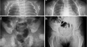
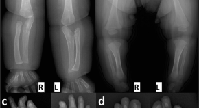
Andrea Superti-Furga, Ron Wevers, Clara van Karnebeek, Luisa Bonafé and colleagues identify mutations in NANS, which encodes the sialic acid synthase, in nine individuals with severe infantile-onset developmental delay and skeletal dysplasia. They describe abnormal metabolites accumulating because of deficient NANS enzyme activity and show that impaired sialic acid synthesis in zebrafish perturbs skeletal development, which can partially be rescued by supplementation with exogenous sialic acid.
- Clara D M van Karnebeek
- Luisa Bonafé
- Andrea Superti-Furga