Abstract
The triggering receptor expressed on myeloid cells 2 (TREM2) gene is an important risk factor in Alzheimer’s disease (AD). The signal peptide (SP) domain plays a critical role in protein secretion and localization, however, its pathogenic variant remains unclear. This study investigated the novel L15Q mutation in the TREM2 SP domain and its effect on AD pathology. A novel TREM2 L15Q variant was identified from a 71-year-old patient, predicting the structural and functional disruptions. To examine its impact, HEK 293 cells were transfected. Glycosylation analysis revealed a distinct doublet of immature TREM2 bands in L15Q cells, both of which shifted upon PNGase F and Endo H treatments, confirming abnormal N-linked glycosylation. Quantifications revealed a reduced mature-to-immature ratio and decreased soluble TREM2, suggesting impaired protein maturation. These findings demonstrated that the L15Q mutation in the SP domain disrupted the TREM2 glycosylation, maturation and secretion. Additionally, TREM2 L15Q cells reduced Aβ phagocytosis, elevated extracellular Aβ42 and the Aβ42/40 ratio, and decreased endogenous Aβ42 levels, indicating the impaired Aβ clearance. Collectively, our results supported the crucial role of the TREM2 SP domain in maintaining protein functions and Aβ homeostasis, offering new insight into TREM2-linked AD pathogenesis.
Similar content being viewed by others

Introduction
As the prevalence of neurodegenerative diseases, particularly Alzheimer’s disease (AD), continues to increase with age, early detection is paramount and urgently needed. Pathogenic gene screening is a promising method for early identification. Among the well-known AD risk genes, such as amyloid precursor protein (APP), presenilin 1 (PSEN1), presenilin 2 (PSEN2), and apolipoprotein E ε4 allele (APOE4), recent advancements in genetic screening have highlighted the significance of triggering receptors expressed on myeloid cells 2 (TREM2) in dementia1,2,3,4,5.
TREM2 is expressed in the microglial cells of the brain. It plays vital roles in maintaining cellular survival, promoting cell proliferation, and facilitating phagocytosis. In particular, TREM2 played a crucial role in enhancing microglial function, which slowed the progression of AD6 and therefore contributed to the overall homeostasis of the central nervous system7. It could also induce an innate immune response, leading to additional activities, such as phagocytosis through interactions with Amyloid-beta (Aβ)8. Furthermore, the TREM2 ectodomain was involved in various processes, including ligand recognition, signaling and interactions with other molecules. The ectodomain was subjected to the post-translational modifications, such as glycosylation and sulfidation, which further influenced its structure and function9,10. The first reported TREM2 mutation in a patient with late-onset AD, TREM2 R47H, revealed a fourfold increase of AD risk11,12. After that, 48 mutations were subsequently discovered in AD patients, most of which were located in the immunoglobulin-like extracellular domain (Ig-like V-type domain) sequences of the ectodomain (ALZFORUM). These mutations impacted the production and functionality of TREM2, potentially affecting AD progression12,13,14. Other evidence was revealed that alteration TREM2 function due to these mutations, but the majority of mutations were limited to those in the Ig-like V-type domain. The Ig-like V-type domain contained most of exon 2, where a representative TREM2 mutation R47H was located. Interestingly, some TREM2 mutations, such as E14X, S16F, and G17E, occurred in the signal peptide (SP) domain, and S16F and G17E mutations were identified in patients with AD15,16. SP played a critical role in guiding proteins through the secretion pathway and directing them to their target locations17. In such diseases, AD, other neurodegenerative, metabolic, and cardiovascular diseases, SP mutations affected the targeting, translocation, processing, and stability of their mRNA and proteins18. Moreover, the SP domain was positioned near the Ig-like V-type domain, which could influence the ectodomain function. Thus, the SP domain appeared to have a significant effect on TREM2 function.
In this study, a novel TREM2 L15Q mutation in the SP domain was identified in a 71-year-old patient with AD. Mutations in the SP of many AD genes were rarely reported in comparison with mutations in exons or introns. Thus, the novel TREM2 L15Q mutation in the SP domain was investigated for Aβ-related pathogenicity using genetically modified cell lines.
Results
Genetic and structural analysis of TREM2 L15Q
TREM2 L15Q was identified through whole exome sequencing (WES) and verified using Sanger sequencing (Fig. 1A). As the nucleotide changed from T to A, the amino acid changed from leucine (Leu, L) to glutamine (Gln, Q) (Fig. 1B), which reduced the hydrophobicity and slight difference in bulkiness with increased polarity (Fig. 1C). The mutation was also predicted to not be cleaved by pepsin and proteinase K (data not shown). The three-dimensional (3D) modeling prediction indicated that the mutation formed covalent bonds with 12Val and 11Phe, similar to the wild type (WT) (Fig. 1D).
A, B Sanger sequencing result confirming the c.44 T > A (p. Leu15Gln) mutation in a patient DNA sample. C Changes in amino acid bulkiness, polarity, and hydrophobicity resulting from the TREM2 mutation as predicted by ExPASy. D Predicted 3D protein structures of WT and L15Q mutation using BIOVIA Discovery Studio Visualizer.
Change in TREM2 expression in TREM2 L15Q-transfected cells
To confirm the pathogenicity of the mutation, L15Q-mutated and WT TREM2-expressing plasmids were transfected into cells for overexpression. Both the TREM2 gene and protein levels increased in TREM2-transfected cells compared with MOCK (non-transfected) cells, confirming successful transfection (Fig. 2A; MOCK, 0.010 ± 0.010; TREM2 WT, 1.000 ± 0.000; TREM2 L15Q, 1.302 ± 0.463; Fig. 2B; MOCK, 0.052 ± 0.028; TREM2 WT, 1.000 ± 0.088; TREM2 L15Q, 0.722 ± 0.108). The PCR primers were designed to anneal to sequences common to both WT and L15Q alleles (Supplementary Table 1). Although the gene expression of TREM2 L15Q was higher than TREM2 WT, TREM2 protein levels were reduced in the soluble membrane fraction.
A RT-qPCR analysis of TREM2 gene expression in MOCK and transfected cells (n = 3). Increased expression confirms successful transfection. B TREM2 protein levels in the solubilized membrane, measured by commercial ELISA (n = 6) with increasing protein levels. C Representative Western blot of TREM2 protein forms in cell lysate, including glycosylation-dependent changes. Treatment with Endo H and PNGase F was used to distinguish mature and immature forms of TREM2 based on glycosylation status. The immature, ER-retained form (lower band) is sensitive to Endo H, while the mature, fully glycosylated form (upper band) is resistant to Endo H but sensitive to pNGase F. Band intensities were quantified using ImageJ and normalized to ACTB. Mature-to-immature ratio was calculated under the control group relative to WT and was decreased in L15Q cells (n = 6). D Representative Western blot of soluble TREM2 (sTREM2) in the cell medium through immunoprecipitation. sTREM2 band intensities were quantified using ImageJ and normalized to WT (n = 4). All Data represent mean ± SD. P-value was obtained using one-way ANOVA followed by Bonferroni’s post hoc test with significance set at P < 0.05. * P < 0.05; ** P < 0.01; **** P < 0.0001.
Western blot analysis of TREM2 revealed a distinct banding pattern in L15Q mutant cells in comparison to WT. While WT showed the expected mature (~35–45 kDa) and immature (~28 kDa) bands, the TREM2 L15Q revealed double bands in the immature region, suggesting the presence of two differentially glycosylated species (Fig. 2C). To verify whether these bands represented the glycosylated forms of TREM2, cell lysates were treated with PNGase F and Endo H. Both immature bands shifted to ~20–25 kDa after treatment with either enzyme, indicating that they were N-linked glycoforms and were sensitive to both PNGase F and Endo H digestion (Fig. 2C). Quantifications of the mature-to-immature ratio were calculated using only the untreated control group and demonstrated a significant reduction in TREM2 L15Q compared to WT (Fig. 2C; MOCK, 0.000 ± 0.000; TREM2 WT, 1.000 ± 0.183; TREM2 L15Q, 0.790 ± 0.085). Furthermore, the amount of secreted sTREM2 was significantly decreased in L15Q mutant cells (Fig. 2D; MOCK, 0.000 ± 0.000; TREM2 WT, 1.000 ± 0.127; TREM2 L15Q, 0.361 ± 0.150).
To further assess the subcellular localization of TREM2, cytosolic and solubilized membrane fractions were analyzed by Western blot. TREM2 was strongly detected in the solubilized membrane fraction in both WT and L15Q mutant cells (Supplement Fig. 3A). The double band of TREM2 L15Q cells was also observed in the soluble membrane protein fraction. Total TREM2 protein levels were significantly higher in the solubilized membrane fraction than the cytosolic fraction. Furthermore, consistent with Fig. 2C, the mature-to-immature ratio was significantly decreased in the TREM2 L15Q cells within solubilized membrane fraction. Quantification confirmed that TREM2 in the solubilized membrane fraction was significantly reduced in L15Q cells than WT (Supplement Fig. 3B–F).
Impairment of Aβ phagocytosis in TREM2 L15Q cells
Based on previous studies, phagocytosis was expected to change due to alterations in TREM2 expression caused by the mutation, as confirmed through imaging and live video analysis10,19. Aβ phagocytosis was revealed by the red fluorescence using pHrodo. The red fluorescence was significantly decreased in TREM2 L15Q cells than in TREM2 WT cells (Fig. 3; MOCK, 0.107 ± 0.071; TREM2 WT, 1.000 ± 0.398; TREM2 L15Q, 0.126 ± 0.059). Furthermore, live-cell imaging showed a reduced phagocytosis of TREM2 L15Q cells in comparison with that of WT cells, as indicated by a lower fluorescence signal, similar to that observed in the MOCK control (Supplementary Fig. 4; Supplementary Video S1).
Aβ phagocytosis was confirmed after treating pHrodo labeled with Aβ42 in the transfected cells. A Representative confocal microscopy images showing Aβ uptake in cells. Magnification = 60×; Scale bar = 20 μm. B Quantification of phagocytosed Aβ fluorescence. Fluorescence signals were measured using Image J, and values were normalized to WT (n = 4). All Data represent mean ± SD. P-value was obtained using one-way ANOVA followed by Bonferroni’s post hoc test with significance set at P < 0.05. **P < 0.01.
Difference in Aβ species in TREM2 L15Q
Both extracellularly and endogenously Aβ species were measured to demonstrate the impaired Aβ phagocytosis caused by the mutation. Compared with those in the MOCK, extracellular Aβ42 was significantly upregulated (Fig. 4A; MOCK, 0.887 ± 0.112; TREM2 WT, 1.000 ± 0.137; TREM2 L15Q, 1.210 ± 0.174) and extracellular Aβ40 had a similar level in TREM2 L15Q cells (Fig. 4B; MOCK, 0.933 ± 0.069; TREM2 WT, 1.000 ± 0.040; TREM2 L15Q, 0.966 ± 0.045). Additionally, Aβ42 levels were higher in TREM2 L15Q cells in comparison to WT. The increase in extracellular Aβ42 levels resulted in a significantly increased Aβ42/Aβ40 ratio (Fig. 4C; MOCK, 0.956 ± 0.138; TREM2 WT, 1.003 ± 0.158; TREM2 L15Q, 1.225 ± 0.221). Endogenous Aβ42 levels were lower in TREM2 L15Q cells than in WT cells (Fig. 4D; MOCK, 0.671 ± 0.144; TREM2 WT, 1.000 ± 0.013; TREM2 L15Q, 0.723 ± 0.059). The observed changes in Aβ levels indicated that the mutation significantly influenced the Aβ metabolism.
Aβ species was measured using ELISA kit. A–C Relative amounts of extracellular Aβ42, Aβ40, and Aβ42/40 ratio (n = 6). D Relative amount of endogenous Aβ42 (n = 6). All data were normalized to that in WT. Data represent mean ± SD. P-value was obtained using one-way ANOVA followed by Bonferroni’s post hoc test with significance set at P < 0.05. *P < 0.05; **P < 0.01; ***P < 0.001; ****P < 0.0001.
Discussions
Human genetic studies revealed rare variants using advanced sequencing technologies, contributing to our understanding of neurodegenerative diseases20. In AD research, WES and genome-wide association studies identified rare variants of the TREM2 gene, mainly in the Ig-like V-type domain. However, the adjacent SP domain in the ectodomain of TREM2, which remained to be explored, may provide pivotal insights into TREM2-related pathogenic mechanisms, particularly considering the mutations identified in patients with AD. Alterations in the TREM2 ectodomain could significantly impact its binding capabilities and configuration on the cell membrane, influencing Aβ interactions21. Furthermore, SP was involved in mediating target proteins to the membrane of the ER22,23. Thus, further investigation of the SP domain was crucial to elucidate the full spectrum of TREM2-related pathogenic mechanisms. This study identified a novel TREM2 L15Q mutation located in the SP domain in a patient with AD. The results of our mutated cell experiments showed that TREM2 L15Q affected Aβ pathology, increasing the Aβ ratio and decreasing Aβ phagocytosis. These findings highlighted the potential significance of the SP domain in TREM2-related pathogenicity.
In our clinical observation, a 75-year-old man with a history of cognitive decline visited the hospital, initially presenting with memory difficulties since the age of 71. Subsequent cognitive deterioration with worsening of the patient’s condition over the years led to an AD diagnosis at the beginning of his visit. Despite initial treatment with donepezil, his cognitive abilities continued to decline with deteriorating memory and disorientation. Neuroimaging revealed progressive atrophy and hypometabolism in the temporal and frontotemporal lobes, highlighting the severity of AD progression. Family history was incomplete because no known neurodegenerative condition was reported among the siblings, and genetic testing was not performed.
Given these clinical findings, WES identified a TREM2 L15Q mutation, while no pathogenic variant was found in APP, PSEN1, PSEN2, APOE4. After genetic finding, TREM2 L15Q was explored to understand its contributions in deteriorating his conditions. Both the protein and DNA expressions of TREM2 in patient samples were measured to assess the potential changes associated with the mutation (Supplementary Fig. 5A and B). Previous studies reported that sTREM2 levels in plasma were similar to or slightly higher in comparison to those in healthy controls10,24,25. In our study, sTREM2 levels in plasma trended to be higher than those in healthy controls and other AD patients without the TREM2 mutation (Supplementary Fig. 5A). Our results appeared to indicate the increases in sTREM2 than in previous reports, which was likely due to the small number of samples, and the differences in plasma sTREM2 suggested abnormal processing and secretion of TREM2 into the bloodstream due to the mutation.
Genetic prediction analysis revealed that TREM2 L15Q was located in the SP domain, specifically in the C-region. The C-region was responsible for cleavage, and mutations in this region could affect cleavage efficiency. Because cleavage efficiency determines the protein secretion, mutations in the C-region could affect the secretion process. They could potentially alter SP processing after it translocated a protein to the periplasmic space or outside the cell17. Additionally, the TREM2 L15Q mutation reduced hydrophobicity near the amino acid residues in the H-region of SP (Fig. 1C), which may result in a slower or even complete inhibition of protein processing and translocation. Previous studies have shown that mutations in the H-region of eukaryotic SPs and pro-enterotoxin B SP from Staphylococcus aureus reduce the hydrophobicity and mature protein secretion26,27. Lower hydrophobicity of SP caused the decreased interactions with the signal recognition particle, a cytosolic factor that recognized secretory or membrane proteins during targeting to the ER, which may further impair protein translocation28,29. Therefore, TREM2 L15Q in the SP domain could likely be pathogenic, and further investigations were sought to confirm its association with AD pathology. Moreover, because the patient developed AD despite having APOE2 (Homozygosity, Supplementary Fig. 5C), the pathogenicity of the mutation needed to be confirmed.
Further experiments were conducted using cell models to elucidate the molecular mechanisms underlying these observations. Mutant cell lines were generated to confirm the pathogenicity of the TREM2 L15Q mutation. Successful transfection was confirmed by RT-qPCR, which revealed the increased TREM2 gene levels in comparison with those in the MOCK (non-transfected). Western blot analysis revealed differential trends in TREM2 protein forms. As expected for a decreased mature form of a protein due to lower SP hydrophobicity, the amounts of mature form decreased in TREM2 L15Q mutant cells (Fig. 2C; Supplementary Fig. 2). Interestingly, the L15Q mutant revealed distinct double bands in the immature region. These bands shifted upon PNGase F and Endo H treatments, confirming that both represented the retained N-linked glycosylated forms in ER. Quantification of the mature-to-immature ratio showed a significant reduction in maturation efficiency of the L15Q mutant in comparison to WT. These glycosylation-based differences indicated that the L15Q mutation disrupted early protein processing, likely due to altered signal peptide-mediated ER targeting or impaired cleavage. Subcellular fractions further revealed that TREM2 was predominantly observed in the solubilized membrane fraction relative to the cytosolic fraction (Supplementary Fig. 3A). It indicated that the protein primarily associated with membrane compartments. Total TREM2 protein in the solubilized membrane faction was significantly reduced in L15Q mutant cells than WT (Supplementary Fig. 3B), consistent with the decreased solubilized membrane-associated TREM2 levels in Fig. 2B. Moreover, the mature-to-immature ratio was significantly reduced in the L15Q mutant (Fig. 2C and Supplementary Fig. 3C), suggesting that impaired signal peptide efficiency interferes with ER targeting, transport, signaling and maturation. The double band was also observed in the solubilized membrane fraction, where TREM2 was predominantly localized (Supplementary Fig. 3A). This observation supported that the double band corresponded to differentially glycosylated forms rather than distinct isoforms. Combined with the glycosylation and subcellular fraction results, the immature bands likely represented the N-linked glycosylated forms of TREM2 that were partially retained in the ER due to the impaired signal peptide mediated targeting or cleavage. The predominance of these forms in the solubilized membrane fraction suggested that incomplete glycosylation or delayed processing contributed to the reduced maturation efficiency in the L15Q mutant. This defect in processing and maturation was also associated with a significant reduction in sTREM2 levels in the conditioned media of TREM2 L15Q mutant cells (Fig. 2D), implying that the mutation impaired normal TREM2 secretion. C-terminal fragment (CTF) levels in L15Q mutant cells were lower than in WT, non-statistically significant in lysates (Supplementary Fig. 2B), but significant in the solubilized membrane fraction (Supplementary Fig. 3F). These results suggested that impaired TREM2 maturation could interfere with proteolytic cleavage and shedding. Collectively, these findings functionally validated the genetic predictions and focused the altered effects of TREM2 L15Q in glycosylation, maturation, and secretion. These alterations suggested a loss of TREM2 function, disrupting normal trafficking and processing pathways, which may impair its functional role in neuroinflammation and other cellular processes. Our results were consistent with those of a previous study on other TREM2 mutations, such as T66M, Y38C, R47H, C36A, and C60A, which were also reported to be associated with higher immature TREM2 levels and reduced mature protein levels10.
To investigate the relationship between Aβ pathology and loss-of-function of TREM2, the changes in phagocytosis were examined. TREM2 was important in microglial phagocytosis, particularly in the phagocytosis of Aβ19,30,31. Previous studies revealed that the loss of TREM2 significantly reduced the phagocytic capacity10,32. For instance, the TREM2 T66M mutation was found to impair its maturation and cell surface transport, causing to a decreased ability of microglia to phagocytose Aβ10. Based on these findings, our hypothesis of the TREM2 L15Q mutation in causing a similar loss of function was drawn, resulting in abnormalities in phagocytosis. Hence, phagocytosis was assessed using Aβ-labeled pHrodo, which exhibited red fluorescence upon phagocytosis due to pH changes during lysosomal entry. As expected, the reduced red fluorescence signals were observed for TREM2 L15Q than TREM2 WT. These findings were consistent with prior studies demonstrating the diminished Aβ phagocytosis in TREM2 knockout and mutated cells10,33. The reduced phagocytosis in TREM2 L15Q cells suggested the impaired clearance of Aβ, which may lead to its accumulation.
Levels of extracellular and endogenous Aβ species supported our hypothesis that the impaired phagocytosis were responsible the observed changes in Aβ metabolism. Extracellular Aβ42 levels and the Aβ42/40 ratio significantly increased in TREM2 L15Q than TREM2 WT, while Aβ40 levels did not significantly differ between TREM2 WT and L15Q (Fig. 4). Higher levels of Aβ42 in comparison to Aβ40 across TREM2 cell lines were observed with clear pronounced differences. This suggested that TREM2 might preferentially interact with Aβ42, enhancing its detection with Aβ42 than Aβ4034. Endogenous Aβ42 levels were markedly decreased in TREM2 L15Q cells, which was in contrast with the increased secretion of extracellular Aβ42. These conflicting results implied its potential dysregulation of Aβ metabolism triggered by the TREM2 mutation. Specifically, the increased extracellular Aβ42 secretion might be linked to the reduced endogenous Aβ42 phagocytosis in TREM2 L15Q cells. Collectively, these findings suggested that the TREM2 L15Q mutation resulted in a loss of function that disrupted Aβ clearance by impairing its internal processing within the cell and promoting its extracellular accumulation. Similar reductions in endogenous Aβ42 levels were observed in TREM2 R47H and R62H mutations in transfected cells21.
Although this study provided insights into the novel TREM2 variant, it had several limitations. The patient’s family history could not be fully elucidated, indicating the possibility of an unresolved familial disease. Immunohistochemistry and measurements of Aβ or tau could not be conducted due to the unavailability of brain or cerebrospinal fluid samples from the patient. Nevertheless, generation of mutant cells allowed us to establish an association between the identified mutation and Aβ pathology. It should be noted that this study was conducted in HEK 293 cells, which expressed low levels of endogenous APP and therefore did not fully reflect neurodegenerative disease. However, to ensure the reliability of our results, we always included HEK 293 (MOCK) and blanks in all experiments. Although Aβ levels were lower than those observed in neuronal or APP overexpressing models, the current study demonstrated the mutation dependent effects on Aβ. Notably, this study was the first to explore of the pathogenic implications of the SP L15Q mutation. Although our study focused on a specific mutation, future investigations will be performed to improve our understanding of the SP domain.
In conclusion, our study presented the effect of the novel TREM2 L15Q mutation on Aβ pathology. This mutation caused a significant loss of its function from the mutated cells exhibiting altered Aβ dynamics. Specifically, the mutation impaired the Aβ phagocytosis, resulting in increased extracellular Aβ42 levels and decreased endogenous Aβ42 levels. This disruption in phagocytosis impeded the normal clearance of Aβ, contributing to its accumulation. Importantly, mutations in the TREM2 SP domain were less explored than those in the commonly studied Ig-like V-type domain. Our findings presented the pathogenic relevance of the SP domain, revealing its potential role in influencing Aβ pathology and advancing our understanding of disease mechanisms in patients with AD.
Methods
Patient description
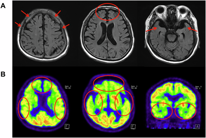
A 75-year-old right-handed man with 10 years of education visited our hospital with cognitive impairment. He complained of progressive memory difficulties for 4 years from the age of 71 years. The patient’s initial symptom was his inability to recognize his grandchildren, sometimes without problems in daily life. He scored 27 on the Mini-Mental State Examination (MMSE), and routine laboratory test results were normal. The patient was diagnosed with the mild cognitive impairment without further evaluation. Two years later, his memory had noticeably declined. His MMSE score was decreased to 24. The first brain magnetic resonance imaging (MRI) scan showed the atrophy in the temporal lobe, and mild hippocampal atrophy was observed. 18F-fluoro-deoxyglucose positron emission tomography (18F-PET) revealed bilateral temporal lobe hypometabolism. Neuropsychological testing revealed memory, language, and executive dysfunctions. The patient was diagnosed with early AD dementia, and acetylcholinesterase inhibitor donepezil was initiated. Five years later, he presented with a deterioration of cognitive deficits. He had difficulty recognizing acquaintances and was fired from his security job. He wandered home and was unable to find familiar routes. He did not take care of personal hygiene and developed apathy and abulic symptoms. He scored 16 on MMSE, indicating a marked decline. A follow-up brain MRI revealed the progression diffuse brain atrophy (Fig. 5A, Supplementary Fig. 1). 18F-PET also revealed the aggravated hypometabolism in both frontotemporal lobes (Fig. 5B). The patient’s family history could not be fully defined; however, the possibility of familial disease could not be ruled out. Both parents of the patient died during the Korean War in the 1950s. Information on grandparents or patient’s siblings were not available. The patient had five siblings; three older siblings died of old age, and two younger siblings were in their 70 s. None of the siblings had any neurodegenerative symptoms, and all family members refused genetic testing.
A Diffusion brain atrophy on brain MRI scan. B Hypometabolism of both frontotemporal lobes on 18F-fluoro-deoxyglucose positron emission tomography scan. The red marks indicated the relevant areas.
This study was approved by the Institutional Review Board of the Veterans Healthcare Medical Center (2021-06-015). Written informed consent was obtained from the patient for publication.
Genetic analysis
Blood was drawn from the patient with EDTA anticoagulant, and DNA was isolated using a kit (51194; Qiagen, Germany) according to the manufacturer’s protocol. Whole-exome sequencing (WES) was performed by Macrogen (Seoul, Republic of Korea). Sanger sequencing was performed by Bioneer (Daejeon, Republic of Korea) to confirm the mutation. Primers were synthesized by Bioneer. The primer sequences were shown in Supplementary Table 1. In silico analyses were conducted to assess the pathogenicity of the TREM2 protein mutation. Changes in bulkiness, polarity, and hydrophobicity were examined using ExPASy (https://www.expasy.org/). The 3D structures of both the WT and mutated TREM2 proteins were predicted using BIOVIA Discovery Studio Visualizer (BIOVIA, San Diego, CA, USA).
Generation of TREM2 L15Q cell lines
Human TREM2 wild-type (WT) and L15Q cDNAs were synthesized and cloned into pcDNA™3.1 (+) Mammalian Expression Vector (V79020; Invitrogen™, MA, USA) by Bionics (Seoul, Republic of Korea). Plasmids were transformed in Dyne DH5a Chemically Competent E. Coli (DYO1350; DYNEBIO, Republic of Korea). Briefly, the plasmid was added to Escherichia. coli and incubated on ice for 30 min. Then, the cells were subjected to heat-shock transformation at 42 °C for 30 s and placed on ice for 2 min. After adding the media (400 μL), the cells were incubated at 37 °C for 1 h with gentle shaking. The plasmid (200 μL) was added to ampicillin solid media and incubated overnight at 37 °C to obtain colonies. To increase the number of colonies, the cells were transferred to Luria-Bertani broth, and DNA was extracted using a Plasmid Mini Extraction kit (K-3112, Bioneer).
Human Embryonic Kidney 293 cells (HEK 293; CRL-1573, ATCC, VA, USA) were transfected using Neon® Transfection System (MPK10096; Invitrogen™). HEK 293 cells were utilized for their high transfection efficiency and easy of handling and have been used in previous studies investigating TREM2 function15,35,36.
Cells were grown in 10% fetal bovine serum in Dulbecco’s modified eagle medium (DMEM) with 1% penicillin-streptomycin and maintained at 37 °C and 5% CO2 (16000044, 10566016, and 15140122, respectively; Gibco™, MA, USA). After reaching 90% confluency, the cells were washed with 2 mL of phosphate-buffered saline (PBS) and dissociated using Trypsin-EDTA (0.25%) (25200072; Gibco™). The cells were then centrifuged at 1200 rpm for 3 min and the supernatant was discarded. The cell pellet was resuspended in media and 1 × 106 cells were transferred to a new 15 mL conical tube. The cells were centrifuged at 300 × g for 5 min and washed with Dulbecco’s PBS (DPBS) (LB 001-02; WELGENE, Republic of Korea), resuspended in DPBS, and treated with 5 μg DNA. The cells were then electroporated at 1100 V for 20 ms with two pulses and grown in a six-well plate. They were incubated for 48 h without antibiotics, and the media was replaced with that containing G418 sulfate (10131035; Gibco™) for selection. The established stable cell lines were maintained in cultural medium containing 100 μg/mL G418 sulfate until the experiments were performed.
Confirmation of mutated (TREM2 L15Q) cell lines
After selecting transfected cells, the success of transfection was verified via real-time polymerase chain reaction (RT-PCR) and measurement of TREM2 protein levels. For RT-PCR, HEK 293 (MOCK) cells transfected with TREM2 WT, or TREM2 L15Q were seeded in a six-well plate at a density of 1 × 106 cells/well after 24 h. RNA was extracted using AccuPrep® Universal RNA Extraction Kit (K-3141; Bioneer, Republic of Korea) following the manufacturer’s protocol. cDNA was synthesized using AccuPower® RocketScript™ Cycle RT PreMix (dT20) (K-2201; Bioneer). RT-PCR was performed via the SYBR green system using AccuPower® 2X GreenStar™ qPCR Master Mix (K-6251; Bioneer). RT-qPCR primers synthesized by Bioneer. The primer sequences are shown in Supplementary Table 1.
TREM2 protein levels were measured in soluble membrane protein fractions. Proteins were extracted using Mem-PER™ Plus Membrane Protein Extraction Kit (89842; Thermo Fisher Scientific™, Waltham, MA, USA), and the concentration was determined using Pierce BCA protein assay kit (23225; Thermo Fisher Scientific™). Measurement was performed using the Human TREM2 ELISA Kit PicoKine (EK1678; Boster Bio, CA, USA) following the manufacturer’s instructions.
Quantification of TREM2 and sTREM2 proteins
Western blotting was performed to quantify TREM2 and sTREM2 proteins. TREM2 proteins were quantified in cell lysates and medium supernatant. MOCK, TREM2 WT, and L15Q cell lysates were extracted using M-PER™ Mammalian Protein Extraction Reagent (78503; Thermo Scientific™). The concentrations of the lysates were determined using Pierce BCA protein assay kit (23225; Thermo Scientific™).
For glycosylation analysis, cell lysates were treated with either PNGase F (P0704S; New England Biolabs, MA, USA) or Endo H (P0702S; New England Biolabs), following the manufacturer’s instructions. Endo H specifically cleaves high-mannose N-linked glycans, which were present on core-glycosylated proteins retained in the endoplasmic reticulum (ER), whereas PNGase F cleaved almost all N-linked glycans, including those on filly processed proteins that processed through the Golgi apparatus. Briefly, 10 μg of cell lysates were mixed with 1 μL of Glycoprotein Denaturing Buffer (10×) and distilled water to a final volume of 10 µL. The mixture was then heated at 100 °C for 10 min to denature the glycoproteins, placed on ice for 3 min, and briefly centrifuged. For PNGase F digestion, the denatured sample was adjusted to a final volume of 20 μL by adding 2 μL of GlycoBuffer 2 (10×), 2 μL of 10% NP-40, 6 μL of distilled water, and 1 μL of PNGase F. For Endo H digestion, 2 μL of GlycoBuffer 3 (10×), 1 μL of Endo H, and an appropriate volume of distilled water were added to reach a total volume of 20 μL. The reaction mixtures were incubated at 37 °C for 1 h and then mixed with 2× Laemmli Sample Buffer (1610737; Bio-Rad, Hercules, CA, USA) for loading Western blot.
For TREM2 localization analysis, cytosolic and solubilized membrane proteins were extracted using Mem-PER™ Plus Membrane Protein Extraction Kit (89842; Thermo Fisher Scientific™) following manufacturer’s protocol. Briefly, 5 × 106 cells were collected and washed twice using washing cell washing solution. After discarding the washing solution, 750 μL of permeabilization buffer containing protease inhibitor (87785; Thermo Fisher Scientific™) were added, and the samples were incubated for 10 min at 4 °C with gentle mixing. The samples were then centrifuged 16,000 × g for 15 min at 4 °C, and the supernatant was collected as the cytosolic protein. Then, 500 μL of solubilization buffer containing with protease inhibitor were added to the remaining pallet and incubated for 30 min at 4 °C. The samples were centrifuged 16,000 × g for 15 min at 4 °C, and the supernatant was collected as solubilized membrane protein. Protein concentrations were determined using the Pierce BCA protein assay kit (23225; Thermo Scientific™). For western blotting, 5 μg of protein were mixed with 4 x Laemmli Sample Buffer (1610747; Bio-Rad).
For sTREM2, immunoprecipitation was performed to extract sTREM2 from the cell media. sTREM2 antibody (sc-373828-HRP; Santa Cruz Biotechnology, TX, USA) conjugated beads using Dynabeads™ M-270 Epoxy (14301; Invitrogen™) was used following the manufacturer’s protocol. The cell lines were seeded at a density of 0.5 × 106 cells/well and incubated for 48 h. Then, the media was changed to conditioned media and incubated for 24 h. The media was collected with Halt™ Protease Inhibitor (87785; Thermo Fisher Scientific™) and centrifuged at 2500 × g for 10 min at 4 °C. The supernatant was carefully collected and incubated with bead-conjugated sTREM2 antibody overnight at 4 °C. After incubation, the samples were washed with twice PBS and mixed with 4 x Laemmli Sample Buffer.
Samples for Western blotting were boiled at 98 °C for 5 min. The samples (20 μL) were then loaded onto a 12% SDS-PAGE gel. Electrophoresis was performed at 50 V for 5 min followed by 100 V for 1 h. The proteins were transferred onto the polyvinylidene difluoride membrane (KDM50; LABISKOMA, Republic of Korea) at 100 V for 1 h. The membrane was blocked with 5% nonfat milk (BR1706404; Bio-Rad) in Tris-buffered saline with Tween 20 (TBST) for 1 h with shaking and incubated overnight at 4 °C with primary antibodies diluted 1000 times (TREM2 and beta-actin) or 200 times (sTREM2) in blocking buffer (TREM2: 91068; Cell Signaling Technology, MA, USA; Beta-actin: bs-0061; Bioss, MA, USA; sTREM2: sc-373828-HRP; Santa Cruz Biotechnology). The membrane was washed thrice in TBST and incubated for 1 h with a secondary antibody (ADI-SAB-300-J; Enzo Life Sciences, NY, USA), diluted 5000 times in the blocking buffer. After washing thrice in TBST, the membrane was treated with SuperKine™ West Femto Maximum Sensitivity Substrate (BMU102-EN; Abbkine, GA, USA) and SuperSignal™ West Pico PLUS Chemiluminescent Substrate (34578; Thermo Fisher Scientific™). The images were obtained using a Davinch-Chemi fluoro imager (Davinch-K, Republic of Korea). For sTREM2, Ponceau S staining was performed according to the manufacturer’s protocol (A40000279; Thermo Fisher Scientific™) as experiment control (data not shown).
Aβ phagocytosis
Aβ phagocytosis was determined using Aβ-labeled pHrodo (P36600; Invitrogen™). pHrodo was labeled with Aβ according to the manufacturer’s instructions. To obtain confocal microscopy images, 50,000 cells were seeded to a slide in a six-well plate and incubated for 24 h. The medium was then discarded, and Aβ-labeled pHrodo was added to each well. After 2 h, the cells were fixed with 4% (v/v) paraformaldehyde (J19943-K2; Thermo Fisher Scientific™) and incubated for 15 min. The plates were washed twice with cold PBS and incubated with 0.1 μg/mL DAPI (D9542; Sigma-Aldrich) for 15 min. The slides were mounted with mount media (00-4958-02; Invitrogen™) after washing thrice with PBS. Images were obtained using through FLUOVIEW FV3000 (Olympus, Japan). In the live cell video, cells were seeded in a 24-well plate at a density of 0.1 × 106 cells/well and stabilized for 24 h. The media was then discarded, and Aβ-labeled pHrodo in DMEM without phenol red (31053028; Gibco™) was added. The cells were monitored using Celloger Mini Plus (Curiosis, Republic of Korea), and images were acquired every 5 min for 4 h.
Measurement of Aβ species
The correlations of extracellular Aβ40 and Aβ42 and endogenous Aβ42 with AD pathogenicity were measured. The MOCK, TREM2 WT, and L15Q cells were seeded in a poly-D-lysine coated six-well plate (30006; SPL Life Sciences) at a density of 0.5 × 106 cells/well. After 48 h, the old medium was discarded, and the cells were washed carefully with PBS. HEK 293 cells could express low levels of endogenous APP. Overexpression of TREM2 WT and L15Q cells were used to assess the effect on endogenous APP processing and Aβ secretion. To secrete the protein, conditioned media was added and incubated for 48 h. Cell media was carefully collected in 1.5 mL microtubes with Halt™ Protease Inhibitor (87785; Thermo Fisher Scientific™) and centrifuged at 2500 × g for 10 min at 4 °C. The supernatant was carefully collected and transferred to new 1.5 mL microtubes. Protein concentrations were determined using a Pierce BCA protein assay kit (23225; Thermo Fisher Scientific™). Extracellular of Aβ40 and Aβ42 levels were measured using Human β Amyloid (1-40) ELISA Kit Wako II (298-64601; FUJIFILM Wako Pure Chemical Corporation, Japan) and Human β Amyloid (1-42) ELISA Kit Wako, High Sensitive (296-64401; FUJIFILM Wako Pure Chemical Corporation), respectively, according to the manufacturer’s protocols.
Intracellular Aβ42 levels were measured using a previously reported method21 with modifications. Cells (0.5 × 106) were seeded into a poly-D-lysine coated six-well plate (30006; SPL Life Sciences) and incubated for 48 h. Then, they were carefully washed with PBS and treated with 500 nM Aβ42 monomer synthesized by GenicBio (Shanghai, China). After incubation for 3 h, the cells were washed twice with PBS and detached. The cells were collected and centrifuged 500 × g for 3 min. The supernatant was removed, and the cells were washed thrice with PBS. They were then lysed with 100 μL of 2% sodium dodecyl sulfate containing a protease inhibitor (1862209; Thermo Fisher Scientific™) for 5 min. PBS (200 μL) was added, followed by centrifugation at 18,000 × g for 15 min at 4 °C after sonication. The samples were diluted six times using EC buffer (PBS containing 0.1 mM EDTA, 1% BSA, 0.05% CHAPS, pH 7.4, and 0.2% sodium azide). Protein concentration was determined using Pierce BCA protein assay kit (23225; Thermo Fisher Scientific™). Aβ42 level was measured using Human β Amyloid (1-42) ELISA Kit Wako, High Sensitive (296-64401; FUJIFILM Wako Pure Chemical Corporation).
Statistical analysis
Statistical analyses and graphs were performed and generated, respectively, using GraphPad Prism software version 8.0.2 (GraphPad Software Inc., San Diego, CA, USA). All experiments were independently replicated at least three times, and it indicated sample size (n) in Figure and its legend. The significance was calculated by one-way ANOVA, Bonferroni’s multiple comparisons and the p-value with significance set at p < 0.05. The data were normalized to those of WT. ImageJ software was used to calculate band intensity in Western blots and fluorescence signal for phagocytosis. The band intensity was calculated relative value of the WT band. Data are presented as mean ± standard deviation (SD).
Data availability
The datasets used and analyzed during the current study are available from the corresponding author on reasonable request.
References
Dai, M. H. et al. The genes associated with early-onset Alzheimer’s disease. Oncotarget 9, 15132–15143 (2018).
Lanoiselée, H. M. et al. APP, PSEN1, and PSEN2 mutations in early-onset Alzheimer disease: a genetic screening study of familial and sporadic cases. PLoS Med. 14, e1002270 (2017).
Rosenberg, R. N. et al. Genomics of Alzheimer disease: a review. JAMA Neurol. 73, 867–874 (2016).
Bellenguez, C. et al. New insights into the genetic etiology of Alzheimer’s disease and related dementias. Nat. Genet. 54, 412–436 (2022).
Rajabli, F. et al. Multi-ancestry genome-wide meta-analysis of 56,241 individuals identifies known and novel cross-population and ancestry-specific associations as novel risk loci for Alzheimer’s disease. Genome Biol. 26, 210 (2025).
Ulland, T. K. & Colonna, M. TREM2 — a key player in microglial biology and Alzheimer disease. Nat. Rev. Neurol. 14, 667–675 (2018).
Yeh, F. L., Hansen, D. V. & Sheng, M. TREM2, microglia, and neurodegenerative diseases. Trends Mol. Med. 23, 512–533 (2017).
Xiang, Y. et al. Physiological amyloid-beta clearance in the periphery and its therapeutic potential for Alzheimer’s disease. Acta Neuropathol. 130, 487–499 (2015).
Kober, D. L. et al. Neurodegenerative disease mutations in TREM2 reveal a functional surface and distinct loss-of-function mechanisms. Elife 5, e20391 (2016).
Kleinberger, G. et al. TREM2 mutations implicated in neurodegeneration impair cell surface transport and phagocytosis. Sci. Transl. Med. 6, 243ra86 (2014).
Guerreiro, R. et al. TREM2 variants in Alzheimer’s disease. N. Engl. J. Med. 368, 117–127 (2012).
Jonsson, T. et al. Variant of TREM2 associated with the risk of Alzheimer’s disease. N. Engl. J. Med. 368, 107–116 (2013).
Sudom, A. et al. Molecular basis for the loss-of-function effects of the Alzheimer’s disease-associated R47H variant of the immune receptor TREM2. J. Biol. Chem. 293, 12634–12646 (2018).
Cheng-Hathaway, P. J. et al. The Trem2 R47H variant confers loss-of-function-like phenotypes in Alzheimer’s disease. Mol. Neurodegener. 13, 29 (2018).
Sirkis, D. W. et al. Rare TREM2 variants associated with Alzheimer’s disease display reduced cell surface expression. Acta Neuropathol. Commun. 4, 98 (2016).
Cuyvers, E. et al. Investigating the role of rare heterozygous TREM2 variants in Alzheimer’s disease and frontotemporal dementia. Neurobiol. Aging 35, 726.e11–9 (2014).
Owji, H. et al. A comprehensive review of signal peptides: structure, roles, and applications. Eur. J. Cell Biol. 97, 422–441 (2018).
Gutierrez Guarnizo, S. A. et al. Pathogenic signal peptide variants in the human genome. NAR Genom. Bioinform. 5, lqad093 (2023).
La Rosa, F. et al. TREM2 expression and amyloid-beta phagocytosis in Alzheimer’s disease. Int. J. Mol. Sci. 24, 8626 (2023).
Guerreiro, R. & Hardy, J. Genetics of Alzheimer’s disease. Neurotherapeutics 11, 732–737 (2014).
Lessard, C. B. et al. High-affinity interactions and signal transduction between Aβ oligomers and TREM2. EMBO Mol. Med. 10, e9027 (2018).
Blobel, G. Intracellular protein topogenesis. Proc. Natl. Acad. Sci. USA 77,1496–1500 (1980).
Blobel, G. Protein targeting (Nobel lecture). Chembiochem 1, 86–102 (2000).
Piccio, L. et al. Cerebrospinal fluid soluble TREM2 is higher in Alzheimer disease and associated with mutation status. Acta Neuropathol. 131, 925–933 (2016).
Ashton, N. J. et al. Plasma levels of soluble TREM2 and neurofilament light chain in TREM2 rare variant carriers. Alzheimer’s. Res. Ther. 11, 94 (2019).
Oliver, J. et al. The Sec61 complex is essential for the insertion of proteins into the membrane of the endoplasmic reticulum. FEBS Lett. 362, 126–130 (1995).
Mordkovich, N. N., Okorokova, N. A. & Veiko, V. P. Structural and functional organization of the signal peptide of pro-enterotoxin B from Staphylococcus aureus. Appl. Biochem. Microbiol. 51, 641–648 (2015).
Rapoport, T. A., Jungnickel, B. & Kutay, U. Protein transport across the eukaryotic endoplasmic reticulum and bacterial inner membranes. Annu. Rev. Biochem. 65, 271–303 (1996).
Nilsson, I. et al. The code for directing proteins for translocation across ER membrane: SRP cotranslationally recognizes specific features of a signal sequence. J. Mol. Biol. 427, 1191–1201 (2015).
Akhter, R. et al. TREM2 alters the phagocytic, apoptotic and inflammatory response to Aβ(42) in HMC3 cells. Mol. Immunol. 131, 171–179 (2021).
Schlepckow, K. et al. An Alzheimer-associated TREM2 variant occurs at the ADAM cleavage site and affects shedding and phagocytic function. EMBO Mol. Med. 9, 1356–1365 (2017).
Cantoni, C. et al. TREM2 regulates microglial cell activation in response to demyelination in vivo. Acta Neuropathol. 129, 429–447 (2015).
McQuade, A. et al. Gene expression and functional deficits underlie TREM2-knockout microglia responses in human models of Alzheimer’s disease. Nat. Commun. 11, 5370 (2020).
Belsare, K. D., et al. Soluble TREM2 inhibits secondary nucleation of Aβ fibrillization and enhances cellular uptake of fibrillar Aβ. Proc. Natl. Acad. Sci. USA 119, e2114486119 (2022).
Moutinho, M. et al. TREM2 splice isoforms generate soluble TREM2 species that disrupt long-term potentiation. Genome Med. 15, 11 (2023).
Yao, H. et al. Distinct signaling pathways regulate TREM2 phagocytic and nfκb antagonistic activities. Front. Cell Neurosci. 13, 457 (2019).
Acknowledgements
We appreciate the patient for providing samples and for their agreement to participate in this research. This work was supported by Basic Science Research Program through the National Research Foundation of Korea (NRF) funded by the Ministry of Education (RS-2021-NR060117, RS-2023-00251396 and RS-2025-25396102).
Author information
Authors and Affiliations
Contributions
Conceptualization: D.K., H.B., K.S., S.A., and M.K.; Methodology: D.Y., K.S., H.Y., and M.K.; Resources: H.B., D.J., and M.K.; Data curation: D.Y. and H.B.; Investigation: D.Y., K.S., and M.K.; Validation: M.K. and S.A.; Project administration: K.S. and M.K.; D.Y.; Writing the original draft: H.B. and M.K.; Writing, reviewing, and editing: K.S. and S.A.; Supervision: S.A. and M.K.; Funding acquisition: S.A. and M.K. All authors have read and agreed to the published version of the manuscript.
Corresponding authors
Ethics declarations
Competing interests
The authors declare no competing interests.
Additional information
Publisher’s note Springer Nature remains neutral with regard to jurisdictional claims in published maps and institutional affiliations.
Supplementary information
Rights and permissions
Open Access This article is licensed under a Creative Commons Attribution 4.0 International License, which permits use, sharing, adaptation, distribution and reproduction in any medium or format, as long as you give appropriate credit to the original author(s) and the source, provide a link to the Creative Commons licence, and indicate if changes were made. The images or other third party material in this article are included in the article’s Creative Commons licence, unless indicated otherwise in a credit line to the material. If material is not included in the article’s Creative Commons licence and your intended use is not permitted by statutory regulation or exceeds the permitted use, you will need to obtain permission directly from the copyright holder. To view a copy of this licence, visit http://creativecommons.org/licenses/by/4.0/.
About this article
Cite this article
Kim, D., Bae, H., Shim, K.H. et al. A novel TREM2 L15Q in signal peptide domain and its influence on Aβ pathogenicity. npj Dement. 2, 8 (2026). https://doi.org/10.1038/s44400-025-00057-5
Received:
Accepted:
Published:
Version of record:
DOI: https://doi.org/10.1038/s44400-025-00057-5






