Abstract
Chronic inflammation promotes aging and age-associated diseases. While metabolic interventions can modulate inflammation, how metabolism and inflammation are connected remains unclear. Cytoplasmic chromatin fragments (CCFs) drive chronic inflammation through the cGAS–STING pathway in senescence and aging. However, CCFs are larger than nuclear pores, and how they translocate from the nucleus to the cytoplasm remains uncharacterized. Here we report that chromatin fragments exit the nucleus via nuclear egress, a membrane trafficking process that shuttles large complexes across the nuclear envelope. Inactivating critical nuclear egress proteins, the ESCRT-III or Torsin complex, traps chromatin fragments at the nuclear membrane and suppresses cGAS–STING activation and senescence-associated inflammation. Glucose limitation or metformin inhibits CCF formation through AMPK-dependent phosphorylation and autophagic degradation of ALIX, an ESCRT-III component. In aged mice, metformin reduces ALIX, CCFs, and cGAS-mediated inflammation in the intestine. Our study identifies a mechanism linking metabolism and inflammation and suggests targeting the nuclear egress of chromatin fragments as a strategy to suppress age-associated inflammation.
This is a preview of subscription content, access via your institution
Access options
Access Nature and 54 other Nature Portfolio journals
Get Nature+, our best-value online-access subscription
$32.99 / 30 days
cancel any time
Subscribe to this journal
Receive 12 digital issues and online access to articles
$119.00 per year
only $9.92 per issue
Buy this article
- Purchase on SpringerLink
- Instant access to the full article PDF.
USD 39.95
Prices may be subject to local taxes which are calculated during checkout




Similar content being viewed by others
Data availability
RNA-seq data have been deposited in the NCBI Gene Expression Omnibus (GEO) database under accession number GSE272306. Source data are provided with this paper. All other original data are available upon reasonable request.
References
Franceschi, C. & Campisi, J. Chronic inflammation (inflammaging) and its potential contribution to age-associated diseases. J. Gerontol. A 69, S4–S9 (2014).
López-Otín, C., Blasco, M. A., Partridge, L., Serrano, M. & Kroemer, G. Hallmarks of aging: an expanding universe. Cell 186, 243–278 (2023).
Miller, K. N. et al. Cytoplasmic DNA: sources, sensing, and role in aging and disease. Cell 184, 5506–5526 (2021).
Ivanov, A. et al. Lysosome-mediated processing of chromatin in senescence. J. Cell Biol. 202, 129–143 (2013).
Dou, Z. et al. Cytoplasmic chromatin triggers inflammation in senescence and cancer. Nature 550, 402–406 (2017).
Vizioli, M. G. et al. Mitochondria-to-nucleus retrograde signaling drives formation of cytoplasmic chromatin and inflammation in senescence. Genes Dev. 34, 428–445 (2020).
Yang, H., Wang, H., Ren, J., Chen, Q. & Chen, Z. J. cGAS is essential for cellular senescence. Proc. Natl. Acad. Sci. USA 114, E4612–E4620 (2017).
Glück, S. et al. Innate immune sensing of cytosolic chromatin fragments through cGAS promotes senescence. Nat. Cell Biol. 19, 1061–1070 (2017).
Gulen, M. F. et al. cGAS–STING drives ageing-related inflammation and neurodegeneration. Nature 620, 374–380 (2023).
Dou, Z. et al. Cytosolic DNA crosstalk in senescence: a new axis of inflammatory signaling? EMBO J. https://doi.org/10.1038/s44318-025-00531-z (2025).
Dou, Z. et al. Autophagy mediates degradation of nuclear lamina. Nature 527, 105–109 (2015).
Klupp, B. G. & Mettenleiter, T. C. The knowns and unknowns of herpesvirus nuclear egress. Annu. Rev. Virol. 10, 305–323 (2023).
Arii, J. et al. ESCRT-III mediates budding across the inner nuclear membrane and regulates its integrity. Nat. Commun. 9, 3379 (2018).
Arii, J. Host and viral factors involved in nuclear egress of herpes simplex virus 1. Viruses 13, 754 (2021).
Maric, M. et al. A functional role for TorsinA in herpes simplex virus 1 nuclear egress. J. Virol. 85, 9667–9679 (2011).
Jokhi, V. et al. Torsin mediates primary envelopment of large ribonucleoprotein granules at the nuclear envelope. Cell Rep. 3, 988–995 (2013).
Narita, M. et al. Rb-mediated heterochromatin formation and silencing of E2F target genes during cellular senescence. Cell 113, 703–716 (2003).
McCullough, J., Frost, A. & Sundquist, W. I. Structures, functions, and dynamics of ESCRT-III/Vps4 membrane remodeling and fission complexes. Annu. Rev. Cell Dev. Biol. 34, 85–109 (2018).
Hurley, J. H. ESCRTs are everywhere. EMBO J. 34, 2398–2407 (2015).
Vietri, M., Radulovic, M. & Stenmark, H. The many functions of ESCRTs. Nat. Rev. Mol. Cell Biol. 21, 25–42 (2020).
Laudermilch, E. & Schlieker, C. Torsin ATPases: structural insights and functional perspectives. Curr. Opin. Cell Biol. 40, 1–7 (2016).
Zhao, C., Brown, R. S. H., Chase, A. R., Eisele, M. R. & Schlieker, C. Regulation of Torsin ATPases by LAP1 and LULL1. Proc. Natl. Acad. Sci. USA 110, E1545–E1554 (2013).
Sosa, B. A. et al. How lamina-associated polypeptide 1 (LAP1) activates Torsin. Elife 3, e03239 (2014).
Goodchild, R. E. & Dauer, W. T. The AAA+ protein TorsinA interacts with a conserved domain present in LAP1 and a novel ER protein. J. Cell Biol. 168, 855–862 (2005).
Finkel, T. The metabolic regulation of aging. Nat. Med. 21, 1416–1423 (2015).
Herzig, S. & Shaw, R. J. AMPK: guardian of metabolism and mitochondrial homeostasis. Nat. Rev. Mol. Cell Biol. 19, 121–135 (2018).
Wang, Y. et al. WSTF nuclear autophagy regulates chronic but not acute inflammation. Nature 644, 780–789 (2025).
Gwinn, D. M. et al. AMPK phosphorylation of raptor mediates a metabolic checkpoint. Mol. Cell 30, 214–226 (2008).
Crute, B. E., Seefeld, K., Gamble, J., Kemp, B. E. & Witters, L. A. Functional domains of the α1 catalytic subunit of the AMP-activated protein kinase. J. Biol. Chem. 273, 35347–35354 (1998).
Xiao, B. et al. Structural basis of AMPK regulation by small molecule activators. Nat. Commun. 4, 3017 (2013).
Victorelli, S. et al. Apoptotic stress causes mtDNA release during senescence and drives the SASP. Nature 622, 627–636 (2023).
Victorelli, S. et al. Mitochondrial RNA cytosolic leakage drives the SASP. Nat. Commun. 16, 10992 (2025).
López-Polo, V. et al. Release of mitochondrial dsRNA into the cytosol is a key driver of the inflammatory phenotype of senescent cells. Nat. Commun. 15, 7378 (2024).
Mizushima, N., Yoshimori, T. & Levine, B. Methods in mammalian autophagy research. Cell 140, 313–326 (2010).
Lamark, T. & Johansen, T. Mechanisms of selective autophagy. Annu. Rev. Cell Dev. Biol. 37, 143–169 (2021).
Kulkarni, A. S., Gubbi, S. & Barzilai, N. Benefits of metformin in attenuating the hallmarks of aging. Cell Metab. 32, 15–30 (2020).
Foretz, M., Guigas, B., Bertrand, L., Pollak, M. & Viollet, B. Metformin: from mechanisms of action to therapies. Cell Metab. 20, 953–966 (2014).
Martin-Montalvo, A. et al. Metformin improves healthspan and lifespan in mice. Nat. Commun. 4, 2192 (2013).
Yang, Y. et al. Metformin decelerates aging clock in male monkeys. Cell 187, 6358–6378.e29 (2024).
Tobar, N. et al. Metformin acts in the gut and induces gut-liver crosstalk. Proc. Natl. Acad. Sci. USA 120, e2211933120 (2023).
McCreight, L. J., Bailey, C. J. & Pearson, E. R. Metformin and the gastrointestinal tract. Diabetologia 59, 426–435 (2016).
Moiseeva, O. et al. Metformin inhibits the senescence-associated secretory phenotype by interfering with IKK/NF-κB activation. Aging Cell 12, 489–498 (2013).
van Vliet, T. et al. Physiological hypoxia restrains the senescence-associated secretory phenotype via AMPK-mediated mTOR suppression. Mol. Cell 81, 2041–2052.e6 (2021).
Cancado de Faria, R. et al. A noncanonical cGAS-STING pathway drives cellular and organismal aging. Proc. Natl. Acad. Sci. USA 122, e2424666122 (2025).
Zhao, B. et al. Topoisomerase 1 cleavage complex enables pattern recognition and inflammation during senescence. Nat. Commun. 11, 908 (2020).
Hao, X. et al. TXNRD1 drives the innate immune response in senescent cells with implications for age-associated inflammation. Nat. Aging 4, 185–197 (2024).
De Cecco, M. et al. L1 drives IFN in senescent cells and promotes age-associated inflammation. Nature 566, 73–78 (2019).
Stowe, R. P. et al. Chronic herpesvirus reactivation occurs in aging. Exp. Gerontol. 42, 563–570 (2007).
Bennett, J. M. et al. Inflammation and reactivation of latent herpesviruses in older adults. Brain Behav. Immun. 26, 739–746 (2012).
Xu, C. et al. SIRT1 is downregulated by autophagy in senescence and ageing. Nat. Cell Biol. 22, 1170–1179 (2020).
Onorati, A. et al. Upregulation of PD-L1 in senescence and aging. Mol. Cell. Biol. 42, e0017122 (2022).
Liu, X. et al. LncRNA NBR2 engages a metabolic checkpoint by regulating AMPK under energy stress. Nat. Cell Biol. 18, 431–442 (2016).
Dobin, A. et al. STAR: ultrafast universal RNA-seq aligner. Bioinformatics 29, 15–21 (2013).
Anders, S., Pyl, P. T. & Huber, W. HTSeq–a Python framework to work with high-throughput sequencing data. Bioinformatics 31, 166–169 (2015).
Robinson, M. D., McCarthy, D. J. & Smyth, G. K. edgeR: a Bioconductor package for differential expression analysis of digital gene expression data. Bioinformatics 26, 139–140 (2010).
Kuleshov, M. V. et al. Enrichr: a comprehensive gene set enrichment analysis web server 2016 update. Nucleic Acids Res. 44, W90–W97 (2016).
Freund, A., Orjalo, A. V., Desprez, P.-Y. & Campisi, J. Inflammatory networks during cellular senescence: causes and consequences. Trends Mol. Med. 16, 238–246 (2010).
Babicki, S. et al. Heatmapper: web-enabled heat mapping for all. Nucleic Acids Res. 44, W147–W153 (2016).
Acknowledgements
This project was conceived via discussion with E. Baehrecke. We thank M. G. Vizioli for piloting the conditions for this project and members of the Dou lab and Peter D. Adams lab for technical assistance and discussions. We acknowledge the microscopy core facility of the Center for Regenerative Medicine at Massachusetts General Hospital for assistance on confocal microscopy, and the next-generation sequencing core at Massachusetts General Hospital for assistance on RNA-seq. This project is supported by National Institutes of Health (NIH) R01AG082785 (Z.D. and C.-W.C), NIH R35GM137889, UH3CA268117, R21AG073894, Hevolution/AFAR (American Federation for Aging Research) New Investigator Award and Glenn Foundation for Medical Research and AFAR Grant for Junior Faculty (Z.D.), as well as NIH R01AI148148 (B.H.). Y.X. is supported by Glenn Foundation for Medical Research Postdoctoral Fellowships in Aging Research from AFAR.
Author information
Authors and Affiliations
Contributions
B.H. and Z.D. conceived the project. T.K., Y.X., and Y.W. conducted most of the experiments. T.C.O. and Y.W. contributed part of the RNA-seq data. J.-W.L. contributed mtDNA/mtRNA analyses. C.-K.H., A.W., and K.H. contributed part of the in vivo data. M.C. and R.I.S. contributed computational analyses of RNA-seq. N.B. supervised AMPK experiments. C.-W.C. supervised intestine experiments. B.H. supervised nuclear egress experiments. Z.D. supervised the study and provided most of the funding support. Z.D. wrote the paper. All authors discussed the paper.
Corresponding author
Ethics declarations
Competing interests
The authors declare no competing interests.
Peer review
Peer review information
Nature Aging thanks Gerardo Ferbeyre and the other, anonymous, reviewer(s) for their contribution to the peer review of this work.
Additional information
Publisher’s note Springer Nature remains neutral with regard to jurisdictional claims in published maps and institutional affiliations.
Extended data
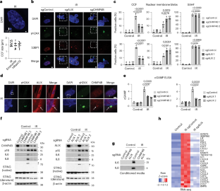
Extended Data Fig. 1 Characterization of CCF and the roles of ESCRT-III in mediating CCF nuclear egress.
a, IMR90 cells were subjected to IR (20 Gy) and harvested at indicated time points for immunoblotting. b, Quantification of CCFs. Data presented are mean values with s.d. from four randomly selected fields with over 200 cells. c, Related to Fig. 1b, additional images of CCF and nuclear membrane blebs. Scale bar: 1 μm. d, Quantification of the length of nuclear membrane blebs, with mean values labeled. Results are from three independent experiments. e, Related to Fig. 1d, additional images of CHMP4B and ALIX localization at the nuclear membrane blebs of senescent cells. Scale bar: 1 μm. f, Related to Fig. 1d, antibody validation using KO cells. CHMP4B or ALIX-deficient proliferating IMR90 cells were stained with CHMP4B or ALIX antibody and imaged under a confocal microscopy. Scale bar: 1 μm. g, CHMP4B and ALIX are not enriched at the CCFs of senescent cells. Scale bar: 1 μm. Representative images from three independent experiments are shown. h, IMR90 cells were stably infected with construct expressing shRNA against non-targeting control (NTC), cGAS, or STING. The cells were analyzed by immunoblotting. i, Cells as in h were subjected to etoposide-induced senescence, followed by RT-qPCR analyses. Results shown are mean values with s.d., normalized to Lamin A/C. j, IMR90 cells were subjected to IR-induced senescence. H151, a STING inhibitor, was added on day 6 and the cells were harvested on day 14 and analyzed by RT-qPCR. Results shown are mean values with s.d., normalized to Lamin A/C. P values in this figure were calculated with one-way ANOVA coupled with Tukey’s post hoc test. Results in this figure were representative of at least three independent biological replicates.
Extended Data Fig. 2 ESCRT-III is required for promoting the CCF-cGAS-STING-NF-κB-SASP pathway.
a, IMR90 cells were induced to senescence by IR and fixed on day 14. The cells were stained with cGAS and γH2AX antibodies and imaged under a confocal microscopy. Scale bar: 3 μm. b, IMR90 cells were induced to senescence by IR and were analyzed under a native condition. Ponceau S was shown for equal loading. Results shown in a and b are representative of three independent experiments. c, Senescent IMR90 cells with indicated genotypes were stained for p65 and imaged under a confocal microscopy. Scale bar: 6 μm. Bar graphs show mean values with s.d. from four randomly selected fields with over 200 cells. d, RT-qPCR analyses for CHMP4B or ALIX KO cells, normalized to Lamin A/C. Results shown are the mean values with s.d. Results are from three biological replicates. e, SA-β-Gal analyses of ESCRT-III-deficient cells. IMR90 cells were left untreated or induced to senescence by IR and fixed on day 14. The cells were stained with SA-β-Gal kit and representative images are presented (left). Scale bar: 100 μm. (Right) Quantification of SA-β-Gal positive cells. Results shown are mean values with s.d. from four randomly selected fields with over 200 cells. P values were calculated with one-way ANOVA coupled with Tukey’s post hoc test (c-e). f and g, Related to Fig. 1h, RNA-Seq analyses of sgControl and sgALIX senescent IMR90 cells, performed in three replicates. The mean values of RPKM of gene expression were plotted and key SASP genes were annotated. Note that sgALIX senescent cells show reduced expression of multiple SASP genes (f). Gene Ontology (GO) analysis of top downregulated genes in sgALIX senescent cells was performed using Enrichr, in which P values were computed from the Fisher exact test (g).
Extended Data Fig. 3 Roles of ESCRT-III in response to senescence and cytosolic dsDNA exposure.
a, IMR90 cells were treated with 50 μM etoposide for 48 hours, harvested on day 12, and subjected to imaging analyses. Results shown are mean values with s.d. from four randomly selected fields with over 200 cells. b, Etoposide-induced senescent IMR90 cells were analyzed by RT-qPCR, showing mean values with s.d., normalized to Lamin A/C. c and d, Primary BJ fibroblasts were induced to senescence with 20 Gy of IR and harvested on day 12, fixed, and subjected to imaging analyses. Bar graphs show mean values with s.d. from four randomly selected fields with over 200 cells. e, BJ cells were analyzed by RT-qPCR, normalized to Lamin A/C. Results shown are mean values with s.d. f and g, A549 cells were induced to senescence with 5 μM etoposide and harvested on day 14, fixed, and subjected to imaging analyses. Bar graphs show mean values with s.d. from three randomly selected fields with over 200 cells. h, A549 cells were analyzed by RT-qPCR, normalized to Lamin A/C. Results shown are mean values with s.d. i, IMR90 cells were stably infected with CRISPR constructs encoding sgControl, sgCHMP4B, or sgALIX. The cells were then transfected with ISD and were harvested 24 hours later, followed by RT-qPCR analyses with indicated genes. Results shown are mean values with s.d., normalized to those of Lamin A/C. Results in this figure are from at least three biological replicates. P values in this figure were calculated with one-way ANOVA coupled with Tukey’s post hoc test.
Extended Data Fig. 4 VPS4, and specifically nuclear VPS4, regulates nuclear egress of chromatin fragments and the SASP.
a-c, IMR90 cells were stably infected with a vector or constructs encoding HA-VPS4-WT or HA-VPS4-DN. The cells were then induced to senescence by IR and harvested on day 14 (a and b). The cells were fixed and subjected to imaging analyses (a). Bar graphs show mean values with s.d. from four randomly selected fields with over 200 cells. P values were calculated with one-way ANOVA coupled with Tukey’s post hoc test. b, The cells were analyzed by RT-qPCR for indicated genes. Results shown are mean values with s.d., normalized to those of Lamin A/C. P values were calculated with one-way ANOVA coupled with Tukey’s post hoc test. Results are from three biological replicates. c, Cells were transfected with ISD and were harvested 24 hours later. The lysates were analyzed by immunoblotting. STING western was performed under non-reducing conditions. * denotes STING dimer. d-f, IMR90 cells were stably infected with a vector or constructs encoding 3xNLS-VPS4-WT-Flag or 3xNLS-VPS4-DN-Flag. The cells were imaged under a confocal microscopy (d). Scale bar: 5 μm. e and f, The cells as indicated were induced to senescence by IR and harvested on day 14. The cells were fixed and subjected to imaging analyses (e). Bar graphs show mean values with s.d. from four randomly selected fields with over 200 cells. P values were calculated with one-way ANOVA coupled with Tukey’s post hoc test. f, The cells were analyzed by RT-qPCR with indicated genes. Results shown are mean values with s.d., normalized to those of Lamin A/C. P values were calculated with one-way ANOVA coupled with Tukey’s post hoc test. Results are from three biological replicates.
Extended Data Fig. 5 Torsin complex is required for nuclear egress of chromatin fragments and the SASP.
a, Additional images of CCFs and nuclear membrane blebs. Scale bar: 5 μm. b, RNA-Seq analyses of senescent cells, performed in three replicates. Gene Ontology (GO) analysis of top downregulated genes in sgTOR1A was performed using Enrichr, in which P values were computed from the Fisher exact test. c, IMR90 were induced to senescence by IR, fixed on day 14, and stained with SA-β-Gal (top). Scale bar: 100 μm. (Bottom) Results shown are mean values with s.d. from four randomly selected fields with over 200 cells. d and e, IMR90 were induced to senescence by IR and analyzed by imaging (d). Bar graphs show mean values with s.d. from four randomly selected fields with over 200 cells. e, RT-qPCR analyses, normalized to Lamin A/C, showing mean values with s.d. f, Primary BJ fibroblasts were induced to senescence with 20 Gy of IR and harvested on day 12, fixed, and subjected to imaging analyses, showing mean values with s.d. from three randomly selected fields with over 200 cells. g, Cells were analyzed by RT-qPCR, normalized to Lamin A/C, showing mean values with s.d. h, A549 were induced to senescence with 5 μM etoposide and harvested on day 14, fixed, and subjected to imaging analyses, showing mean values with s.d. from three randomly selected fields with over 200 cells. i, Cells were analyzed by RT-qPCR, normalized to Lamin A/C. The same sgControl for BJ and A549 cells were used in Extended Data Fig. 3. j and k, IMR90 were induced to senescence by IR and analyzed by immunoblotting (j) or imaging (k). Bar graphs present mean values with s.d. from four randomly selected fields with over 200 cells. Unless indicated, P values were calculated with one-way ANOVA coupled with Tukey’s post hoc test. Results in this figure are from at least three biological replicates.
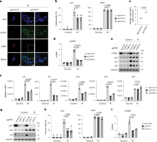
Extended Data Fig. 6 Effects of glucose limitation and metformin on ESCRT proteins.
a, Related to Fig. 3a, western blotting of proteins involved in nuclear egress upon glucose starvation. b, Related to Figs. 3b and 3c, the cells were analyzed by RT-qPCR. Data shown are mean values with s.d. P values were calculated with one-way ANOVA coupled with Tukey’s post hoc test. c, Analyses of AMPK subunit expression levels from mass spectrometry or RNA-Seq. Results shown are mean values with s.d. and are from three biological replicates. P values were from unpaired two-tailed Student’s t-test. d, Cells with indicated genotypes and treatments were lysed in 1% SDS buffer followed by 95 °C boiling. SDS was then diluted to 0.1%, followed by immunoprecipitation with p-AMPK substrate motif antibody and immunoblotting. This denaturing IP condition ensures that protein-protein interactions were disrupted and thus the ALIX brought down was a direct consequence of AMPK phosphorylation. See Methods for details. e, ALIX harbors five putative Rxx(pS/pT) motifs typical for AMPK substrates. f, IMR90 cells were cultured in 5 mM glucose media in the presence of 1 mM AICAR for indicated days, and were analyzed by immunoblotting. g, Metformin-treated IMR90 cells were analyzed for the expression levels of components of ESCRT-I, II, and III. h, IMR90 cells stably expressing Flag-ALIX were left untreated or treated with metformin or compound 991. The cells were subjected to denaturing IP using the condition of d, followed by immunoblotting. i, IMR90 cells stably expressing Flag-ALIX were treated with metformin and harvested at indicated days to be analyzed by immunoblotting. Results shown in this figure are representative of at least three independent experiments.
Extended Data Fig. 7 Effects of metformin on cytosolic DNA/RNA sensing pathways.
a, IMR90 cells were cultured in 5 mM media with or without 5 mM metformin for 2 days. The cells were then transfected with ISD and were harvested 24 hours later, followed by RT-qPCR analyses with indicated genes. Results shown are mean values with s.d. normalized to those of Lamin A/C. Results are from three biological replicates. b, IMR90 cells were induced to senescence by IR. On day 8, the cells were cultured in 5 mM glucose media with or without 5 mM metformin. The cells were then harvested on day 14 and analyzed for cytosolic mitochondrial DNA using mitochondrial D-loop primer. See Methods for details. Results shown are mean values with s.d. P values were calculated with one-way ANOVA coupled with Tukey’s post hoc test. Results are from three biological replicates. c-d, IMR90 cells as indicated were stained by antibodies recognizing dsRNA (J2) and TOMM20. Scale bar: 10 μm. dsRNA signals outside of TOMM20 meshwork indicate cytosolic dsRNA, and were presented as mean values with s.d. (d). Each spot represents an individual cell. P values in this figure were calculated with one-way ANOVA coupled with Tukey’s post hoc test.
Extended Data Fig. 8 ALIX undergoes autophagy-lysosome degradation upon glucose limitation or AMPK activation.
a, IMR90 cells were left untreated or cultured in 1 mM glucose media for 36 hours. The cells were then fixed, stained with antibodies as indicated, and imaged under a confocal microscopy. Scale bar: 5 μm. b, Related to Fig. 4d, additional images of Flag-ALIX and mutant in glucose-starved or compound 991 treatment conditions. Scale bars are labeled in images. c, IMR90 cells were glucose-starved for 3 days. MG132 was added for the last 2 days. The cell lysates were analyzed by immunoblotting. d, mCherry–GFP–ALIX was stably expressed in IMR90 cells. The cells were left untreated or glucose-starved for 1 day and were subjected to immunostaining and imaging under a confocal microscopy. Scale bar: 5 μm. Results shown in this figure are representative of at least three independent experiments.
Extended Data Fig. 9 Imaging analyses of mouse small intestinal cells.
a, The small intestine cells isolated from mice were stained with p-AMPK or ALIX antibody and imaged under a confocal microscopy. b, The cells were stained with an H3K27me3 antibody to analyze CCFs. c, The cells were stained with a p65 antibody. Scale bars are labelled in the images. Quantifications shown are % positive cells with each feature, and are presented as mean values with s.e.m. Each dot represents the mean value from one mouse. Results shown are biological replicates. P values were calculated with one-way ANOVA coupled with Tukey’s post hoc test.
Extended Data Fig. 10 Schematic illustration of nuclear egress and its regulation by glucose and metformin.
During senescence and aging, chromatin fragments can be produced in the nucleus and shuttled to the cytoplasm via nuclear egress, mediated by ESCRT-III (including ALIX) and Torsin proteins. CCF in the cytoplasm activates the cGAS-STING pathway, driving chronic inflammation. Low glucose level or metformin activates AMPK, which phosphorylates ALIX, promoting ALIX binding to the autophagy adaptor LC3 and ALIX autophagic degradation. The loss of ALIX impairs nuclear egress of CCF, thereby inhibiting cGAS-STING activation and inflammation.
Supplementary information
Source data
Source Data Fig. 1 (download XLSX )
Statistical source data.
Source Data Fig. 2 (download XLSX )
Statistical source data.
Source Data Fig. 3 (download XLSX )
Statistical source data.
Source Data Fig. 4 (download XLSX )
Statistical source data.
Source Data Extended Data Fig. 1 (download XLS )
Statistical source data.
Source Data Extended Data Fig. 2 (download XLSX )
Statistical source data.
Source Data Extended Data Fig. 3 (download XLSX )
Statistical source data.
Source Data Extended Data Fig. 4 (download XLSX )
Statistical source data.
Source Data Extended Data Fig. 5 (download XLSX )
Statistical source data.
Source Data Extended Data Fig. 6 (download XLSX )
Statistical source data.
Source Data Extended Data Fig. 7 (download XLSX )
Statistical source data.
Source Data Extended Data Fig. 9 (download XLS )
Statistical source data.
Source Data Figs. 1–4 and Extended Data Figs. 1, 2, 4–6 and 8 (download PDF )
Uncropped western blots.
Rights and permissions
Springer Nature or its licensor (e.g. a society or other partner) holds exclusive rights to this article under a publishing agreement with the author(s) or other rightsholder(s); author self-archiving of the accepted manuscript version of this article is solely governed by the terms of such publishing agreement and applicable law.
About this article
Cite this article
Kumazawa, T., Xu, Y., Wang, Y. et al. Metformin inhibits nuclear egress of chromatin fragments in senescence and aging. Nat Aging 6, 303–315 (2026). https://doi.org/10.1038/s43587-025-01048-0
Received:
Accepted:
Published:
Version of record:
Issue date:
DOI: https://doi.org/10.1038/s43587-025-01048-0


