders. Nature 546, 243–247 (2017).
Swinnen, B., Robberecht, W. & Van Den Bosch, L. RNA toxicity in non-coding repeat expansion disorders. EMBO J. 39, e101112 (2020).
Lamark, T. & Johansen, T. Aggrephagy: selective disposal of protein aggregates by macroautophagy. Int. J. Cell Biol. 2012, 736905 (2012).
Fujiwara, Y., Wada, K. & Kabuta, T. Lysosomal degradation of intracellular nucleic acids—multiple autophagic pathways. J. Biochem. 161, 145–154 (2017).
Fujiwara, Y. et al. Discovery of a novel type of autophagy targeting RNA. Autophagy 9, 403–409 (2013).
Trettel, F. et al. Dominant phenotypes produced by the HD mutation in STHdhQ111 striatal cells. Hum. Mol. Genet. 9, 2799–2809 (2000).
Buchan, J. R., Kolaitis, R. M., Taylor, J. P. & Parker, R. Eukaryotic stress granules are cleared by autophagy and Cdc48/VCP function. Cell 153, 1461–1474 (2013).
Zhang, Y. et al. SEPA-1 mediates the specific recognition and degradation of P granule components by autophagy in C. elegans. Cell 136, 308–321 (2009).
Zhao, Y., Tian, E. & Zhang, H. Selective autophagic degradation of maternally-loaded germline P granule components in somatic cells during C. elegans embryogenesis. Autophagy 5, 717–719 (2009).
Mehrpour, M., Esclatine, A., Beau, I. & Codogno, P. Overview of macroautophagy regulation in mammalian cells. Cell Res. 20, 748–762 (2010).
Shieh, S. Y. & Bonini, N. M. Genes and pathways affected by CAG-repeat RNA-based toxicity in Drosophila. Hum. Mol. Genet. 20, 4810–4821 (2011).
Zhang, Q. et al. A peptidylic inhibitor for neutralizing expanded CAG RNA-induced nucleolar stress in polyglutamine diseases. RNA 24, 486–498 (2018).
Li, X., Lu, S., Lu, B. & Sun, X. Optogenetic control of GGGGCC repeat-containing RNA phase transition. Fundam. Res. 2, 843–850 (2022).
Bugaj, L. J., Choksi, A. T., Mesuda, C. K., Kane, R. S. & Schaffer, D. V. Optogenetic protein clustering and signaling activation in mammalian cells. Nat. Methods 10, 249–252 (2013).
Mann, J. R. et al. RNA binding antagonizes neurotoxic phase transitions of TDP-43. Neuron 102, 321–338 e328 (2019).
Sinturel, F. et al. Diurnal oscillations in liver mass and cell size accompany ribosome assembly cycles. Cell 169, 651–663 e614 (2017).
Schmidt, E. K., Clavarino, G., Ceppi, M. & Pierre, P. SUnSET, a nonradioactive method to monitor protein synthesis. Nat. Methods 6, 275–277 (2009).
Deng, Z. et al. Myostatin inhibits eEF2K-eEF2 by regulating AMPK to suppress protein synthesis. Biochem. Biophys. Res. Commun. 494, 278–284 (2017).
Arguello, R. J. et al. SunRiSE – measuring translation elongation at single-cell resolution by means of flow cytometry. J. Cell Sci. 131, jcs214346 (2018).
Darnell, J. C. et al. FMRP stalls ribosomal translocation on mRNAs linked to synaptic function and autism. Cell 146, 247–261 (2011).
Dever, T. E., Dinman, J. D. & Green, R. Translation elongation and recoding in eukaryotes. Cold Spring Harb. Perspect. Biol. 10, a032649 (2018).
Carlberg, U., Nilsson, A. & Nygard, O. Functional properties of phosphorylated elongation factor 2. Eur. J. Biochem. 191, 639–645 (1990).
Monkemeyer, L. et al. Chaperone function of Hgh1 in the biogenesis of eukaryotic elongation factor 2. Mol. Cell 74, 88–100 e109 (2019).
Feng, X., Luo, S. & Lu, B. Conformation polymorphism of polyglutamine proteins. Trends Biochem. Sci. 43, 424–435 (2018).
Sharma, V. et al. eIF2α controls memory consolidation via excitatory and somatostatin neurons. Nature 586, 412–416 (2020).
Malik, I., Kelley, C. P., Wang, E. T. & Todd, P. K. Author Correction: Molecular mechanisms underlying nucleotide repeat expansion disorders. Nat. Rev. Mol. Cell Biol. 22, 644 (2021).
Konieczny, P., Stepniak-Konieczna, E. & Sobczak, K. MBNL expression in autoregulatory feedback loops. RNA Biol. 15, 1–8 (2018).
Tsoi, H., Lau, C. K., Lau, K. F. & Chan, H. Y. Perturbation of U2AF65/NXF1-mediated RNA nuclear export enhances RNA toxicity in polyQ diseases. Hum. Mol. Genet. 20, 3787–3797 (2011).
Cooper-Knock, J. et al. Antisense RNA foci in the motor neurons of C9ORF72-ALS patients are associated with TDP-43 proteinopathy. Acta Neuropathol. 130, 63–75 (2015).
Mizielinska, S. et al. C9orf72 frontotemporal lobar degeneration is characterised by frequent neuronal sense and antisense RNA foci. Acta Neuropathol. 126, 845–857 (2013).
Joag, H. et al. A role of cellular translation regulation associated with toxic Huntingtin protein. Cell. Mol. Life Sci. 77, 3657–3670 (2020).
Creus-Muncunill, J. et al. Increased translation as a novel pathogenic mechanism in Huntington’s disease. Brain 142, 3158–3175 (2019).
Eshraghi, M. et al. Mutant Huntingtin stalls ribosomes and represses protein synthesis in a cellular model of Huntington disease. Nat. Commun. 12, 1461 (2021).
Leitman, J. et al. ER stress-induced eIF2-alpha phosphorylation underlies sensitivity of striatal neurons to pathogenic huntingtin. PLoS ONE 9, e90803 (2014).
Hekman, K. E. et al. A conserved eEF2 coding variant in SCA26 leads to loss of translational fidelity and increased susceptibility to proteostatic insult. Hum. Mol. Genet. 21, 5472–5483 (2012).
Knight, J. R. P. et al. Control of translation elongation in health and disease. Dis. Model. Mech. 13, dmm043208 (2020).
Rattan, S. I. Synthesis, modifications, and turnover of proteins during aging. Exp. Gerontol. 31, 33–47 (1996).
Merry, B. J. & Holehan, A. M. Effect of age and restricted feeding on polypeptide chain assembly kinetics in liver protein synthesis in vivo. Mech. Ageing Dev. 58, 139–150 (1991).
Khasigov, P. Z. & Nikolaev, A. Age-related changes in the rates of polypeptide chain elongation. Biochem. Int. 15, 1171–1178 (1987).
Shin, Y. et al. Spatiotemporal control of intracellular phase transitions using light-activated optoDroplets. Cell 168, 159–171 e114 (2017).
Menalled, L. B., Sison, J. D., Dragatsis, I., Zeitlin, S. & Chesselet, M. F. Time course of early motor and neuropathological anomalies in a knock-in mouse model of Huntington’s disease with 140 CAG repeats. J. Comp. Neurol. 465, 11–26 (2003).
Acknowledgements
We thank X. Zhang, J. Lin, J. Lin, Y. Ding, C. Liu and J. Yuan for providing suggestions and technical help, and M. Yu and Q. Zhao for experimental help. The study was supported by the National Key Research and Development Program of China (grant nos. 2022YFC2703900 and 2022YFC2703904), the National Natural Science Foundation of China (grant nos. 81925012, 92049301, 82050008), the Medical Research Council UK (grant no. MR/M023605/1), the Innovation Program of Shanghai Municipal Education Commission (grant no. 2021-01-07-00-07.E00074), the New Cornerstone Science Foundation (grant no. NCI202242) and Shanghai Municipal Science and Technology (grant no. 20JC1410900, Major Project (no. 2018SHZDZX01) and ZJLab).
Author information
Authors and Affiliations
Contributions
B.L. perceived the idea, initiated the project, designed the experiments and wrote the manuscript. Y.P. and X.F. made the initial discovery and validation on global translation regulation. Y.P. performed most of the molecular and cellular experiments related to RNA gelation and translation. J.L. performed most of the eEF2-related experiments, the analysis of human brain slice imaging data and all of the animal work. S. Lu performed optogenetic manipulation of RNA and some of the live-cell imaging. G.Y. generated and validated the knockout cell lines. Y.Y. and S. Luo performed human brain slice experiments. S. Luo provided key suggestions on the experimental design. Y.P., L.W. and P.L. performed the in vitro phase separation experiments. S.T. made the purified and functionally validated eEF1A and eEF2 proteins. X.F. made all of the model figures. X.F. and J.L. made all the data figures. Y.P., J.L., S. Luo, X.F. and S. Lu helped with analyzing/organizing the data and writing the manuscript.
Corresponding authors
Ethics declarations
Competing interests
The authors declare no competing interests.
Peer review
Peer review information
Nature Chemical Biology thanks the anonymous reviewers for their contribution to the peer review of this work.
Additional information
Publisher’s note Springer Nature remains neutral with regard to jurisdictional claims in published maps and institutional affiliations.
Extended data
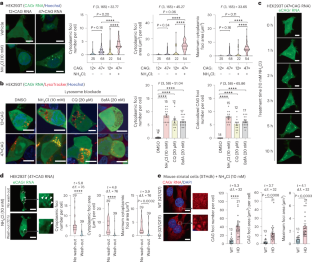
Extended Data Fig. 1 Validation of the CAG RNA detection system, and the eCAGr RNA foci detection in autophagy deletion cells.
a. Representative images and quantifications showing that MS2CP-YFP puncta were highly co-localized with eCAGr RNA detected by CAG probe FISH in HEK293T cell treated with NH4Cl. b. Representative images and quantifications showing that Cy3-labeled 72 × CAG RNA formed foci in cytoplasm while 25 × CAG and CAA∙CAGm did not in HEK293T cell treated with NH4Cl. GFP was transfected to exhibit the cellular region. c. Representative images (from ≥20) showing that Cy3-labeled CAG RNA co-localized with lysosomes in STHdhQ7/Q7 cells treated with NH4Cl. d. Representative images (from ≥20) showing that Cy3-labeled 72 × CAG RNA co-localized with 47 × eCAGr RNA detected by MS2CP-YFP, while Cy3-labeled 25×CAG RNA did not exhibit such co-localization. e. RT-PCR measurements of Htt mRNA levels in WT or HD mouse striatal cells treated with NH4Cl. f. Representative images and quantifications of cytoplasm eCAGr RNA foci (green, detected by MS2CP-YFP) in the indicated cell lines. While the lysosome inhibitor NH4Cl treatment increased cytoplasmic foci, the knockout of key autophagy genes did not. Data are mean ± s.e.m.; analysed by one-way ANOVA with multiple comparisons (b) or two-way ANOVA (f) or two-tailed unpaired t tests (a & e). n= # of cells (a-d, f) examined over 3 independent experiments or # of biologically independent samples (e). ****: p < 0.0001. Scale bars, 10 μm (a–d & f).
Extended Data Fig. 2 The eCAGr RNA detection in Lamp2c KD and no lysosome inhibitor cells.
a. Representative images and quantifications showing that cytoplasmic eCAGr RNA foci were formed outside the lysosomes in cells with Lamp2c knocked-down. b, c. Representative images (from ≥30) showing that cytoplasm eCAGr RNA foci (green) and the lysosome membranes (red, by LAMP1 staining (b) or LAMP1-mCherry over-expression (c)) in transfected HEK293T cells after treatment with NH4Cl and vacuolin-1 to enlarge the lysosomes. d. Representative images and quantifications showing that cytoplasmic eCAGr RNA foci (green) appeared in transfected HEK293T cells after induction with doxycycline without the treatment of lysosome inhibitors. e. Representative images and quantifications of eCAGr RNA condensates (foci) in transfected HEK293T cells expressing the indicated RNA with MS2CP-YFP as the foci detector but without NH4Cl. f. Representative images and quantifications of Cy3-labeled eCAGr RNA condensates in HEK293T cells treated without NH4Cl. Data are mean ± s.e.m. Analysed by one-way ANOVA with multiple comparisons (a) or two-way ANOVA with multiple comparisons (d) or two-tailed unpaired t tests (e & f). n= # of cells (a-f, exact n numbers listed in the source data for this figure) examined over 3 independent experiments. ****: p < 0.0001. Scale bars, 10 μm (a–f).
Extended Data Fig. 3 FRAP and control experiments a for eCAGr RNA’s effects on nascent protein synthesis.
a, b. Representative images and quantifications of the FRAP experiments for the eCAGr foci using the MS2 system. b. Similar to a, but using both the transfected Cy3-labeled eCAGr RNA (upper) and the MS2 system (lower). c. Similar to a, but in STHdhQ7/Q7 with Lamp2c knocked-down. d. Quantifications of high-content images of nascent proteins in STHdhQ7/Q7 and STHdhQ7/Q111 cells treated with the lysosome inhibitor NH4Cl or transfected with the Lamp2c siRNA at indicated time points after metabolic labeling. The protein synthesis was suppressed under the same treatment condition where eCAGr RNA foci were observed (Fig. 1 & Extended Data Fig. 2). e. Representative images (from ≥5) showing the expression level of possible RAN translation products (72 × Gln, 72 × Ser, and 72 × Ala) from the indicated plasmids. The 72 × CAG + 0, +1, or +2 ORF was tagged with C-terminal GFP without an ATG start codon to detection expression. The 72 × Gln, 72 × Ser, and 72 × Ala plasmids express C-terminal GFP-fused polypeptides with optimized codon after the ATG start codon. The expression was evident in cells transfected with the 72 × Gln, 72 × Ser, and 72 × Ala plasmids, but undetectable in ones transfected with the 72 × CAG + 0, +1, and +2 plasmids. f. Representative western-blots (from 3) showing translation product of indicated plasmids. g. Representative western-blots and quantifications of nascent proteins at indicated time points after metabolic labeling in WT mouse striatal cells over-expressing the combination of possible RAN translation products from the eCAGr RNA: 72 × Ala, 72 × Ser and 72 × Gln. Mean ± s.e.m.; two-way ANOVA (b, d & g). n= # of cells (a-d, exact n numbers listed in source data for this figure) examined over 3 independent experiments or # of biologically independent samples (g). ****: p < 0.0001. Scale bars, 10 μm (a-c, e).
Extended Data Fig. 4 Control experiments for the effects of BIND and 8 × CTG on eCAGr RNA gelation and optogenetic system.
a. Representative images (from ≥6) of eCAGr RNA visualization HEK293T cells expressing 47 × CAG RNA together with MS2CP-YFP treated with or without NH4Cl, upon co-transfection with the 8 × CTG DNA oligo or the plasmid expressing the eCAGr RNA binding peptide BIND. b. Representative images and quantifications showing the enhanced clustering of eCAGr RNA upon the blue light stimulation in WT cells (STHdhQ7/Q7) transfected with the indicated plasmids without NH4Cl treatment. c. Representative FRAP images and quantifications showing the fluorescence recovery of nuclear/cytoplasmic eCAGr RNA foci in NH4Cl-treated WT (HdhQ7/Q7) mouse striatal cells expressing 47 × CAG RNA upon blue light stimulation. Little recovery was observed in the cytoplasm, indicating RNA gelation induced by blue light. d. Representative images confirming the localization of NES- and NLS- BIND-Cry2-mCherry, and plots of global translation measurement by high-content imaging of nascent proteins in STHdh cells transfected with the indicated plasmids at indicated time points after metabolic labeling with or without blue light exposure. Mean ± s.e.m.; One-way ANOVA (b) or two-way ANOVA (c, d). n= # of cells (b–d, exact n numbers listed in source data for this figure) examined over 3 independent experiments. ****: p < 0.0001. Scale bars, 10 μm (a–d).
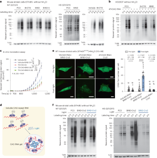
Extended Data Fig. 5 The eCAGr RNA in mouse striatal cells did not affect ribosome biogenesis.
a. Representative polysome profiles (from 8) of WT/HD mouse striatal cells or the WT striatal cells expressing indicated RNAs. b. Images of agarose gels (from ≥3) for total/cytoplasmic RNA extracted from WT (STHdhQ7/Q7) and HD (STHdhQ7/Q111 and STHdhQ111/Q111) mouse striatal cells. DNA markers were used to instruct RNA position. c. Plots for RT-qPCR quantifications of normalized 18 S, 28 S, and 45 S RNA levels in WT and HD mouse striatal cells. d. Representative electron microscope images (from 5) showing ribosome distribution and density in mouse striatal cells. Scale bars, 0.5 μm. Mean ± s.e.m.; two-tailed unpaired t tests (c). n= # of biologically independent samples (c). ****: p < 0.0001.
Extended Data Fig. 6 The eCAGr RNA impairs the protein translation elongation.
a. Representative gel images and quantifications of puromycin-labeled proteins in WT and HD mouse striatal cells in SUnSET assays. b. The plot of SunRiSE assay signals (detected by high-content imaging) showing a decrease of translation elongation in WT versus HD mouse striatal cells. c. Representative polysome profiles and quantifications of WT/HD mouse striatal cells or the transfected WT mouse striatal cells expressing 72 × CAG RNA, before harringtonine treatment versus after 3 min harringtonine treatment. The polysome-to-monosome (P/M) ratio before and after treatment was calculated and plotted to represent the run-off rate. Mean ± s.e.m.; two-tailed unpaired t test (a, c) or two-way ANOVA (b). n= # of biologically independent samples (a–c). ****: p < 0.0001.
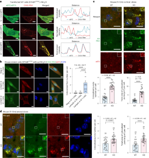
Extended Data Fig. 7 eEF2 formed condensates in eCAGr RNA-harboring cells.
a. Representative western-blot and quantifications of eEF2 levels in WT versus HD mouse striatal cells transfected with or without 8 × CTG. The reduction of eEF2 in HD cells was rescued by 8 × CTG expression. b. Representative images and quantifications of eEF2 condensates and total eEF2 fluorescent signal intensities in WT versus HD mouse striatal cells treated with vehicle (culture medium) or the lysosome inhibitor NH4Cl. c. Representative immunofluorescence images of diverse brain sections showing the eEF2 puncta in HD (HdhQ7/Q140) versus WT (HdhQ7/Q7) mice (9 m). d. Representative images and quantifications of the FRAP experiments for cytoplasmic eEF2 or eEF1A in NH4Cl-treated WT or HD mouse striatal cells. e. Representative images (from ≥5) of eEF2-sfGFP and the lysosomes in NH4Cl-treated WT or HD mouse striatal cells. Colocalizations of eEF2 foci and lysosomes are indicated by white arrows. f. Representative fluorescence images (from ≥6) of transfected eCAGr RNAs and LAMP1-mCherry in HEK293T cells treated with the lysosome inhibitor NH4Cl. Colocalization patterns between eCAGr RNAs and LAMP1 at the beige lines are visualized. The colocalized condensates are also indicated by white arrows. Mean ± s.e.m.; one-way ANOVA with multiple comparisons (a & b) or two-way ANOVA with multiple comparisons (d) or two-tailed unpaired t tests (c). n= # of cells (b & d) examined over 3 independent experiments or # of biologically independent samples (a) or # of mice (c). ****: p < 0.0001. Scale bars, 10 μm (b–f).
Extended Data Fig. 8 eEF2 showed weaker association with the ribosomes in eCAGr RNA expressing cells.
a. Representative western-blots and quantifications with the corresponding polysome profiles showing the distribution of eEF2 and eEF1A in the indicated polysome fractions of WT and HD mouse striatal cells with the indicated transfection and/or treatment. The presence of eEF2 in the ribosome fractions was reduced in HD cells. b. Representative fluorescence images (from 8) of endogenous eEF1A, eEF2 and Rps6 (a ribosome marker) in WT or HD mouse striatal cells treated with the lysosome inhibitor NH4Cl or 8 × CTG. Colocalization patterns between eEF1A/eEF2 and Rps6 at the yellow lines are visualized. The eEF2-Rps6 colocalization was drastically impaired. Mean ± s.e.m.; one-way ANOVA with multiple comparisons (a). n= # of independent experiments (a). Scale bars, 5 μm.
Extended Data Fig. 9 eEF2 forms gel-like condensates in vitro.
a. Representative images (from 5) of the in vitro phase separation assay using the protein/RNA combination at the indicated concentrations. sfGFP-tagged recombinant purified eEF2 proteins form gel-like condensates together with 47 × CAG RNA in vitro. b. Representative EMSA results (from 6 replicates) showing the interaction between the recombinant purified eEF2 protein and the 72 × CAG RNA, as indicated by the shifted bands. No detectable binding for eEF2-25 × CAG or eEF1a-72 × CAG was observed. c. RT-qPCR quantifications of eEF2-bound HTT mRNA levels in mouse striatal cells (STHdhQ7/Q7 and STHdhQ111/111) expressing eEF2 with a C-terminal His tag by RNA-IP that pull-down His tagged eEF2. Empty vector (PC3) was used as a negative control for the IP, and the 18 S level was quantified as a baseline control to normalize the signals. d. Representative images (from >5 cells in each group) of the CAGr RNA (detected by FISH) and eEF2 in NH4Cl-treated WT/HD STHdh cells transfected with eEF2-sfGFP. Colocalization between CAGr RNA and eEF2 at the beige lines was plotted. Mean ± s.e.m.; one-way ANOVA with multiple comparisons (c). n= # of biologically independent samples (c). Scale bars, 10 μm (a & d).
Extended Data Fig. 10 lysosome related measurements and behavioural tests in mice, eCAGr RNA/U2af65 foci detection and eIF2A level measurements in mouse striatal cells, and in vitro translation assays with pre-formed eCAGr RNA foci.
a. Measurements of the lysosome proteases CSTB and CSTD activity (reduced in HD) in striata isolated from mice of the indicated genotypes at the indicated age range. b. qPCR experiments for the Lamp2c mRNA expression. c. Representative images and quantifications showing more colocalized eEF2 puncta with lysosomes (detected by the lysosome marker Lamp1) in the brain slices from HD mice compared to the ones from WT mice. d-e. Illustrative photos and quantifications of mouse behavioural performance in the brush pot activity test and gripping force test. f. Representative images (from 8) showing that cytoplasm U2af65 emerged in the cytoplasmic eCAGr RNA foci. g. Representative western-blots and quantifications of the indicated proteins in the mouse striatal cells. h. The luciferase reporter assay measuring the protein translation rate in the in vitro translation system. The eCAGr RNA was added to the reaction directly (72 × CAG) or after pre-formation of foci in the in vitro translation buffer without the reticular lysate (72 × CAG with pre-formed foci). The latter had no significant effect, suggesting that the RNA gelation in presence of eEF2 or other reticular lysate components was required to suppress translation. i. The pre-formed eCAGr RNA foci did not sequester eEF2 in vitro. Representative images (from 6) of the in vitro phase separation assay (500 nM protein + 375 nM RNA) with eCAGr RNA added to purified eEF2-sfGFP directly or after pre-formation of its foci. Scale bars, 10 μm (c). Mean ± s.e.m.; two-tailed unpaired t test (b, c & g) or two-way ANOVA with multiple comparisons (d, e) or two-way ANOVA (a & h). ****: p < 0.0001. n= # of biologically independent samples (g, h) or # of mice (a–e).
Supplementary information
Supplementary Information (download PDF )
Supplementary Figs. 1–4 and Table 1.
Supplementary Video 1 (download MP4 )
A representative video showing the presence of a transient cytoplasmic eCAGr RNA condensate (pointed to by a green arrow, from 20 s to 50 s) and its disappearance after colocalizing with the lysosome (from 55 s to 1 min) using the MS2 system.
Supplementary Video 2 (download AVI )
Similar to Supplementary Video 1, but using direct Cy3-labeling of the eCAGr RNA transfected into the cells.
Source data
Source Data Fig. 1 (download XLSX )
Statistical data for Fig. 1a,b,d,e.
Source Data Fig. 2 (download XLSX )
Statistical data for Fig. 2b–g and precise value of ‘n’ for Fig. 2d,e.
Source Data Fig. 2 (download JPG )
Uncropped gel for Fig. 2b,c.
Source Data Fig. 3 (download XLSX )
Statistical data for Fig. 3a–f.
Source Data Fig. 3 (download JPG )
Uncropped gel for Fig. 3a,b,f.
Source Data Fig. 4 (download XLSX )
Statistical data for Fig. 4a–d.
Source Data Fig. 4 (download JPG )
Uncropped gel for Fig. 4a.
Source Data Fig. 5 (download XLSX )
Statistical data for Fig. 5.
Source Data Fig. 6 (download XLSX )
Statistical data for Fig. 6c–f,h,j.
Source Data Extended Data Fig. 1 (download XLSX )
Statistical data for Extended Data Fig. 1a,b,e,f.
Source Data Extended Data Fig. 2 (download XLSX )
Statistical data for Extended Data Fig. 2a,d–f.
Source Data Extended Data Fig. 3 (download XLSX )
Statistical data for Extended Data Fig. 3a–d,g and precise value of ‘n’ for Extended Data Fig. 3d.
Source Data Extended Data Fig. 3 (download JPG )
Uncropped gel for Extended Data Fig. 3f,g.
Source Data Extended Data Fig. 4 (download XLSX )
Statistical data for Extended Data Fig. 4b–d and precise value of ‘n’ for Extended Data Fig. 4d.
Source Data Extended Data Fig. 5 (download XLSX )
Statistical data for Extended Data Fig. 5c.
Source Data Extended Data Fig. 5 (download JPG )
Uncropped gel for Extended Data Fig. 5b.
Source Data Extended Data Fig. 6 (download XLSX )
Statistical data for Extended Data Fig. 6a–c.
Source Data Extended Data Fig. 6 (download JPG )
Uncropped gel for Extended Data Fig. 6a.
Source Data Extended Data Fig. 7 (download XLSX )
Statistical data for Extended Data Fig. 7a–d.
Source Data Extended Data Fig. 7 (download JPG )
Uncropped gel for Extended Data Fig. 7a.
Source Data Extended Data Fig. 8 (download XLSX )
Statistical data for Extended Data Fig. 8a.
Source Data Extended Data Fig. 8 (download JPG )
Uncropped gel for Extended Data Fig. 8a.
Source Data Extended Data Fig. 9 (download XLSX )
Statistical data for Extended Data Fig. 9c.
Source Data Extended Data Fig. 9 (download JPG )
Uncropped gel for Extended Data Fig. 9b.
Source Data Extended Data Fig. 10 (download XLSX )
Statistical data for Extended Data Fig. 10a–e,g,h.
Source Data Extended Data Fig. 10 (download JPG )
Uncropped gel for Extended Data Fig. 10g.
Rights and permissions
Springer Nature or its licensor (e.g. a society or other partner) holds exclusive rights to this article under a publishing agreement with the author(s) or other rightsholder(s); author self-archiving of the accepted manuscript version of this article is solely governed by the terms of such publishing agreement and applicable law.
About this article
Cite this article
Pan, Y., Lu, J., Feng, X. et al. Gelation of cytoplasmic expanded CAG RNA repeats suppresses global protein synthesis. Nat Chem Biol 19, 1372–1383 (2023). https://doi.org/10.1038/s41589-023-01384-5
Received:
Accepted:
Published:
Version of record:
Issue date:
DOI: https://doi.org/10.1038/s41589-023-01384-5
This article is cited by
-
Nucleolar aggregation of key neuropathological proteins in the postmortem neurodegenerative brain
Acta Neuropathologica (2025)
-
Crosstalk between protein post-translational modifications and phase separation
Cell Communication and Signaling (2024)
-
Membraneless organelles in health and disease: exploring the molecular basis, physiological roles and pathological implications
Signal Transduction and Targeted Therapy (2024)
-
Biomolecular condensates and disease pathogenesis
Science China Life Sciences (2024)
-
RNA repeats stall translation
Nature Chemical Biology (2023)


