Abstract
Hyperglycemia threatens vision via inducing irreversible morphologic and physiologic changes in the corneal epithelium. We aimed to investigate whether glucosamine (GlcN) is capable of countering the detrimental effects of high glucose (HG) levels on human corneal epithelial (HCE-T) cells. GlcN failed to attenuate the HG-associated cytotoxicity in HCE-T cells owing to its inherent cytotoxicity. Compared with the decrease in the pAKT/AKT and p-p38/p38 ratios, GlcN induced the KLF4 (Krüppel-like factor 4) and SIRT1 (Sirtuin-1) proteins. Furthermore, GlcN mitigated hyperglycemic-induced reactive oxygen species (ROS) and cellular senescence, and elevated the population of cells in the subG1 and S phases but reduced the population in the G1 phase. Hyperglycemia-induced KLF4 proteins and SIRT1 and fibronectin proteins were enhanced and suppressed by 10 mM GlcN, respectively. GlcN induced the expression of the tight junction protein claudin-1, which was otherwise suppressed in hyperglycemic conditions. Lastly, two SIRT1 inhibitors Ex-527 and INZ mitigated GlcN-induced claudin-1 expression and suppression of hyperglycemic-induced ROS generation. Our study may provide valuable insights into developing therapeutic strategies that utilize GlcN to rejuvenate the corneal epithelium in patients experiencing oxidative and senescent stresses due to poor glycemic control.
Similar content being viewed by others

Introduction
The ever-growing prevalence of diabetes mellitus worldwide is considered as a major threat to cornea health given the detrimental effects of hyperglycemia on various parts of corneal structure including corneal epithelium, corneal nerves, tear film, and endothelium1,2. Further deterioration of corneal abnormalities following diabetes is even precipitated by trauma as well as refractive, cataract and retinal surgeries, hindering vision recovery to a large extent1,2. Although the orchestrated wound healing process is capable of preventing microbial superinfection and corneal opacity, long-term corneal exposure to a hyperglycemic environment induces morphologic changes in the corneal epithelium, including variations in the number of layers of epithelial cells, decreased numbers of endothelial cells, and epithelial basement membrane hypertrophy, which together resulted in delayed re-epithelialization and diminished corneal sensitivity1,3. In addition, high-glucose (HG) levels trigger a pro-inflammatory state with local oxidative stress and increase age-related cellular senescence, which precipitates recurrent corneal erosions. Diabetic patients with persistent poor-healing corneal defects are prone to secondary corneal injury and cytokine-induced fibrotic scar formation4. This is an unmet medical issue for diabetic patients.
The accumulation of reactive oxygen species (ROS) resulting from hyperglycemic exposure is well-known to be involved in the pathologic microstructural changes in the corneal epithelium as ROS induces corneal tight junction impairment, which impedes rapid re-epithelization and the maintenance of corneal epithelial structural integrity2,5. Previous research has shown that decreased levels of ROS enhance both the transcriptional and translational expression of ZO-1 and occludin tight junction proteins in the retinal pigment epithelium barrier, implying that the increased oxidative stress prevalent in hyperglycemic status could be detrimental to the assembled network of corneal tight junctions6. The overexpression of silent mating type information regulation 2 homolog 1 (sirtuin-1, SIRT1), an NAD+-dependent deacetylase, promoted the healing of human corneal epithelial cells cultured in glucose-rich medium through downregulated acetylated p53 induced IGFBP3 inhibition and IGF-1R/AKT pathway activation4. The downregulated SIRT1 level, in contrast, decreased cell viability and stimulated the production of ROS and apoptosis in HG-treated human corneal epithelial cells7. Moreover, nicotinamide mononucleotide increased cell viability, reduced apoptosis, and even restored the intercellular tight junctions of human corneal epithelial cells under hyperglycemic exposure via the SIRT1/Nrf2/HO-1 pathway2. However, the functional roles of SIRT1 in tight junction formation and reepithelization remain unexplored.
Notably, the amino sugar glucosamine (GlcN) has received substantial interest as a promising candidate for treating diabetic complications in the cornea since the formation of O-linked N-acetylglucosamine (O-GlcNAc) has demonstrated various antioxidant and anti-inflammatory effects8. The augmented O-GlcNAc signaling accompanied by increased Nrf2 expression attenuated renal apoptosis and oxidative stress in a contrast-induced acute kidney injury rat model9. In vitro GlcN treatment promotes SIRT1 expression in human chondrocytes at both the transcriptional and translational levels, exhibiting a chondroprotective effect in osteoarthritis10. Our previous study demonstrated that GlcN exposure upregulated KLF4 (Krüppel-like factor 4) expression and nuclear localization, and therefore suppressed the TGF-β-mediated fibroblast-to-myofibroblast differentiation by reducing SMAD2 phosphorylation and α-SMA expression in human corneal fibroblasts11. In addition, a recent study demonstrated that GlcN led to the inhibition of cellular proliferation, disturbed cell cycle progression, and reduced the phosphorylation of Rb and the expression of p21 protein in human pulmonary epithelial cells12. p21 is a well-known senescent protein13. GlcN’s global inhibition of protein N-glycosylation may be the key mechanism behind its diverse biochemical and cellular effects14. Treatment with GlcN could offer protective benefits, including anti-apoptotic, anti-inflammatory, and antioxidative properties, particularly in retinal injuries resulting from ischemia or reperfusion15,16. However, the functional roles of GlcN in modulating the cellular response to oxidative and senescent stresses under hyperglycemic conditions remain puzzling.
Human corneal epithelial cells have been used for studies of cell–matrix interactions, gene regulation, and the validation of cellular toxicity17,18,19. The issue of long-term corneal exposure to a hyperglycemic environment to induce morphologic changes in the corneal epithelium and local oxidative stress might be appropriate for human corneal epithelial cells. In the present study, we applied human corneal epithelial cells to examine the effects of a HG state on the cell viability, ROS generation, signaling pathways, and cellular stress biomarkers. Additionally, the mitigation of hyperglycemic damage by GlcN was confirmed in human corneal epithelial cells. Our research may provide valuable insights into developing therapeutic strategies that utilize GlcN to rejuvenate the corneal epithelium in diabetic patients.
Results
The effects of GlcN and glucose on cell viability, cell cycle profile, and cellular proliferation in HCE-T cells
Glucose is an essential energy and nutrient source for the growth and survival of cells20. However, HG-induced oxidative stress can impair cellular proliferation. It was unclear whether GlcN could attenuate HG-induced damage in human corneal epithelial cells. The concentration of glucose for the culture medium of HCE-T (human corneal epithelial cell immortalized by the transformation of SV40 large T antigen) cell line is 17.5 mM21. Hence, we measured the viability of HCE-T cells subjected to HG treatments and GlcN doses cultured with glucose concentration from 17.5 to 50 mM using the MTT assay. As shown in Fig. 1A, more than 50% of viable HCE-T cells in both GlcN- and vehicle-treated groups could still be detected after the two-day exposure to glucose concentration from 17.5 to 50 mM (p(ANOVA) = 9.3 × 10−6 and p(ANOVA) = 1.2 × 10−6). While the percentage of viable cells was lower in GlcN-treated cell population than in the vehicle control group after exposure to 40 mM glucose, the difference in cell viability between the two groups of HCE-T cells cultured in other designated glucose dosages did not reach statistical significance. Exposure to different GlcN concentrations, ranging from 0 to 10 mM, for 24 h did not lead to more than a 50% decrease (p(ANOVA) = 3.7 × 10−7) in 17.5 mM glucose 24 h pretreated HCE-T cell viability (Fig. 1B).
To assess the impact of GlcN alone on the cell cycle progression of HCE-T cells, we performed cell cycle analysis on 17.5 mM glucose 24 h pretreated HCE-T cells supplemented with varying GlcN concentrations via flow cytometry (Fig. 1C). Our cell cycle profile data showed that GlcN supplementation led to a significant increase in the population of HCE-T cells in the S-phase, with highest effect at 8 mM (p(ANOVA) = 7.4 × 10−8), which resulted in, at most, a 3-fold decrease in the G2/M-phase cell population at 10 mM (p(ANOVA) = 5.2 × 10−5) and, at most, a 7% decrease in the G1 population at 8 mM (p(ANOVA) = 7.1 × 10−7) (Fig. 1C). The alterations of HCE-T cells in aforementioned stages approximately followed a dose-dependent trend. GlcN induced minimal cellular apoptosis only, based on the observed subtle increase in the sub-G1 HCE-T cell proportion (p(ANOVA) = 1.4 × 10−3). Based on the increasing population of the S phase, we further examined the effect of GlcN on the cellular proliferation via a BrdU cell proliferation assay (Fig. 1D). Following exposure of HCE-T cells to various concentrations of GlcN, the incorporation of BrdU in 17.5 mM glucose 24 h pretreated HCE-T cells was significantly increased along with the elevation of GlcN concentration, and the highest proliferation effect of HCE-T cells was shown with 8 mM of GlcN (p(ANOVA) = 4.7 × 10−8). However, no significant difference in cell proliferation between HCE-T cells treated with glucose concentration from 17.5 to 50 mM was noted in the BrdU assay (Fig. 1E). Our current data demonstrated that the cytotoxicity of GlcN might not be through the induction of apoptosis and the suppression of cellular proliferation in HEC-T cells.
(A) HCE-T cells (8 × 104 cells/well) were seeded onto 24-well culture plates containing 17.5 mM glucose in culture medium for 24 h, added extra glucose to reach the glucose dosages (17.5, 25, 30, 35, 40, 50 mM) for 24 h, and subsequently treated with vehicle or 10 mM GlcN for 24 h. (B) HCE-T (8 × 104 cells/well) cells were cultured in 17.5 mM glucose for 2 days and supplemented with different concentrations of GlcN (0, 1, 2.5, 5, 8, 10 mM) for 24 h. (A and B) Cell viability was determined by an MTT colorimetric assay. Data are presented as the mean percentage relative to control. Dashed red lines are labeled as 50% viability. (C and D) HCE-T cells (3 × 105 cells/well) seeded into 6-well culture plates underwent 48 h incubation with DMEM/F-12 culture medium containing 17.5 mM glucose and then underwent GlcN treatment for 24 h. (C) HCE-T cells were stained with 7-aminoactinomycin D (7-AAD) since 7-AAD staining intensities defined cell cycle position (subG1, G0/1, S, or G2/M phase). Cell cycle status was assessed using flow cytometry analysis. (E) HCE-T cells (3 × 105 cells/well) were seeded onto 6-well culture plates containing 17.5 mM glucose in culture medium for 24 h and added extra glucose to reach the glucose dosages (17.5, 25, 30, 35, 40, 50 mM) for 48 h. (D and E) the cells were stained with BrdU and the BrdU incorporation was measured using flow cytometry analysis. Error bars represent the mean ± SD of three independent experiments. Student’s t-test was used when experimental and vehicle group were compared. * p < 0.05, ** p < 0.01, and *** p < 0.001.
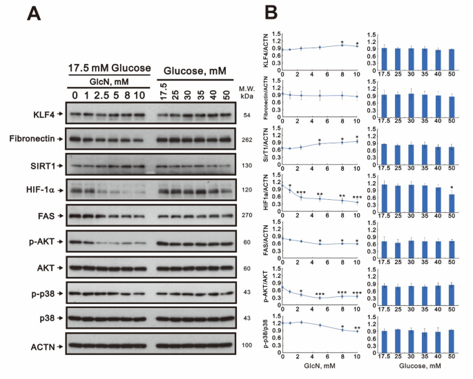
The effects of GlcN and glucose on the expression of KLF4, fibronectin, SIRT1, HIF-1α, and FAS in HCE-T cells
Our previous study demonstrated that GlcN exposure upregulates the KLF4 in human corneal fibroblasts11. The O-GlcNAcylation of SIRT1 is elevated during genotoxic, oxidative, and metabolic stress stimuli in cell and mouse models, thereby increasing SIRT1 deacetylase activity and protecting cells from stress-induced apoptosis22. NF-κB has been shown to be O-GlcNAc-modified in mesangial cells and accumulates in the nucleus by treatment with GlcN or HG23. GlcN modulates the O-linked glycosylation of the NF-κB family of transcription factors and suppresses the N-linked glycosylation of TNF-α to downregulate ICAM-1 expression24. To decipher underlying beneficial effects of GlcN on the human corneal epithelium, we first reconfirmed the consistent response of the decrease in the ratios of p-AKT/AKT and p-p38/p38 induced by GlcN in 17.5 mM glucose 24 h pretreated HCE-T cells (Fig. 2)25. Next, we examined the effects of GlcN and HG on the expression of KLF4, SIRT1, fibronectin, HIF-1α, and FAS proteins using Western blotting analysis. Preincubation of the HCE-T cells with GlcN for 1 day significantly upregulated KLF4 and SIRT1 protein levels, while the levels of HIF-1α (hypoxia-inducible factor 1 alpha), FAS (fatty acid synthase), and the ratios of p-AKT/AKT and p-p38/p38 were significantly decreased. No apparent effect on fibronectin was observed. In contrast, HG exposure at different concentrations only significantly reduced the HIF-1α level and elevated the ratios of p-AKT/AKT and p-p38/p38 in HCE-T cells.
The effects of GlcN and glucose on KLF4, SIRT1, HIF-1α, and apoptosis/inflammation biomarkers proteins in HCE-T cells. (A) HCE-T cells (3 × 105 cells/well) seeded into 6-well culture plates underwent 48 h incubation with culture medium containing 17.5 mM glucose and then treated with indicated amounts of GlcN for 24 h. HCE-T (3 × 105 cells/well) cells were treated with the indicated concentrations of glucose (17.5, 20, 25, 30, 40, 50 mM) for 72 h. The cell lysates (30 µg total proteins) were analyzed by Western blotting with the antibodies indicated. ACTN was chosen as a loading control. (B) Quantification of the protein bands were achieved via pixel density scanning and ImageJ. The ratios of protein/ACTN or phosphorylated protein/total protein were listed. Bars depict the mean ± SD of three independent experiments. Student’s t-tests were analyzed and compared with vehicle. * p < 0.05, ** p < 0.01, and *** p < 0.001.
GlcN inhibits intracellular ROS production and cellular senescence in HG-treated HCE-T cells
Previous research demonstrated that the increased oxidative stress prevalent in a hyperglycemic state could be detrimental to the assembled network of corneal tight junctions6. To investigate whether glucose stimulates intracellular ROS production, HCE-T cells were exposed to various glucose concentrations, starting from 17.5 mM. The cells were then loaded with DCFH-DA to measure intracellular ROS levels, which were assessed by analyzing the DCFH-DA fluorescence intensity using flow cytometry. As shown in Fig. 3A, HCE-Ts cultured in 25 mM glucose revealed the highest intracellular ROS production compared with other higher glucose concentrations, suggesting that the lack of further generation of ROS is due to the limitation of initial 17.5 mM glucose for the culture of HCE-T cells (p(ANOVA) = 1.5 × 10−2). Co-treatment with GlcN significantly reduced intracellular ROS production induced by glucose concentrations of 17.5 mM or higher in HCE-T cells. Furthermore, ROS formation was suppressed by 10 mM GlcN treatment in HCE-T cells cultured in 17.5 mM glucose and the maximum 50 mM glucose concentration (Fig. 3B), indicating that GlcN reduces intracellular ROS accumulation independent of glucose concentration in HCE-T cells (p(ANOVA) = 1.5 × 10−1).
The effects of glucose and GlcN on cytosolic ROS levels in HCE-T cells. (A) HCE-T cells (3 × 105 cells/well) were seeded onto 6-well culture plates containing 17.5 mM glucose in culture medium for 24 h, added extra glucose to reach the glucose dosages (17.5, 25, 30, 35, 40, 50 mM) for 24 h, and subsequently treated with vehicle or 10 mM GlcN for 24 h. After DCFH-DA intensity of cell specimen was measured, we designated the median fluorescence intensity of the vehicle as the starting point for M2 gating. (B) Replot of 17.5 and 50 mM glucose alone and combined with 10 mM GlcN for 24 h. Bars denote the mean ± SD of three independent experiments. Student’s t-tests were used to compare intracellular ROS levels between HCE-T cells in treatment groups and vehicle control group. * p < 0.05, and *** p < 0.001.
To investigate the impact of HG and GlcN on cellular senescence in HCE-T cells using the fluorogenic senescence marker C12FDG for flow cytometry analysis. Our results showed that glucose increased C12FDG fluorescence intensities in HCE-T cells in a dose-dependent manner (p(ANOVA) = 8.4 × 10−2), although this effect diminished after a one-day treatment of 10 mM GlcN (Fig. 4A). Additionally, compared with HCE-T cells that were exposed to 17.5 mM glucose conditions, a remarkable increase in cellular senescence was noted in HCE-T cells cultured under glucose exposure at 50 mM in both the vehicle group and GlcN treatment group (Fig. 4B). Our data suggests that GlcN might suppress the cellular senescence of HCE-T cells, but not the induction by higher concentration of glucose (p(ANOVA) = 3.5 × 10−8).
The effects of glucose and glucosamine on the level of SA-β-Gal activity in HCE-T cells. (A) HCE-T cells (3 × 105 cells/well) were seeded onto 6-well culture plates containing 17.5 mM glucose in culture medium for 24 h, added extra glucose to reach the glucose dosages (17.5, 25, 30, 35, 40, 50 mM) for 24 h, and subsequently treated with vehicle or 10 mM GlcN for 24 h. They were then subjected to measurement of C12FDG intensity, and the median fluorescence intensity of the vehicle was used as the starting point for M2 gating. (B) Replot of 17.5 and 50 mM glucose alone and combined with 10 mM GlcN for 24 h. Bars show the mean ± SD. Data are from three independent experiments. Difference of SA-β-Gal activity between HCE-T cells in treatment and vehicle control was validated by Student’s t-test. * p < 0.05, ** p < 0.01, and *** p < 0.001.
The effects of GlcN on the cell cycle profile and related proteins were examined in HG-treated HCE-T cells
Based on previous findings regarding HCE-T cellular responses to GlcN treatment alone, we further investigated how GlcN influences the cell cycle profile, KLF4, SIRT1, fibronectin, cell cycle proteins (p53, p21, and cyclin D1), and tight junction protein claudin-1 in both 17.5 mM glucose- and 50 mM glucose-treated HCE-T cells. As illustrated in Fig. 5, there were no comparable differences among populations of HG-treated HCE-T cells in subG1, G1, S, and G2/M phases. However, the application of 10 mM GlcN significantly elevated the subG1 and S populations while reducing the G1 and G2/M populations in 17.5 mM glucose-treated HCE-T cells. The elevated effect of GlcN on the subG1 was suppressed by increased glucose concentrations (p(ANOVA) = 1.8 × 10−6). The induction of S phase by GlcN was consistent with the induction of cellular proliferation.
The effects of glucose in combination with GlcN on the cell cycle profile in HCE-T cells. HCE-T cells (3 × 105 cells/well) were seeded onto 6-well culture plates containing 17.5 mM glucose in culture medium for 24 h, added extra glucose to reach the glucose dosages (17.5, 25, 30, 35, 40, 50 mM) for 24 h, and subsequently treated with vehicle or 10 mM GlcN for 24 h. The cells underwent cell cycle profile analysis afterwards. Bars representing the mean ± SD were derived from data of three independent experiments. Cell cycle populations in HCE-T cells with and without GlcN treatment were compared via Student’s t-tests. * p < 0.05, ** p < 0.01, and *** p < 0.001.
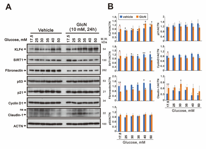
In the western blotting analysis, our data indicates that HG significantly increased KLF4, SIRT1, and fibronectin protein levels in HCE-T cells (Fig. 6). The application of 10 mM GlcN significantly upregulated KLF4, SIRT1, and claudin-1 protein expressions but decreased the expression of fibronectin and cyclin D1 proteins in 17.5 mM glucose-treated HCE-T cells. The maximal increase in claudin-1 protein by GlcN was observed at 30 mM glucose in HCE-T cells; however, this upregulation gradually diminished as glucose concentrations increased. In addition, the GlcN-induced KLF4 protein levels were significantly upregulated along with the increasing glucose concentration in HCE-T cells.
The effects of glucose and GlcN on KLF4, SIRT1, fibronectin, cell cycle profile related proteins, and claudin-1 in HCE-T cells. (A) HCE-T cells (3 × 105 cells/well) were seeded onto 6-well culture plates containing 17.5 mM glucose in culture medium for 24 h, added extra glucose to reach the glucose dosages (17.5, 25, 30, 35, 40, 50 mM) for 24 h, and subsequently treated with vehicle or 10 mM GlcN for 24 h. The cell lysates were subjected to Western blotting analysis using antibodies against the indicated proteins. ACTN was a loading control protein. ns: non-specific band. (B) The protein bands were quantified through pixel density scanning and evaluated using ImageJ. The ratios of protein/ACTN in HCE-T cells were calculated. Bars illustrate the mean ± SD of at least three independent experiments. Student’s t-tests were applied to examine the difference between GlcN treatment group and control group. * p < 0.05 and ** p < 0.01.
Impaired corneal tight junction formation plays a critical role in diabetic corneal alternations2,5and our data shown in Fig. 6 demonstrated that GlcN led to the increase in tight junction claudin-1 expression in 17.5 mM glucose- and 50 mM glucose-treated HCE-T cells. Therefore, we applied immunostaining techniques to identify the distribution and localization of major tight junction proteins claudin-1 and ZO-1 in 17.5 mM glucose- and 50 mM glucose-treated HCE-T cells co-treated with 0, 1, 5, and 10 mM GlcN (Fig. 7). Compared to the vehicle group, GlcN not only enhanced the expression of membrane-type ZO-1 (red) and claudin-1 (green) proteins but also promoted their colocalization (indicated by yellow) at the cell membrane in HCE-T cells treated with 17.5 mM glucose (upper panel). In contrast, these effects (green and yellow) of GlcN were not observed in HCE-T cells treated with 50 mM glucose (bottom panel).
The effects of glucose and GlcN on the expression of ZO-1 and claudin-1 in HCE-T cells. HCE-T (8 × 104 cells/well) cells cultured on glass coverslips in glucose at 17.5 mM and 50 mM for 48 h and were treated with different GlcN concentrations (1, 5, 10 mM) for 24 h, and the cells were immune-stained with ZO-1 (red), anti-claudin-1 (green), and DAPI (blue). Images were acquired with a Leica Thunder microscope with a 100x objective. Scale bar = 10 μm.
Examining the effect of GlcN on the enzymatic activity of SIRT1 via two SIRT1 inhibitors in HG-treated HCE-T cells
The O-GlcNAcylation of SIRT1 is elevated to increase its deacetylase activity and protect cells from stress-induced apoptosis22. Our data presented in Figs. 2 and 6 show that GlcN induced the expression of SIRT1 proteins in 17.5 mM glucose-treated HCE-T cells. To gain insight into the protective role of SIRT1 induced by GlcN in the hyperglycemia-induced damaged corneal epithelium, we suppressed the induction of the SIRT1 protein by GlcN via two SIRT1 deacetylation inhibitors Ex-527 (Selisistat) and INZ (inauhzin) to examine whether such a beneficial effect would be altered. The decrease in the p-AKT/AKT ratio by GlcN was not disrupted by Ex-527 and INZ in 17.5 mM glucose- and 50 mM glucose-treated HCE-T cells (Fig. 8A and B). In the western blotting analysis, the induction of claudin-1 protein by GlcN was suppressed by Ex-527 and INZ in 17.5 mM glucose-treated HCE-T cells, whereas INZ alone increased the expression of the claudin-1 protein. INZ alone, but not Ex-527, suppressed the expression of cyclin D1 in 17.5 mM glucose- and 50 mM glucose-treated HCE-T cells treated with GlcN. INZ alone also increased the expression of SIRT1 protein in 17.5 mM glucose- and 50 mM glucose-treated HCE-T cells.
In addition to the suppression of ROS generation by GlcN in Fig. 3, GlcN protected rat retinal ganglion cells from hydrogen peroxide (H2O2)-induced oxidative stress via attenuating ROS formation26. The application of Ex-527 and INZ significantly increased ROS formation, illustrating that two SIRT1 inhibitors specifically eradicated the suppression of glucose-induced ROS accumulation by GlcN in 17.5 mM glucose- and 50 mM glucose-treated HCE-T cells (Fig. 8C).
The effects of SIRT1 inhibitors in GlcN combined differential glucose on proteins expression and the levels of cytosolic ROS in HCE-T cells. (A-C) HCE-T (3 × 105 cells/well) cells cultured on 6-well plates glass in glucose at 17.5 mM and 50 mM for 48 h and then with 10 µM Ex-527 and 2 µM INZ combined with 8 mM GlcN for 24 h. (A) The cell lysates were immunoblotted with antibodies against the indicated proteins. ACTN served as a loading control protein. ns: non-specific band. (B) Quantified protein bands were derived from pixel density scanning and ImageJ. The ratios of protein/ACTN or phosphorylated protein/total protein were listed. (C) The cells were then subjected to measurement of DCFH-DA intensity for the ROS level, and the median fluorescence intensity of the vehicle was designated as the starting point for M2 gating. Bars characterize the mean ± SD of three independent experiments. # p > 0.05, * p < 0.05, ** p < 0.01, and *** p < 0.001 versus the control group.
Discussion
The evidence for the accumulation of oxidative DNA damage and advanced glycation end products (AGEs) in the corneal epithelium of streptozotocin-induced diabetic rats indicates the vital role of oxidative stress in diabetic kidney disease pathogenesis27. The release of oxygen radicals and pro-inflammatory cytokines triggered by the AGE–RAGE (receptor for AGE) interaction induces corneal apoptosis and structural alterations, including thickened corneal stroma and impaired epithelial barrier integrity27,28. The concentration of glucose in the culture medium for the HCE-T cell line is 17.5 mM21. Here, our data show that GlcN failed to attenuate the HG-induced cytotoxicity from 17.5 mM to 50 mM glucose in HCE-T cells because of its inherent cytotoxicity. Compared with the decrease in the pAKT/AKT and p-p38/p38 ratios, GlcN induced the KLF4 and SIRT1 proteins. We further identified that GlcN mitigated hyperglycemic-induced ROS and cellular senescence, and elevated the populations of subG1 and S phases and decreased the G1 population in HCE-T cells. Our western blotting and immunostaining data showed that the tight junction protein claudin-1 was induced by GlcN. Furthermore, two SIRT1 inhibitors, Ex-527 and INZ, were able to mitigate the GlcN involvement in the expression of claudin-1 and the suppression of hyperglycemic-induced ROS generation.
As referenced in the works of Araki-Sasaki et al., survival of HCE-T cells could not be secured unless the glucose concentration was above 17.5 mM29,30,31. Therefore, the initial glucose concentration of 17.5 mM used in this study significantly deviates from the physiological concentration of 5.5 mM typically employed in current cell culture methods. Notably, our work showed that HCE-T cells exposed in elevating HG conditions result in significantly upregulated diabetic indicators including AKT/p38 signaling and fibronectin expression, inactive HIF-1α, and the findings are consistent to clinical studies revealing that stepwise deterioration of glycemic control among diabetic patients leads to more severe complications29,30,31. Despite the fact that SIRT1 expression, the main inhibitor of hyperglycemic-induced oxidative and senescent stresses in HCE-T cells, remarkable GlcN reversal of HG detrimental effects on HCE-T cells implicates the potential corneal protective property of GlcN among patients with poor glycemic control. We believe that further investigation into the suppression of hyperglycemic induced oxidative and senescent stresses achieved by GlcN will achieve a deeper understanding of its cytoprotective capacity using HCE-T cell line.
The SV40 large T antigen-immortalized HCE-T utilized in our study has previously been employed in various investigations examining the antioxidant, wound-healing, and anti-inflammatory properties of pharmaceutical candidates across several in vitro corneal models29,30,31. The genome of HCE-T cells is modified, containing multiple insertions and deletions compared to the normal genome. This alteration results from cell immortalization via the large T antigen, which inhibits the activity of tumor-suppressor proteins p53 and RB, both of which play critical roles in DNA repair and genomic stability in these high-passage immortalized cells32,33. The suppression of basal levels of cellular senescence in HCE-T suggests that GlcN may reactivate RB or p53 functions by inhibiting SV40 large T antigen activity in our study. This hypothesis is bolstered by evidence that the SV40 large T antigen is modified with O-linked N-acetylglucosamine at serine residues 111 and 11234, a region that overlaps with the RB binding motif35. In contrast, AC16 cells were derived from primary adult ventricular tissue by fusing primary cells isolated from human ventricular tissue with SV40-transformed cells36. Notably, GlcN had no significant effect on ROS levels or cellular senescence in AC16 cells (data not shown). Therefore, it is necessary to investigate whether GlcN might directly suppress the functions of large T antigen on RB, affecting cell cycle regulation and senescence in HCE-T cells. Nevertheless, HCE-T cells have the potential to serve as a valuable model for specific areas of biological research, despite these limitations. Compared to the limitations of animal corneal tissue or primary human corneal epithelial cells, HCE-T cells may offer a more stable and longer lifespan, making them advantageous for studying the molecular mechanisms underlying various physiological or pathological conditions.
Tight junctions play an essential role in maintaining the barrier function and cell polarity of the corneal epithelium37. Both murine and human corneal epithelial cells incubated under hyperglycemic conditions indicate the impairment of tight junction integrity5,28. The absence of notable change in claudin-1, ZO-1, ZO-2, ZO-3, or occludin protein expressions was reported in glucose-treated human corneal epithelial cells5,28. The increased transcriptional expressions of ZO-1, occludin, and claudin-1 following the activation of SIRT1 by SRT 1720 were identified in porcine intestinal epithelial cells in vitro exposed to hydrogen peroxide38. Our data illustrates that GlcN mitigated the decreased ZO-1 and claudin-1 expression in HCE-T cells treated with elevated glucose concentrations, implying its potential beneficial effect on corneal barrier function restoration. In addition, N-acetyl cysteine and nicotinamide mononucleotide significantly promoted the recovery of tight junction damage in human corneal epithelial cells exposed to glucose2,28. Combined with these studies, our data demonstrate that GlcN-induced corneal tight junction remodeling might be mediated through the SIRT1-dependent pathway to alleviate diabetic corneal alterations. Recent studies showed that SIRT1 deacetylates KLF4 to activate claudin-5 in ovarian cancer cells and Sirt6 regulates autophagy in AGE-treated endothelial cells via KLF439[,40. However, the detailed regulatory mechanisms of SIRT1, KLF4, and their combination by GlcN require further elucidation. Furthermore, our data suggests that tight junction proteins, such as claudin 1, may not be exclusively localized within tight junctions. Previous study has demonstrated the subcellular localization of claudin 1 in the membrane, perinuclear membrane, and nucleus41which aligns with our current ICC results.
Prevalent cellular senescence characterized as enlarged cell size, variable cell shape, and diminished proliferative capacity is reported in human corneal epithelial cells cultured under HG conditions in both our study and the work of Pu et al. 2,42. Moreover, the inhibition of senescence and apoptosis in corneal endothelial cells and HG-treated human corneal epithelial cells is prominent following SIRT1 activation via in vivo CRISPR/dCas9 target gene activation and in vitro nicotinamide mononucleotide exposure, respectively2,42. Our findings indicate that GlcN reduces the rate of cell senescence in HG-treated HCE-T cells, suggesting that GlcN supplementation alleviates HG-induced cell senescence through the upregulation of SIRT1. Recent studies demonstrated that tumors with activated PI3K/AKT signaling may exert unexpected detrimental effects due to inactivation of a senescence brake on potential cancer-initiating cells and sustained hyperactivation of the PI3K/AKT/mTORC1 pathway in non-transformed cells results in cellular senescence43,44. GlcN might suppress multiple signaling pathways, including AKT and p38, activated through membrane N-glycosylated receptors in many cancer cells25. In addition to O-glycosylated proteins, such as SIRT1 and p53, we should also consider the effects on N-glycosylated proteins, such as EGFR and gp130, by GlcN in our current study. Our findings revealed inconsistencies between the induction of cellular proliferation and the less pronounced apoptotic population in response to GlcN-induced cytotoxic effects. GlcN was shown to promote proliferation and activate the mTOR signaling pathway, while also reducing oxidative stress and enhancing barrier functions in porcine trophectoderm cells45. These results imply that oxidative stress plays a significant role in inducing cellular proliferation independently of the cytotoxic effects observed in HCE-T cells. Further investigation is required to elucidate the underlying mechanisms.
It has been shown that the corneal epithelial debridement triggers cell cycle progression of basal cells outside the wound area in vivo, indicating the pivotal role of cell cycle regulation in corneal wound repair46. However, HG stress increases cell cycle arrest at the G1 phase in human corneal epithelial cells, which consequently leads to delayed wound healing47. Interestingly, the results of our cell cycle study in HCE-T cells in the presence of GlcN exposure are distinct from those conducted using cells from the retinal pigment epithelium and renal tumors48,49which demonstrate the antiproliferative effect of GlcN via the downregulation of the G1/S phase transition. Despite the fact that GlcN plausibly mitigates HCE-T cells from the detrimental HG-induced cell cycle disorder, the correlation between GlcN treatment and cell cycle regulators in the context of the HG environment remains inconclusive.
In summary, GlcN mitigated the hyperglycemia-associated intracellular ROS accumulation and cellular senescence in HCE-T cells. Moreover, GlcN treatment increased the tight junction protein claudin-1 expression, while the induction of claudin-1 was suppressed further in HCE-T cells treated with higher glucose concentrations. In addition, the suppression of hyperglycemic-induced ROS and the induction of claudin-1 by GlcN among HCE-T cells could be diminished by SIRT1 inhibition. Here, our findings might broaden the understanding of GlcN as a potential therapeutic candidate to revitalize the corneal epithelium in patients experiencing oxidative and senescent stresses due to poor glycemic control. Further work should focus on the involvement of the GlcN-mediated glycosylation and signaling pathways in alleviating diabetic corneal epithelial insults.
Materials and methods
Cell culture and reagents
The human corneal epithelial cell immortalized by the transformation of SV40 large T antigen (HCE-T) cell line (RCB2280) was purchased from RIKEN BRC CELL BANK (RIKEN BRC, Japan). The HCE-T cells were cultured in the DMEM/Ham’s F-12 medium (Corning, Corning, NY, USA), containing 5% FBS, 5 µg/ml insulin, 10 ng/ml Human EGF, and 0.5% DMSO. The concentration of glucose for the culture medium of HCE-T cell line is 17.5 mM21. GlcN (glucosamine hydrochloride), 2’,7-dichlorofluorescein diacetate (DCFH-DA), propidium iodide (PI), and thiazolyl blue tetrazolium bromide (MTT) were obtained from Sigma-Aldrich (St. Louis, MO, USA).
Cell viability analysis
HCE-T cells were seeded onto 24-well culture plates (8 × 104 cells/well) containing 17.5 mM glucose in culture medium for 24 h, added extra glucose to reach the final glucose concentrations (17.5, 25, 30, 35, 40, 50 mM) for 24 h, and subsequently treated with vehicle or 10 mM GlcN for 24 h. Notably, 17.5 mM glucose in culture medium and HG dosages (25, 30, 35, 40, 50 mM glucose) were all higher than the normal serum glucose level. In GlcN treatment group, cells seeded into 24-well culture plates underwent 48 h incubation with DMEM/F-12 culture medium containing 17.5 mM glucose and then the GlcN dosages (0, 1, 2.5, 5, 8, 10 mM) were added to each well fresh DMEM/F-12 culture medium containing 17.5 mM glucose for 24 h. The HCE-T cells were subsequently immersed in MTT (thiazolyl blue tetrazolium bromide) solution at a concentration of 0.5 mg/ml for 2 h at 37 ℃, and the insoluble formazan crystals formed in the reaction were dissolved by adding DMSO. We applied a multimode microplate reader (Varioskan™ LUX, Thermo Scientific™, Waltham, MA, USA) to measure the absorbances at 570 nm and 650 nm. The metabolic activity was determined based on the ratio of absorbance between the cells incubated with glucose or GlcN and those without treatment, which were assigned value of 100.
Cell proliferation assay
Assessment of cell proliferation was conducted using incorporated 5-bromo-2-deoxyuridine (BrdU) (BD Pharmingen™ BrdU Flow Kit) immunostaining and flow cytometry, following the manufacturer’s instructions. In brief, HCE-T cells (3 × 105 cells/well) seeded into 6-well culture plates underwent 48 h incubation with DMEM/F-12 culture medium containing 17.5 mM glucose and then underwent GlcN treatment for 24 h. For the assay of HG condition, HCE-T cells (3 × 105 cells/well) were seeded onto 6-well culture plates containing 17.5 mM glucose in culture medium for 24 h, added extra glucose to reach the glucose dosages (17.5, 25, 30, 35, 40, 50 mM) for 48 h. Thereafter, the cells were labeled with BrdU and subsequently harvested, washed in PBS, fixed and permeabilized, to allow detection with fluorescent antibodies. An anti-BrdU monoclonal antibody was used to measure the incorporation of the thymidine analog BrdU into the newly synthesized DNA of actively proliferating HCE-T cells. After the cells were resuspended, cell proliferation was measured via FITC-BrdU fluorescence analysis utilizing a FACSCalibur flow cytometer and the Cell Quest Pro software (BD Biosciences, CA, USA).
Western blotting analysis
HCE-T cells were dissolved in lysis buffer containing 100 mM Tris-HCl (pH 8.0), 150 mM NaCl, 0.1% SDS, and 1% Triton 100 at 4 °C. Measurements of protein concentrations in cell lysates were derived from Bio-Rad Protein Assay Dye Reagent Concentrate (Bio-Rad Laboratories, USA). Following addition of 4x protein loading dye and Heating for 10 min at 95 ℃ to ensure denaturation, cell lysates were separated by 12% SDS-PAGE and were transferred to PVDF membranes (Immobilon-P; Millipore, Bedford, MA, USA) using a Bio-Rad Semi-Dry Transfer Cell. The membranes were then incubated with primary antibodies recognizing α-actinin (ACTN, H-2, sc-17829), FAS (A-5, sc-55580), p53 (DO-1, sc-126), and claudin-1 (A-9, sc-166338) (Santa Cruz Biotechnology, USA); HIF-1α (#14179), p-AKT (Ser473) (#9271), AKT (#4691), p-p38 MAPK (Thr180/Tyr182) (#9211), and p38 MAPK (#9212) (Cell Signaling Technology, Danvers, MA, USA); KLF4 (ab215036), fibronectin (ab32419), cyclin D1 (ab134175), and p21 (ab109520) (Abcam, Cambridge, UK); SIRT1 (04-1557) (Merck-Millipore). Following incubation with HRP-conjugated antibodies (or other probes), immunoreactive blots were detected using ECLTM Western Blotting Detection Reagent and Amersham Hyperfilm™ ECL (GE Healthcare, USA).
Fluorescence-activated cell sorting (FACS) analysis of cell cycle profiles, ROS, and senescence
Cell cycle profile analysis was performed via sorting of cellular DNA content with FACS analysis. After being fixed in 70% ice-cold ethanol, stored in a −30 ℃ freezer overnight, and rinsed twice with ice-cold PBS and 1% FBS, the cells were treated with PI solution consisting of 5 µg/ml PI in PBS, 1% Tween 20, and 0.5 µg/ml RNase A in the dark for 30 min at 37 ℃, and the cell samples were evaluated using FACSCalibur flow cytometer and Cell Quest Pro software (BD Biosciences, Franklin Lakes, NJ, USA). To obtain measurements of intracellular ROS levels, the cells treated with experimental conditions were stained with DCFH-DA (20 µM) for 40 min at 37 ℃, harvested, and then rinsed once with PBS. Thereafter, the DCFH-DA fluorescence intensity was collected in the FL-1 Channel with FACSCalibur flow cytometer using the Cell Quest Pro software, version 6.1 (BD Biosciences).The median fluorescence intensity of the vehicle control was applied as the starting point for M2 gating. The fluorescent substrate 5-dodecanoyl-aminofluorescein di-β-D-galactopyranoside (C12FDG) (Invitrogen, Carlsbad, CA, USA) was utilized to detect senescence-associated β-galactosidase (SA-β-Gal) activity for cellular senescence analysis following manufacturer’s protocols. In short, the cells treated in 17.5 mM glucose for 24 h with selected conditions were seeded into 6-well culture plates and procedures, including incubation, harvesting, two washes in PBS, were performed ensued. After the cells were stained with 33 µM C12FDG for 15–20 min at room temperature, fluorescence intensity of the cells was quantified by a FACSCalibur flow cytometer and Cell Quest Pro software (BD Biosciences, Franklin Lakes, NJ, USA).
Immunofluorescent analysis
HCE-T cells were placed on glass coverslips and the indicated treatments were applied. The cell specimens were fixed with 10% formaldehyde for 10 min in PBS, and subsequently permeabilized with 0.1% Triton X-100 in PBS, followed by blocking with 1% BSA (Sigma, Burlington, MA, USA) in PBS. After incubation with Rabbit mAb ZO-1 (D6L1E), AlexaFluor 647 conjugated (#98225 Cell Signaling, Danvers, MA, USA), or mouse anti-claudin-1 (A-9, sc-166338) (Santa Cruz Biotechnology, USA) in 1% BSA overnight at 4℃, the cells were washed with PBS three times and then incubated for 1 h with Alexa 488-goat anti-mouse IgG secondary antibody (1:400; ThermoFisher Scientific, Waltham, MA, USA) in 1% BSA. After rinsing with PBS, the cell nuclei were counterstained for 5 min with 4’,6-diamidino-2-phenylindole dihydrochloride (DAPI) (Sigma, Burlington, MA, USA) at room temperature. Finally, the coverslips were mounted on glass slides using a mounting medium (ThermoFisher Scientific, Waltham, MA, USA) and images were obtained using a Leica/Thunder wide-field fluorescence microscope.
Statistical analysis
All experiments were performed in triplicate, and the data are expressed as the mean. ± SD. All group comparisons were conducted using Student’s t-tests, while comparisons among multiple groups were performed using analysis of variance (ANOVA) with SPSS 20.0 for Windows (SPSS, Chicago, IL). Statistical significance was defined as p < 0.05.
Data availability
Data associated with the publication are available upon request by the corresponding author.
References
Priyadarsini, S. et al. Diabetic keratopathy: insights and challenges. Surv. Ophthalmol. 65, 513–529. https://doi.org/10.1016/j.survophthal.2020.02.005 (2020).
Pu, Q. et al. Nicotinamide mononucleotide increases cell viability and restores tight junctions in high-glucose-treated human corneal epithelial cells via the SIRT1/Nrf2/HO-1 pathway. Biomed. Pharmacother. 147, 112659. https://doi.org/10.1016/j.biopha.2022.112659 (2022).
Sanchez-Thorin, J. C. The cornea in diabetes mellitus. Int. Ophthalmol. Clin. 38, 19–36 (1998).
Wang, Y. et al. Overexpression of SIRT1 promotes high glucose-attenuated corneal epithelial wound healing via p53 regulation of the IGFBP3/IGF-1R/AKT pathway. Invest. Ophthalmol. Vis. Sci. 54, 3806–3814. https://doi.org/10.1167/iovs.13-12091 (2013).
Alfuraih, S. et al. Effect of high glucose on ocular surface epithelial cell barrier and tight junction proteins. Invest. Ophthalmol. Vis. Sci. 61, 3. https://doi.org/10.1167/iovs.61.11.3 (2020).
Villarroel, M., Garcia-Ramirez, M., Corraliza, L., Hernandez, C. & Simo, R. Effects of high glucose concentration on the barrier function and the expression of tight junction proteins in human retinal pigment epithelial cells. Exp. Eye Res. 89, 913–920. https://doi.org/10.1016/j.exer.2009.07.017 (2009).
Wei, S. et al. Sirt1 attenuates diabetic keratopathy by regulating the Endoplasmic reticulum stress pathway. Life Sci. 265, 118789. https://doi.org/10.1016/j.lfs.2020.118789 (2021).
Ghosh, A., Singh, V. K., Singh, V., Basu, S. & Pati, F. Recent advancements in molecular therapeutics for corneal Scar treatment. Cells 11 https://doi.org/10.3390/cells11203310 (2022).
Hu, J. et al. Augmented O-GlcNAc signaling via glucosamine attenuates oxidative stress and apoptosis following contrast-induced acute kidney injury in rats. Free Radic Biol. Med. 103, 121–132. https://doi.org/10.1016/j.freeradbiomed.2016.12.032 (2017).
Igarashi, M., Sakamoto, K. & Nagaoka, I. Effect of glucosamine on expression of type II collagen, matrix metalloproteinase and Sirtuin genes in a human chondrocyte cell line. Int. J. Mol. Med. 39, 472–478. https://doi.org/10.3892/ijmm.2016.2842 (2017).
Chen, Y. J., Huang, S. M., Tai, M. C., Chen, J. T. & Liang, C. M. Glucosamine impedes transforming growth factor beta1-mediated corneal fibroblast differentiation by targeting Kruppel-like factor 4. J. Biomed. Sci. 26, 72. https://doi.org/10.1186/s12929-019-0566-1 (2019).
Chuang, K. H., Lu, C. S., Kou, Y. R. & Wu, Y. L. Cell cycle regulation by glucosamine in human pulmonary epithelial cells. Pulm Pharmacol. Ther. 26, 195–204. https://doi.org/10.1016/j.pupt.2012.10.007 (2013).
Gorgoulis, V. et al. Cellular senescence: defining a path forward. Cell 179, 813–827. https://doi.org/10.1016/j.cell.2019.10.005 (2019).
Zahedipour, F., Dalirfardouei, R., Karimi, G. & Jamialahmadi, K. Molecular mechanisms of anticancer effects of glucosamine. Biomed. Pharmacother. 95, 1051–1058. https://doi.org/10.1016/j.biopha.2017.08.122 (2017).
Chen, Y. J. et al. Protective Effects of Glucosamine on Oxidative-Stress and Ischemia/Reperfusion-Induced Retinal Injury. Investigative Ophthalmology & Visual Science 56, 1506–1516 (2015). https://doi.org/10.1167/iovs.14-15726%J Investigative Ophthalmology & Visual Science.
Eshwaran, R. et al. Glucosamine protects against neuronal but not vascular damage in experimental diabetic retinopathy. Mol. Metabolism. 54, 101333. https://doi.org/10.1016/j.molmet.2021.101333 (2021). https://doi.org:.
Ronkko, S., Vellonen, K. S., Jarvinen, K., Toropainen, E. & Urtti, A. Human corneal cell culture models for drug toxicity studies. Drug Deliv Transl Res. 6, 660–675. https://doi.org/10.1007/s13346-016-0330-y (2016).
Kruszewski, F. H., Walker, T. L. & DiPasquale, L. C. Evaluation of a human corneal epithelial cell line as an in vitro model for assessing ocular irritation. Fundam Appl. Toxicol. 36, 130–140 (1997).
Xiang, C. D. et al. Characterization of human corneal epithelial cell model as a surrogate for corneal permeability assessment: metabolism and transport. Drug Metab. Dispos. 37, 992–998. https://doi.org/10.1124/dmd.108.026286 (2009).
Zhu, J. & Thompson, C. B. Metabolic regulation of cell growth and proliferation. Nat. Rev. Mol. Cell. Biol. 20, 436–450. https://doi.org/10.1038/s41580-019-0123-5 (2019).
Araki-Sasaki, K. et al. An SV40-immortalized human corneal epithelial cell line and its characterization. Invest. Ophthalmol. Vis. Sci. 36, 614–621 (1995).
Han, C. et al. O-GlcNAcylation of SIRT1 enhances its deacetylase activity and promotes cytoprotection under stress. Nat. Commun. 8, 1491. https://doi.org/10.1038/s41467-017-01654-6 (2017).
James, L. R. et al. Flux through the hexosamine pathway is a determinant of nuclear factor kappaB- dependent promoter activation. Diabetes 51, 1146–1156. https://doi.org/10.2337/diabetes.51.4.1146 (2002).
Chen, C. L. et al. Glucosamine modulates TNF-alpha-induced ICAM-1 expression and function through O-linked and N-linked glycosylation in human retinal pigment epithelial cells. Invest. Ophthalmol. Vis. Sci. 53, 2281–2291. https://doi.org/10.1167/iovs.11-9291 (2012).
Chesnokov, V., Gong, B., Sun, C. & Itakura, K. Anti-cancer activity of glucosamine through Inhibition of N-linked glycosylation. Cancer Cell. Int. 14, 45. https://doi.org/10.1186/1475-2867-14-45 (2014).
Chen, Y. J. et al. Protective effects of glucosamine on oxidative-stress and ischemia/reperfusion-induced retinal injury. Invest. Ophthalmol. Vis. Sci. 56, 1506–1516. https://doi.org/10.1167/iovs.14-15726 (2015).
Kim, J. et al. Involvement of advanced glycation end products, oxidative stress and nuclear factor-kappaB in the development of diabetic keratopathy. Graefes Arch. Clin. Exp. Ophthalmol. 249, 529–536. https://doi.org/10.1007/s00417-010-1573-9 (2011).
Jiang, Q. W. et al. Diabetes inhibits corneal epithelial cell migration and tight junction formation in mice and human via increasing ROS and impairing Akt signaling. Acta Pharmacol. Sin. 40, 1205–1211. https://doi.org/10.1038/s41401-019-0223-y (2019).
Wu, Y. L. et al. Glucosamine attenuates cigarette smoke-induced lung inflammation by inhibiting ROS-sensitive inflammatory signaling. Free Radic Biol. Med. 69, 208–218. https://doi.org/10.1016/j.freeradbiomed.2014.01.026 (2014).
Mousavi, S. H., Bakhtiari, E., Hosseini, A. & Jamialahmadi, K. Protective effects of glucosamine and its acetylated derivative on serum/glucose deprivation-induced PC12 cells death: role of reactive oxygen species. Res. Pharm. Sci. 13, 121–129. https://doi.org/10.4103/1735-5362.223794 (2018).
Mattiuzzo, E. et al. In vitro effects of low doses of beta-Caryophyllene, ascorbic acid and d-Glucosamine on human chondrocyte viability and inflammation. Pharmaceuticals (Basel). 14. https://doi.org/10.3390/ph14030286 (2021).
Greco, D. et al. Gene expression analysis in SV-40 immortalized human corneal epithelial cells cultured with an air-liquid interface. Mol. Vis. 16, 2109–2120 (2010).
Rubelowski, A. K. et al. HCE-T cell line lacks cornea-specific differentiation markers compared to primary limbal epithelial cells and differentiated corneal epithelium. Graefes Arch. Clin. Exp. Ophthalmol. 258, 565–575. https://doi.org/10.1007/s00417-019-04563-0 (2020).
Medina, L., Grove, K. & Haltiwanger, R. S. SV40 large T antigen is modified with O-linked N-acetylglucosamine but not with other forms of glycosylation. Glycobiology 8, 383–391. https://doi.org/10.1093/glycob/8.4.383 (1998).
Ahuja, D., Saenz-Robles, M. T. & Pipas, J. M. SV40 large T antigen targets multiple cellular pathways to elicit cellular transformation. Oncogene 24, 7729–7745. https://doi.org/10.1038/sj.onc.1209046 (2005).
Davidson, M. M. et al. Novel cell lines derived from adult human ventricular cardiomyocytes. J. Mol. Cell. Cardiol. 39, 133–147. https://doi.org/10.1016/j.yjmcc.2005.03.003 (2005).
Yoshida, Y., Ban, Y. & Kinoshita, S. Tight junction transmembrane protein Claudin subtype expression and distribution in human corneal and conjunctival epithelium. Invest. Ophthalmol. Vis. Sci. 50, 2103–2108. https://doi.org/10.1167/iovs.08-3046 (2009).
Liang, D. et al. SIRT1/PGC-1 pathway activation triggers autophagy/mitophagy and attenuates oxidative damage in intestinal epithelial cells. Biochimie 170, 10–20. https://doi.org/10.1016/j.biochi.2019.12.001 (2020).
Zhang, X., Chen, J., Sun, L. & Xu, Y. SIRT1 deacetylates KLF4 to activate Claudin-5 transcription in ovarian cancer cells. J. Cell. Biochem. 119, 2418–2426. https://doi.org/10.1002/jcb.26404 (2018).
Tong, J. et al. Sirt6 regulates autophagy in AGE-treated endothelial cells via KLF4. Nutr. Metab. Cardiovasc. Dis. 32, 755–764. https://doi.org/10.1016/j.numecd.2021.12.020 (2022).
Hagen, S. J. Non-canonical functions of Claudin proteins: beyond the regulation of cell-cell adhesions. Tissue Barriers. 5, e1327839. https://doi.org/10.1080/21688370.2017.1327839 (2017).
Joo, H. J., Ma, D. J., Hwang, J. S. & Shin, Y. J. SIRT1 activation using CRISPR/dCas9 promotes regeneration of human corneal endothelial cells through inhibiting senescence. Antioxid. (Basel). 9. https://doi.org/10.3390/antiox9111085 (2020).
Astle, M. V. et al. AKT induces senescence in human cells via mTORC1 and p53 in the absence of DNA damage: implications for targeting mTOR during malignancy. Oncogene 31, 1949–1962. https://doi.org/10.1038/onc.2011.394 (2012).
Chan, K. T. et al. A functional genetic screen defines the AKT-induced senescence signaling network. Cell. Death Differ. 27, 725–741. https://doi.org/10.1038/s41418-019-0384-8 (2020).
He, B., Bai, J. & Wu, Z. Glucosamine enhances proliferation, barrier, and anti-oxidative functions in Porcine trophectoderm cells. Food Funct. 13, 4551–4561. https://doi.org/10.1039/d1fo04086c (2022).
Chung, E. H., Hutcheon, A. E., Joyce, N. C. & Zieske, J. D. Synchronization of the G1/S transition in response to corneal debridement. Invest. Ophthalmol. Vis. Sci. 40, 1952–1958 (1999).
Fujita, H., Morita, I., Takase, H., Ohno-Matsui, K. & Mochizuki, M. Prolonged exposure to high glucose impaired cellular behavior of normal human corneal epithelial cells. Curr. Eye Res. 27, 197–203. https://doi.org/10.1076/ceyr.27.4.197.16598 (2003).
Liang, C. M. et al. Glucosamine inhibits epidermal growth factor-induced proliferation and cell-cycle progression in retinal pigment epithelial cells. Mol. Vis. 16, 2559–2571 (2010).
Wang, L. S. et al. Anti-proliferative potential of glucosamine in renal cancer cells via inducing cell cycle arrest at G0/G1 phase. BMC Urol. 17, 38. https://doi.org/10.1186/s12894-017-0221-7 (2017).
Funding
This work was supported by grants from the Teh-Tzer Study Group for Human Medical Research Foundation (B1141022 to S.M. Huang), the Tri-Service General Hospital (TSGH-D-111-103, TSGH-E-112245, and TSGH-D-113-128 to Y.J. Chen), the National Defense Medical Bureau (MND–MAB-D-113073 to Y.J. Chen), and the Ministry of Science and Technology (MOST–110-2635-B-016-001 to Y.J. Chen), Taiwan, Republic of China.
Author information
Authors and Affiliations
Contributions
Conceptualization, Yung-Yu Yang, Shih-Ming Huang and Ying-Jen Chen; Data curation, Yung-Yu Yang and Shu-Ting Liu; Formal analysis, Yung-Yu Yang, Shu-Ting Liu and Shih-Ming Huang; Funding acquisition, Shih-Ming Huang and Ying-Jen Chen; Investigation, Ying-Jen Chen; Methodology, Shu-Ting Liu; Supervision, Shih-Ming Huang and Ying-Jen Chen; Validation, Yung-Yu Yang and Shu-Ting Liu; Writing – original draft, Yung-Yu Yang and Ying-Jen Chen; Writing – review & editing, Ying-Jen Chen. All authors read and approved the final manuscript.
Corresponding author
Ethics declarations
Competing interests
The authors declare no competing interests.
Additional information
Publisher’s note
Springer Nature remains neutral with regard to jurisdictional claims in published maps and institutional affiliations.
Supplementary Information
Below is the link to the electronic supplementary material.
Rights and permissions
Open Access This article is licensed under a Creative Commons Attribution-NonCommercial-NoDerivatives 4.0 International License, which permits any non-commercial use, sharing, distribution and reproduction in any medium or format, as long as you give appropriate credit to the original author(s) and the source, provide a link to the Creative Commons licence, and indicate if you modified the licensed material. You do not have permission under this licence to share adapted material derived from this article or parts of it. The images or other third party material in this article are included in the article’s Creative Commons licence, unless indicated otherwise in a credit line to the material. If material is not included in the article’s Creative Commons licence and your intended use is not permitted by statutory regulation or exceeds the permitted use, you will need to obtain permission directly from the copyright holder. To view a copy of this licence, visit http://creativecommons.org/licenses/by-nc-nd/4.0/.
About this article
Cite this article
Yang, YY., Liu, ST., Huang, SM. et al. Glucosamine mitigates hyperglycemic-induced oxidative stress via the SIRT1 pathway in human corneal epithelial cells. Sci Rep 15, 35806 (2025). https://doi.org/10.1038/s41598-025-19766-1
Received:
Accepted:
Published:
Version of record:
DOI: https://doi.org/10.1038/s41598-025-19766-1









