Abstract
NF-κB is central for activation of immune responses. Cytosolic DNA activates the cGAS–STING pathway to induce type I interferons (IFNs) and signaling through NF-κB, thus instigating host defenses and pathological inflammation. However, the mechanism underlying STING-induced NF-κB activation is unknown. Here we report that STING activates NF-κB in a delayed manner, following exit from the Golgi to endolysosomal compartments. Activation of NF-κB is dependent on the IFN-inducing transcription factor IRF3 but is independent of type I IFN signaling. This activation pattern is evolutionarily conserved in tetrapods. Mechanistically, the monomer IRF3 is recruited to STING pS358, with delayed kinetics relative to IRF3 recruitment to STING pS366, which promotes type I IFN responses. IRF3 engagement with STING pS358 induces trafficking to late endolysosomal compartments, supporting recruitment of TRAF6 and activation of NF-κB. We identify a TRAF6 binding motif in IRF3 that facilitates recruitment of TRAF6. This work defines a signaling surface on STING and a function for IRF3 as an adaptor in immune signaling. These findings indicate that STING signaling to NF-κB is enabled only within a short time window between exit from the Golgi and lysosomal degradation, possibly limiting inflammation under homeostatic and danger-sensing conditions.
This is a preview of subscription content, access via your institution
Access options
Access Nature and 54 other Nature Portfolio journals
Get Nature+, our best-value online-access subscription
$32.99 / 30 days
cancel any time
Subscribe to this journal
Receive 12 print issues and online access
$259.00 per year
only $21.58 per issue
Buy this article
- Purchase on SpringerLink
- Instant access to the full article PDF.
USD 39.95
Prices may be subject to local taxes which are calculated during checkout








Similar content being viewed by others
Data availability
The sequencing data reported in this article are deposited in the Gene Expression Omnibus database under accession code GSE305060. All other data are available in the supplementary and article files. Source data are provided with this paper.
References
Taniguchi, K. & Karin, M. NF-κB, inflammation, immunity and cancer: coming of age. Nat. Rev. Immunol. 18, 309–324 (2018).
Takeuchi, O. & Akira, S. Pattern recognition receptors and inflammation. Cell 140, 805–820 (2010).
Hopfner, K. P. & Hornung, V. Molecular mechanisms and cellular functions of cGAS–STING signalling. Nat. Rev. Mol. Cell Biol. 21, 501–521 (2020).
Wu, J., Dobbs, N., Yang, K. & Yan, N. Interferon-independent activities of mammalian STING mediate antiviral response and tumor immune evasion. Immunity 53, 115–126 (2020).
Motwani, M. et al. Hierarchy of clinical manifestations in SAVI N153S and V154M mouse models. Proc. Natl Acad. Sci. USA 116, 7941–7950 (2019).
Li, T. et al. TBK1 recruitment to STING mediates autoinflammatory arthritis caused by defective DNA clearance. J. Exp. Med. 219, e20211539 (2022).
Li, S. et al. STING-induced regulatory B cells compromise NK function in cancer immunity. Nature 610, 373–380 (2022).
Margolis, S. R., Wilson, S. C. & Vance, R. E. Evolutionary origins of cGAS–STING signaling. Trends Immunol. 38, 733–743 (2017).
Holleufer, A. et al. Two cGAS-like receptors induce antiviral immunity in Drosophila. Nature 597, 114–118 (2021).
Ergun, S. L., Fernandez, D., Weiss, T. M. & Li, L. STING polymer structure reveals mechanisms for activation, hyperactivation, and inhibition. Cell 178, 290–301 (2019).
Zhao, B. et al. A conserved PLPLRT/SD motif of STING mediates the recruitment and activation of TBK1. Nature 569, 718–722 (2019).
Mukai, K. et al. Activation of STING requires palmitoylation at the Golgi. Nat. Commun. 7, 11932 (2016).
Zhang, B. C. et al. STEEP mediates STING ER exit and activation of signaling. Nat. Immunol. 21, 868–879 (2020).
Dalskov, L. et al. Characterization of distinct molecular interactions responsible for IRF3 and IRF7 phosphorylation and subsequent dimerization. Nucleic Acids Res. 48, 11421–11433 (2020).
Liu, S. et al. Phosphorylation of innate immune adaptor proteins MAVS, STING, and TRIF induces IRF3 activation. Science 347, aaa2630 (2015).
Liu, Y. et al. Clathrin-associated AP-1 controls termination of STING signalling. Nature 610, 761–767 (2022).
Gui, X. et al. Autophagy induction via STING trafficking is a primordial function of the cGAS pathway. Nature 567, 262–266 (2019).
Prabakaran, T. et al. Attenuation of cGAS–STING signaling is mediated by a p62/SQSTM1-dependent autophagy pathway activated by TBK1. EMBO J. 37, e97858 (2018).
Balka, K. R. et al. Termination of STING responses is mediated via ESCRT-dependent degradation. EMBO J. 42, e112712 (2023).
Gentili, M. et al. ESCRT-dependent STING degradation inhibits steady-state and cGAMP-induced signalling. Nat. Commun. 14, 611 (2023).
Abe, T. & Barber, G. N. Cytosolic-DNA-mediated, STING-dependent proinflammatory gene induction necessitates canonical NF-κB activation through TBK1. J. Virol. 88, 5328–5341 (2014).
Balka, K. R. et al. TBK1 and IKKε act redundantly to mediate STING-induced NF-κB responses in myeloid cells. Cell Rep. 31, 107492 (2020).
Cerboni, S. et al. Intrinsic antiproliferative activity of the innate sensor STING in T lymphocytes. J. Exp. Med. 214, 1769–1785 (2017).
Yum, S., Li, M., Fang, Y. & Chen, Z. J. TBK1 recruitment to STING activates both IRF3 and NF-κB that mediate immune defense against tumors and viral infections. Proc. Natl Acad. Sci. USA 118, e2100225118 (2021).
de Oliveira Mann, C. C. et al. Modular architecture of the STING C-terminal tail allows interferon and NF-κB signaling adaptation. Cell Rep. 27, 1165–1175 (2019).
Andersen, L. L. et al. Functional IRF3 deficiency in a patient with herpes simplex encephalitis. J. Exp. Med. 212, 1371–1379 (2015).
Duncan, C. J. A. et al. Life-threatening viral disease in a novel form of autosomal recessive IFNAR2 deficiency in the Arctic. J. Exp. Med. 219, e20212427 (2022).
Chattopadhyay, S., Kuzmanovic, T., Zhang, Y., Wetzel, J. L. & Sen, G. C. Ubiquitination of the transcription factor IRF-3 activates RIPA, the apoptotic pathway that protects mice from viral pathogenesis. Immunity 44, 1151–1161 (2016).
Dou, Z. et al. Cytoplasmic chromatin triggers inflammation in senescence and cancer. Nature 550, 402–406 (2017).
Dragan, A. I., Hargreaves, V. V., Makeyeva, E. N. & Privalov, P. L. Mechanisms of activation of interferon regulator factor 3: the role of C-terminal domain phosphorylation in IRF-3 dimerization and DNA binding. Nucleic Acids Res. 35, 3525–3534 (2007).
Cheng, Y. et al. IRF7 is involved in both STING and MAVS mediating IFN-β signaling in IRF3-lacking chickens. J. Immunol. 203, 1930–1942 (2019).
Zhou, P. et al. Contraction of the type I IFN locus and unusual constitutive expression of IFN-α in bats. Proc. Natl Acad. Sci. USA 113, 2696–2701 (2016).
Zou, J., Tafalla, C., Truckle, J. & Secombes, C. J. Identification of a second group of type I IFNs in fish sheds light on IFN evolution in vertebrates. J. Immunol. 179, 3859–3871 (2007).
Magnuson, J. J., Crowder, L. B. & Medvick, P. A. Temperature as an ecological resource. Am. Zool. 19, 331–343 (1979).
Raske, M. et al. Body temperatures of selected amphibian and reptile species. J. Zoo. Wildl. Med. 43, 517–521 (2012).
Williams, C. L. & Ponganis, P. J. Diving physiology of marine mammals and birds: the development of biologging techniques. Philos. Trans. R. Soc. Lond. B Biol. Sci. 376, 20200211 (2021).
Zhao, B. et al. Structural basis for concerted recruitment and activation of IRF-3 by innate immune adaptor proteins. Proc. Natl Acad. Sci. USA 113, E3403–E3412 (2016).
Tanaka, Y. & Chen, Z. J. STING specifies IRF3 phosphorylation by TBK1 in the cytosolic DNA signaling pathway. Sci. Signal. 5, ra20 (2012).
Yamashiro, L. H. et al. Interferon-independent STING signaling promotes resistance to HSV-1 in vivo. Nat. Commun. 11, 3382 (2020).
Honda, K. et al. Spatiotemporal regulation of MyD88–IRF-7 signalling for robust type-I interferon induction. Nature 434, 1035–1040 (2005).
Kagan, J. C. et al. TRAM couples endocytosis of Toll-like receptor 4 to the induction of interferon-β. Nat. Immunol. 9, 361–368 (2008).
Tamura, T., Yanai, H., Savitsky, D. & Taniguchi, T. The IRF family transcription factors in immunity and oncogenesis. Annu. Rev. Immunol. 26, 535–584 (2008).
Ma, M. et al. TAK1 is an essential kinase for STING trafficking. Mol. Cell 83, 3885–3903 (2023).
Paludan, S. R., Ellermann-Eriksen, S., Kruys, V. & Mogensen, S. C. Expression of TNF-α by herpes simplex virus-infected macrophages is regulated by a dual mechanism: transcriptional regulation by NF-κB and activating transcription factor 2/Jun and translational regulation through the AU-rich region of the 3′ untranslated region. J. Immunol. 167, 2202–2208 (2001).
Paludan, S. R., Reinert, L. S. & Hornung, V. DNA-stimulated cell death: implications for host-defense, inflammatory diseases, and cancer. Nat. Rev. Immunol. 19, 151–153 (2019).
Liu, Y. et al. Activated STING in a vascular and pulmonary syndrome. N. Engl. J. Med. 371, 507–518 (2014).
Rogers, C. et al. Cleavage of DFNA5 by caspase-3 during apoptosis mediates progression to secondary necrotic/pyroptotic cell death. Nat. Commun. 8, 14128 (2017).
Kawai, T., Adachi, O., Ogawa, T., Takeda, K. & Akira, S. Unresponsiveness of MyD88-deficient mice to endotoxin. Immunity 11, 115–122 (1999).
Yamamoto, M. et al. Cutting edge: a novel Toll/IL-1 receptor domain-containing adapter that preferentially activates the IFN-β promoter in the Toll-like receptor signaling. J. Immunol. 169, 6668–6672 (2002).
Diffey, B. L. Solar ultraviolet radiation effects on biological systems. Phys. Med. Biol. 36, 299–328 (1991).
Fumagalli, M. & d’Adda di Fagagna, F. SASPense and DDRama in cancer and ageing. Nat. Cell Biol. 11, 921–923 (2009).
Crow, Y. J. & Manel, N. Aicardi–Goutieres syndrome and the type I interferonopathies. Nat. Rev. Immunol. 15, 429–440 (2015).
Sirota, N., Kuznetsova, E. & Mitroshina, I. The level of DNA damage in mouse hematopoietic cells and in frog and human blood cells, as induced by the action of reactive oxygen species in vitro. Radiat. Environ. Biophys. 57, 115–121 (2018).
Li, N. et al. Genome sequence of walking catfish (Clarias batrachus) provides insights into terrestrial adaptation. BMC Genomics 19, 952 (2018).
Helsen, J. et al. Gene loss predictably drives evolutionary adaptation. Mol. Biol. Evol. 37, 2989–3002 (2020).
Albalat, R. & Canestro, C. Evolution by gene loss. Nat. Rev. Genet. 17, 379–391 (2016).
Santhakumar, D., Rubbenstroth, D., Martinez-Sobrido, L. & Munir, M. Avian interferons and their antiviral effectors. Front. Immunol. 8, 49 (2017).
Luksch, H. et al. STING-associated lung disease in mice relies on T cells but not type I interferon. J. Allergy Clin. Immunol. 144, 254–266 (2019).
Gao, Z. et al. A truncated reverse transcriptase enhances prime editing by split AAV vectors. Mol. Ther. 30, 2942–2951 (2022).
Thomsen, E. A. et al. Single-cell monitoring of activated innate immune signaling by a d2eGFP-based reporter mimicking time-restricted activation of IFNB1 expression. Front. Cell Infect. Microbiol. 11, 784762 (2021).
Acknowledgements
The laboratory of S.R.P. is supported by Independent Research Fund Denmark (0134-00008B and 1026-00003B), the Lundbeck Foundation (R359-2020-2287), the Novo Nordisk Foundation (NNF18OC0030274, NNF20OC0064301 and NNF20OC0063436) and the European Research Council (786602). T.H.M. is supported by the Independent Research Fund Denmark (0134-00006B) and by the Novo Nordisk Foundation (NNF20OC0064890 and NNF21OC0067157). Research in the laboratory of Pingwei Li was supported by NIH grant AI145287 and the Welch Foundation grant A-2107. ImageStream and flow cytometry were performed at the FACS Core Facility, Aarhus University, Denmark, and confocal imaging was performed at the Bioimaging Core Facility, Aarhus University, Denmark. Finally, we wish to thank the individuals who participated in the study and provided blood samples or skin biopsies for generation of fibroblasts.
Author information
Authors and Affiliations
Contributions
A.P. first observed the essential role for IRF3 in STING-induced NF-κB activation. B.-c.Z. and S.R.P. conceived the idea and designed the experiments. B.-c.Z. determined the mechanism. B.-c.Z., A.P., L.S.R., Y.L., R.N., M.I., L. Hu, M.K.S., S.L., M.M., Y.C., J.Z., K.M., Z.G., E.A.T., J.H.M., R.V., M.B.I., S.A. and R.Z. performed the experiments. L. Henneman generated transgenic mice. X.D. and J.-r.H. performed the bioinformatics analysis. M.-L.F., M.K.T., M.R.J., C.O., T.S.D., A.F. and T.W. provided materials and specific input to the paper. T.H.M. and M.-L.F. were responsible for ethics permission and for obtaining patient cells. C.B.F.A., D.D.N., F.R., J.P.-Y.T., M.K.T., P.M., J.G.M., R.O.B., T.H.M., P.L. and S.R.P. supervised the experiments. B.-c.Z., A.P. and S.R.P. wrote the paper.
Corresponding authors
Ethics declarations
Competing interests
The authors declare no competing interests.
Peer review
Peer review information
Nature Immunology thanks Stefan Bauer and the other, anonymous, reviewer(s) for their contribution to the peer review of this work. Primary Handling Editor: Nick Bernard, in collaboration with the Nature Immunology team. Peer reviewer reports are available.
Additional information
Publisher’s note Springer Nature remains neutral with regard to jurisdictional claims in published maps and institutional affiliations.
Extended data
Extended Data Fig. 1 Differential kinetics of STING-mediated activation of IRF3 and NF-κB p65 pathways.
a, b, ImageStream Analysis. HaCaT cells were treated with 4ug/ml dsDNA a, or HSV-2 b, for various time points, and then probed for p65 and IRF3 using Alexa Fluor® 647 conjugated Mouse Anti-Human IRF-3 and Phycoerythrin PE,-conjugated rabbit anti-NF-кB p65 antibodies. Nuclear translocation of p65 and IRF3 was analyzed by ImageStream (n = 3). c, d, Fibroblast cells c, or THP1 cells d, were treated with cGAMP for 0, 1, and 4 h, and then probed for p65 and IRF3 using Alexa Fluor® 647 conjugated Mouse Anti-Human IRF-3 and Phycoerythrin PE,-conjugated rabbit anti-NF-кB p65 antibodies. Nuclear translocation of p65 and IRF3 was analyzed by ImageStream(n = 3). e, NF-кB/ISRE Driven Reporter Assay. HEK293T cells expressing STING were co-transfected with 50 ng of NF-кB/ISRE promoter luciferase reporter and 30 ng of β-actin Renilla reporter. After 24 h of transfection, cells were stimulated with cGAMP for indicated time points(n = 3). f, g, HaCaT cells were treated with poly I:C with different concentrations f, or at different time points g, and then probed for p65 and IRF3 using Alexa Fluor® 647 conjugated Mouse Anti-Human IRF-3 and Phycoerythrin PE,-conjugated rabbit anti-NF-кB p65 antibodies. Nuclear translocation of p65 and IRF3 was analyzed by ImageStream (n = 3). h, Upper panel, Illustration of ImageStream analysis strategy to study if the IRF3 and NF-κB p65 pathways are activated in the same or different cells. Bottom panel, ImageStream analysis of IRF3 and p65 nuclear translocation levels in THP1 cells treated with cGAMP (100ug/ml), dsDNA (5 μg/ml) or HSV-2 (MOI = 3) (n = 3). i, NF-κB/ISRE driven reporter assay. HEK293T cells were co-transfected with 100 ng of STING-WT/S366A/ΔCTT and 50 ng of the NF-κB/ISRE promoter luciferase reporter and 30 ng of the β-actin Renilla reporter (n = 3). j, HaCaT cells were pre-treated with 2ug/ml Brefeldin A (BFA) for 1 h and then stimulated with cGAMP for 0, 1, and 4 h. The levels of the indicated proteins were determined by immunoblotting. k, Immunoblot analysis of HaCaT cells treated with vehicle or cGAMP following electroporation with Cas9 protein and each of the indicated sgRNAs. Results are presented as mean ± SD (a–i). P values were calculated using a two-sided, one-way ANOVA with Dunnett’s multiple comparisons test (a–d, and g), and two-way ANOVA with Sidak’s multiple comparisons test (e) and Tukey’s multiple comparisons test (e). All results presented in this figure are representative from 3 independent experiments with similar results.
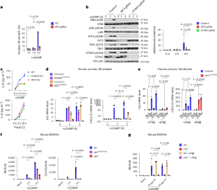
Extended Data Fig. 2 IRF3 specifically mediates the STING-induced NF-κB activation.
a, WT and p65-deficient HaCaT cells were treated with cGAMP for 0 and 4 h. ImageStream analyzed the nuclear translocation of the IRF3 (n = 3). b, WT, IRF3- or p65-ko HaCaT cells treated were stimulated with cGAMP. The mRNA level of the indicated gene was determined by qRT-PCR (n = 3). c, d, HaCaT cells treated with Cas9 and AAVS1, IRF3 or STING gRNAs were stimulated with 4ug/ml dsDNA c, or 4 Gy X-Ray d, The level of the indicated proteins was determined by immunoblotting. e, f, NF-κB/ISRE driven reporter assay. HEK293T cells were co- transfected with 1 ng, 10 ng, or 100 ng of MAVS e or TRIF f encoding plasmids and 50 ng of the NF-κB/ISRE promoter luciferase reporter and 30 ng of the β-actin Renilla reporter (n = 3). g, h, ImageStream analysis nuclear location of NF-κB p65 in Control and IRF3-depleted HaCaT cells after stimulation with poly(I:C) (500 ng/ml) or TNFα (20 ng/ml) or for 1 and 4 h (n = 3). Results are presented as mean ± SD (a, b and e–h). P values were calculated using a two-sided, two-way ANOVA with Sidak’s multiple comparisons test (a, and e–h) and T Dunnett’s multiple comparisons test (b). All results presented in this figure are representative from 3 independent experiments with similar results.
Extended Data Fig. 3 IRF3 is important for STING-induced NF-κB activation.
a, Primary human fibroblasts treated with Cas9 and AAVS1 (control) or IRF3 gRNAs were stimulated with vehicle or cGAMP for 4 h. The levels of the indicated proteins were determined by immunoblotting. b, Primary MEFs from WT and Irf3−/− mice were stimulated with vehicle or cGAMP. The mRNA levels of Il6 and Cxcl10 were determined by qRT-PCR (n = 3). c, WT and IRF3-, IFNAR2-deficient HaCaT cells were treated with cGAMP for different time points. The levels of the indicated proteins were determined by immunoblotting. d, WT and IRF3-, IFNAR2-deficient HaCaT cells were treated with vehicle or cGAMP for 4 h. Nuclear translocation of p65 was analyzed by ImageStream (n = 3). e, HaCaT cells deficient in IRF3 were rescued with IRF3-WT/K193R, and then the cells were stimulated with vehicle or cGAMP for 4 h. The levels of the indicated proteins were determined by immunoblotting. f, HaCaT cells treated with Cas9 and AAVS1 or Bax gRNAs were stimulated with vehicle or cGAMP for 4 h. The levels of the indicated proteins were determined by immunoblotting. Results are presented as mean ± SD (b, d). All results presented in this figure are representative from 3 independent experiments with similar results.
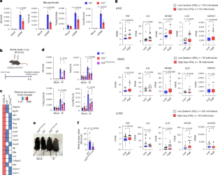
Extended Data Fig. 4 Role for IRF3 in STING-dependent inflammatory response in human and mice.
a, Representative images of C57BL/6-Wt, Irf3−/−, Ifnr1−/−, and Stinggt/gt mice after ionizing irradiation for 3 months. b, Levels of mRNA of Tnfa, Il6, and Cxcl10 in spleens from Wt, Irf3−/−, and Irf3R278Q/R278Q mice treated with LPS (5 mg/kg body weight) for 6 h. Mock-Wt and Mock- Irf3−/− (n = 4 mice), Mock- Irf3R278Q/R278Q (n = 6 mice), LPS-Wt (n = 5 mice), LPS- Irf3−/− and LPS- Irf3R278Q/R278Q (n = 6 mice). Results are presented as mean ± SD. P values were calculated using a two-sided, Brown-Forsythe ANOVA test followed by Dunnett’s T3 multiple comparisons test. c, Box plots of The Cancer Genome Atlas TCGA, RNA expression profiles in KIRC, CESC and LUSC. The highest and lowest 25% of STING expression were analyzed by comparing STING-high and STING-low groups. Statistical analysis was performed using a two-tailed Mann-Whitney test. The upper and lower ends of the boxes represent the upper and lower quartiles, and the horizontal line inside the box is the median of the dataset. The whiskers indicate the upper and lower extremes of the dataset.
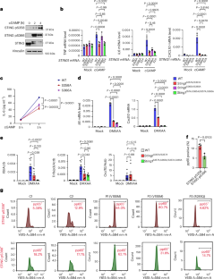
Extended Data Fig. 5 IRF3 Ser396 and the TRAF6 binding motif synergize to mediates STING-induced NF-κB activation.
a, HaCaT cells deficient in IRF3 were rescued with IRF3 WT, R211Q, R285Q, S386A, or S396A. and stimulated with vehicle or cGAMP. The levels of the indicated proteins were determined by immunoblotting. b, Murine embryonic fibroblasts (MEFs) were treated with control (scrambled gRNA)- or TRAF6-targeting gRNAs. The cells were treated with cGAMP for 6 h and total RNA was isolated for RT-qPCR analysis. Data show normalized levels of Tnfa and Il6 mRNA measured by RT-qPCR (n = 3). c, THP1 cells were treated with control (scrambled gRNA)- and TRAF6-targeting gRNAs and treated with cGAMP for 2 h. Lysates were probed for the indicated proteins measured by immunoblotting. d, SDS-PAGE for verification of protein purification and chromatogram of size exclusion chromatography of TRAF6-MATH domain or IRF3 peptide. e, Schematic of STING chimera CTT constructs with/without TRAF6 binding motif from human IRF3 or fish STING CTT. f, FLAG was immunoprecipitated from HEK293T cells with FLAG-STING WT/ + TRAF6 binding motif transfected with Myc-TRAF6. Precipitates were immunoblotted with anti-Myc. g, NF-κB/ISRE-driven reporter assay. HEK293T cells expressing STING-WT/STING + TRAF6 binding motif were co-transfected with 50 ng of the NF-κB/ISRE promoter luciferase reporter and 30 ng of the β-actin Renilla reporter (n = 3). h, WT and IRF3-deficient HEK293T cells were co-transfected with Flag-tagged TRAF6 and HA-tagged Ub-K63 only. After transfection for 24 h, the cells were stimulated with vehicle or cGAMP. Co-immunoprecipitation and immunoblot analysis were performed with the indicated antibodies. i, HEK293T cells with stable expression of STING and IRF3-WT or IRF3 mutants as indicated were transfected with Flag-tagged TRAF6. FLAG was immunoprecipitated from the cells, and the precipitates were immunoblotted with the indicated antibodies. Results are presented as mean ± SD (b and g). P values were calculated using a two-sided, two-way ANOVA with Tukey’s multiple comparisons test (b and g). All results presented in this figure are representative from 3 independent experiments with similar results.
Extended Data Fig. 6 NF-κB activation via TRAF6-IRF3-STING pathway is conserved in terrestrial animals.
a, FLAG was immunoprecipitated from HEK293T cells co-transfected with Myc-TRAF6 and different species of STING, and stimulated with vehicle or cGAMP for 6 h. The precipitates were immunoblotted with anti-Myc. b, Quantification of Myc-TRAF6 by western blotting. The band intensity of Myc-TRAF6 was plotted after normalization to the Flag-STING signal of the same lane. c, The activation of STING-NF-κB mediated by TRAF6-IRF3 is conserved in terrestrial animals. The mechanism of regulation involves IRF3 docking at STING, which acts as an adaptor to recruit TRAF6. This mechanism is highly conserved from amphibians to mammals. The affinity level between STING and IRF3 determines the preference of species STING to activate IFN or NF-κB. In lower species, STING has a higher affinity for IRF3, leading to the induction of a higher level of NF-κB response. In contrast, higher species STING conversely exhibit a lower propensity. d, Phylogeny analysis of type I interferon genes in terrestrial animals. e, HaCaT cells deficient in STING were reconstituted with human/mouse STING-WT or mutants as indicated. The cells were stimulated with cGAMP delivered by Digitonin and then incubated at 37 °C or 21 °C for 4 h. The levels of the indicated proteins were determined by immunoblotting. f, PBMCs from carp and mouse were stimulated with vehicle or cGAMP at 37 °C or 21 °C. Total RNA was isolated and analyzed by RT-qPCR. Results are presented as mean ± SD (n = 3). Results presented in a, b, e, f are representative from 3 independent experiments with similar results.
Extended Data Fig. 7 IRF3 docking at STING pS358 facilitates NF-κB activation.
a, Alignment of the C-terminal tail CTT, sequences of STING from different species. b, Wild type THP1 and THP1 STING KO cells were treated with 50 µg/mL cGAMP for the indicated time intervals. Whole-cell lysates were prepared and analyzed by SDS–PAGE followed by immunoblotting with the antibodies shown. c, HaCaT cells treated with Cas9 and scramble gRNA (control), TBK1 gRNAs or IKKƐ gRNAs were stimulated with vehicle or cGAMP for 5 h. Levels of the indicated proteins were determined by immunoblotting. d, Illustration of the design for generation of mice carrying the Sting S357A amino acid substitution (top panel) and mice carrying both S357A and S365A substitutions (bottom panel) by CRISPR/Cas9 microinjection in C57BL/6 J zygotes as described in the Methods section. The bottom part of each panel shows Sanger sequencing chromatograms from genome-edited mice confirming the introduced codon changes. e, RT-qPCR analysis of Il6, and Cxcl10 in total RNA isolated from Wt, StingS357A/S357A, StingS365A/S365A and StingS357A,S365A/S357A,S365A BMMs after stimulation with vehicle, cGAMP (20ug/ml) or diABZ (1uM) for 2 h (n = 3 biological replicates). Results are presented as mean ± SD. P values were calculated using a two-sided, two-way ANOVA with Tukey’s multiple comparisons test. All results presented in this figure are representative from 3 independent experiments with similar results.
Extended Data Fig. 8 Gating strategy for flow cytometry analysis of human PBMCs.
a, PBMCs from three donors stimulated with mock or cGAMP were stained with antibodies against p65 pS536, STING pS358, and pS366, and analyzed by flow cytometry. The diagram illustrates the gating strategy to select the populations of interest. b, c, PBMCs from three SAVI patients and two healthy controls were stained with antibodies against p65 pS536, STING pS358, and pS366, and analyzed by flow cytometry. The diagram illustrates the gating strategy to select the populations of interest.
Extended Data Fig. 9 Functional and biochemical analysis of phosphomimetic STING C-terminal tail mutants.
a, NF-κB/ISRE reporter assay performed in HEK293T cells expressing STING-WT/S358D/S366D/S2D and transfected with NF-κB/ISRE promoter luciferase reporter and β-actin Renilla reporter (n = 3). Results are presented as mean ± SD. P values were calculated using a two-sided, one-way ANOVA with Tukey’s multiple comparisons test. b, V5 immunoprecipitation assay performed in HEK293T cells expressing different STING mutations and V5-IRF3. The precipitates were immunoblotted with anti-STING antibodies. c, SDS-PAGE for verification of peptides purification. d, Chromatogram of size exclusion chromatography of phospho-STING CTT/S358A/S366A peptide. e, Surface Plasmon Resonance (SPR) binding studies of the phosphorylated STING C-terminal tail (pSTING CTT) WT/S358A/S366A with IRF3. All results presented in this figure are representative from 3 independent experiments with similar results.
Extended Data Fig. 10 IRF3 mediates pSTING-ser358 but not pSTING-ser366 trafficking to Endolysosome.
a, ImageStream analysis of HEK293T cells expressing WT or mutant STINGs probed for STING and the late endosome marker Rab7 (n = 3). b, ImageStream analysis of HEK293T cells stably expressing S358D were treated with Cas9 and AAVS1 (Control), AP1G1 gRNA or AP1M1 gRNA and probed for STING and late endosome markers Rab7 and LAMP1 (n = 3). c, HaCaT cells treated with Cas9 and AAVS1 (Control), AP1G1 gRNA or AP1M1 gRNA were stimulated with 25ug/ml cGAMP for 6 h. The mRNA levels of the IL6 and CXCL10 were determined by RT-q PCR (n = 3). d, ImageStream analysis of HEK293T cells stably expressing WT, S358D or S366D STING treated with Cas9 and AAVS1 or IRF3 gRNAs and probed with late endosome marker Rab7 or LAMP1 and STING (n = 3). e, Immunoblot analysis of HaCaT cells treated with Cas9 and AAVS1 or IRF3 gRNAs and stimulated with cGAMP to determine the level of indicated proteins. Results are presented as mean ± SD (a–d). P values were calculated using a two-sided, one-way ANOVA with Tukey’s multiple comparisons test (a) and Dunnett’s multiple comparisons test (b–d). All results presented in this figure are representative from 3 independent experiments with similar results.
Supplementary information
Supplementary Information (download PDF )
Supplementary Fig. 1 and Table 1.
Source data
Source Data Fig. 1 (download XLSX )
Statistical source data.
Source Data Fig. 1 (download PDF )
Unprocessed western blots.
Source Data Fig. 2 (download XLSX )
Statistical source data.
Source Data Fig. 2 (download PDF )
Unprocessed western blots.
Source Data Fig. 3 (download XLSX )
Statistical source data.
Source Data Fig. 4 (download XLSX )
Statistical source data.
Source Data Fig. 4 (download PDF )
Unprocessed western blots.
Source Data Fig. 5 (download XLSX )
Statistical source data.
Source Data Fig. 5 (download PDF )
Unprocessed western blots.
Source Data Fig. 6 (download XLSX )
Statistical source data.
Source Data Fig. 6 (download PDF )
Unprocessed western blots.
Source Data Fig. 7 (download XLSX )
Statistical source data.
Source Data Fig. 7 (download PDF )
Unprocessed western blots.
Source Data Fig. 8 (download XLSX )
Statistical source data.
Source Data Fig. 8 (download PDF )
Unprocessed western blots.
Source Data Extended Data Fig. 1 (download XLSX )
Statistical source data.
Source Data Extended Data Fig. 1 (download PDF )
Unprocessed western blots.
Source Data Extended Data Fig. 2 (download XLSX )
Statistical source data.
Source Data Extended Data Fig. 2 (download PDF )
Unprocessed western blots.
Source Data Extended Data Fig. 3 (download XLSX )
Statistical source data.
Source Data Extended Data Fig. 3 (download PDF )
Unprocessed western blots.
Source Data Extended Data Fig. 4 (download XLSX )
Statistical source data.
Source Data Extended Data Fig. 5 (download XLSX )
Statistical source data.
Source Data Extended Data Fig. 5 (download PDF )
Unprocessed western blots.
Source Data Extended Data Fig. 6 (download XLSX )
Statistical source data.
Source Data Extended Data Fig. 6 (download PDF )
Unprocessed western blots.
Source Data Extended Data Fig. 7 (download XLSX )
Statistical source data.
Source Data Extended Data Fig. 7 (download PDF )
Unprocessed western blots.
Source Data Extended Data Fig. 8 (download XLSX )
Statistical source data.
Source Data Extended Data Fig. 9 (download XLSX )
Statistical source data.
Source Data Extended Data Fig. 9 (download PDF )
Unprocessed western blots.
Source Data Extended Data Fig. 10 (download XLSX )
Statistical source data.
Source Data Extended Data Fig. 10 (download PDF )
Unprocessed western blots.
Rights and permissions
Springer Nature or its licensor (e.g. a society or other partner) holds exclusive rights to this article under a publishing agreement with the author(s) or other rightsholder(s); author self-archiving of the accepted manuscript version of this article is solely governed by the terms of such publishing agreement and applicable law.
About this article
Cite this article
Zhang, Bc., Pedersen, A., Reinert, L.S. et al. STING signals to NF-κB from late endolysosomal compartments using IRF3 as an adaptor. Nat Immunol 26, 1916–1930 (2025). https://doi.org/10.1038/s41590-025-02283-8
Received:
Accepted:
Published:
Version of record:
Issue date:
DOI: https://doi.org/10.1038/s41590-025-02283-8


