Abstract
Pendrin (SLC26A4), a transmembrane anion exchanger, is upregulated in inflammatory airway diseases. In this study, we analyzed the role of pendrin expression in a ventilator-induced acute lung injury (VILI) animal model. VILI was induced in the supine or prone position by a high tidal volume (HTV) of 30 mL/kg for 5 h in pendrin wild-type (WT) and knockout (KO) 129SVEV mice. Pendrin inhibitor (YS-01) was intraperitoneally administered to modulate pendrin signaling. Lung injury parameters were assessed based on bronchoalveolar lavage fluid (BALF) analysis, inflammatory cytokine analysis by ELISA, and histopathological findings. Pendrin expression was determined by western blotting and transmission electron microscopy (TEM) using immunogold labeling methods. The degree of lung injury was significantly attenuated in pendrin-KO mice and pendrin-WT mice with YS-01 compared with pendrin-WT animals after HTV ventilation. Pendrin expression was down-regulated in pendrin-KO mice and pendrin-WT mice with YS-01 compared with pendrin-WT mice with VILI, as determined by western blotting and TEM-immunogold labeling. Prone positioning during ventilation attenuated lung inflammation and pendrin expression. Our results suggest that pendrin is critical in VILI and could be a novel target for modulating VILI. Prone positioning and pendrin inhibition in VILI may be effective in managing these conditions.
Similar content being viewed by others
Introduction
Acute lung injury and acute respiratory distress syndrome (ALI/ARDS) are characterized by the rapid onset of hypoxemia with diffuse bilateral pulmonary infiltrates. It has a high mortality rate and poses a significant financial burden on critically ill patients1. Mechanical ventilation (MV) is a cornerstone of ALI/ARDS management; however, it can paradoxically cause lung damage and aggravate ALI/ARDS2. This condition, known as ventilator-induced lung injury (VILI), resulted from the mechanical stress imposed on injured, edematous, and non-uniformly ventilated3. Although a ventilator strategy with low tidal volume improves the prognosis of VILI in ALI/ARDS, some patients are inherently susceptible to VILI4,5. Prone positioning also prevents VILI by reducing uneven lung injury6. However, the molecular mechanisms of VILI and prone position management are not fully understood7.
Pendrin (SLC26A4) is a transmembrane anion exchanger protein located on the apical surface of epithelial cells in the kidney, thyroid, lung, and inner ear8,9,10. This protein acts as a Cl⁻/anion exchanger that transports Cl⁻ to bases, including iodide (I⁻), bicarbonate (HCO3⁻), hydroxide (OH⁻), and thiocyanate (SCN⁻)11. While pendrin expression in normal airway epithelium is negligible12, it is significantly overexpressed in inflammatory airway disease including asthma and chronic obstructive pulmonary disease (COPD), in response to IL-4, IL13, or allergen exposure13,14. Pendrin had also been implicated in infection-related lung inflammation; in an animal model in response to Bordetella pertussis infection15. Furthermore, previous in vivo and in vitro studies have identified increased pendrin expression in an ALI/ARDS animal model using LPS induction16, and a novel pendrin inhibitor (YS-01) reduces the inflammatory response in LPS-induced ALI, suggesting that pendrin could be a target for ALI/ARDS treatment17. Despite growing evidence linking pendrin to inflammatory lung disease, the role of pendrin in VILI has remained unclear and has not been reported.
Based on these observations, we aimed to investigate the role of pendrin in the VILI-induced ALI/ARDS. Using a VILI mouse model, we assessed pendrin expression in response to mechanical ventilation-induced injury. We further examined whether pendrin-null mice and treatment with a pendrin inhibitor attenuated the level of inflammation during VILI, as well as the impact of prone positioning on pendrin-related responses.
Results
Deletion of the pendrin decreases the inflammatory response in VILI
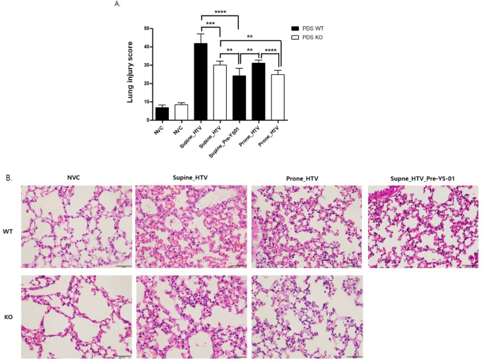
We performed analysis of BALF and histological assessments by comparing pendrin-WT and pendrin-KO mice to evaluate the role of pendrin in VILI. The total cell count in BALF was markedly increased in pendrin-WT mice after high tidal volume (HTV) ventilation (30 mL/kg) compared with those in the non-ventilation control group (Fig. 1A,C). Cell differentiation in pendrin-WT mice with HTV ventilation predominantly comprised macrophages with few neutrophils and lymphocytes (Fig. 1B). In addition, histological examination showed increased leukocyte infiltration and lung injury scores in pendrin-WT mice following HTV ventilation, relative to non-ventilated controls (Fig. 2A,B).
Deletion of pendrin and prone positioning attenuated ventilator-induced lung injury in a mice model, as demonstrated by bronchoalveolar lavage (BAL) fluid and histologic findings. Pendrin wild-type (WT) and knockout (KO) mice were subjected to a tracheostomy and ventilation with a supine or prone position at a high tidal volume (HTV) of 30 mL/kg. Pendrin inhibitor (YS-01) was administered intra-peritoneally 1 h before inducing VILI in the supine position. (A) Total cell count in BAL fluid. (B) Cell differential count of BAL fluid. (C) BAL fluid cytology presented cell differentiation with visual fields. NVC, non-ventilation control group; supine HTV, HTV ventilation in supine position; prone HTV, HTV ventilation in prone position. *p < 0.05, **p < 0.01, ***p < 0.001 analyzed by Student’s unpaired two-tailed t-test.
Lung histology in pendrin-KO mice after 5-h HTV ventilation showed a significantly lower degree of leukocyte infiltrations and lung injury score. Pendrin wild-type (WT) and knockout (KO) mice were subjected to a tracheostomy and ventilation with a supine or prone position at a high tidal volume (HTV) of 30 mL/kg. Pendrin inhibitor (YS-01) was administered intra-peritoneally 1 h before inducing VILI in the supine position. (A) Lung injury scoring of each group. (B) Histopathologic image of hematoxylin and eosin (H&E) staining (× 400). Representative images are shown; minor variations in exposure do not affect data interpretation. NVC, non-ventilation control group; supine HTV, HTV ventilation in supine position; prone HTV, HTV ventilation in prone position. *p < 0.05, **p < 0.01, ***p < 0.001 analyzed by Student’s unpaired two-tailed t-test.
We further evaluated the role of pendrin in VILI by assessing the degree of lung injury in the deficiency of pendrin, using pendrin KO mice and pharmacological inhibition with the pendrin inhibitor (YS-01). Compared with the pendrin-WT mice with HTV ventilation, both the pendrin-KO mice and the YS-01 treated pendrin-WT mice resulted in decreased BALF total cell counts (Fig. 1A,C) and attenuated lung injury scores (Fig. 2A,B) after HTV ventilation.
Prone positioning during ventilation with HTV attenuated the VILI
To investigate the protective effect of prone positioning during HTV ventilation as well as the potential role of pendrin under this condition, BALF and lung histology results were compared between supine and prone HTV mice. In the BALF, the total cell count was significantly decreased in prone HTV mice relative to supine HTV pendrin-WT mice (Fig. 1A,C). Assessment of lung histology in prone HTV mice revealed a significantly lower degree of leukocyte infiltration and lung injury scores relative to supine HTV pendrin-WT mice (Fig. 2A,B). Furthermore, between the pendrin-WT and pendrin-KO mice groups subjected to HTV in the prone position, the BALF total cell count (Fig. 1A,C) and lung injury score (Fig. 2A,B) were lower in the pendrin-KO mice group compared to the pendrin-WT mice group.
Pendrin deletion and prone positioning suppressed inflammatory cytokine release in the VILI mice model
We further investigated the levels of inflammatory cytokines using ELISA to determine the effects of pendrin deletion and prone positioning in a mouse model of VILI. After HTV ventilation, the levels of cytokines, including tumor necrosis factor-alpha (TNF-α), macrophage inflammatory protein-2 (MIP-2), and interleukin 1 beta (IL-1β) were remarkably elevated than those in non-ventilation (TNF-α: 6.06 ± 1.06 vs. 0.72 ± 0.44 pg/mL; MIP-2: 583.48 ± 89.30 vs. 12.12 ± 4.16 pg/mL; IL-1β: 89.70 ± 36.74 vs. 16.30 ± 8.04 pg/mL, respectively). In the supine HTV group, pendrin-KO mice (TNF-α: 5.12 ± 1.72 pg/mL; MIP-2: 300.22 ± 42.88 pg/mL, respectively) and pendrin-WT mice administered with YS-01 (TNF-α: 1.03 ± 0.59 pg/mL; MIP-2: 110.28 ± 47.86 pg/mL, respectively) showed lower levels of inflammatory cytokines including TNF-α and MIP-2 (Fig. 3).
Inflammatory cytokines were significantly decreased in the pendrin-KO mice group than those in pendrin-WT mice in the supine HTV group, analyzed using ELISA. (A) Tumor necrosis factor-α (TNF-α) levels were significantly reduced in pendrin-WT mice administered with YS-01 under HTV conditions. (B) Macrophage inflammatory protein (MIP-2) levels markedly decreased in both the pendrin-KO mice and pendrin-WT mice with YS-01 groups under supine HTV conditions. (C) Interleukin-1β (IL-1ß) levels elevated under HTV ventilation, but did not differ significantly among experimental groups. NVC, non-ventilation control group; supine HTV, HTV ventilation in supine position; prone HTV, HTV ventilation in prone position; HTV, high tidal volume; WT, wild-type; KO, knockout. *p < 0.05, **p < 0.01, ***p < 0.001 analyzed by Student’s unpaired two-tailed t-test.
Increased pendrin expression in HTV-ventilated mice
To confirm the increase in pendrin expression, we performed western blot analysis and TEM-immunogold labeling for pendrin (SLC26A4). Western blotting showed that pendrin expression was higher in pendrin-WT mice with VILI compared with the control non-ventilation group, pendrin-KO mice, and pendrin-WT mice administered YS-01. Furthermore, when HTV was applied in the prone position, both the WT and KO mice groups showed lower pendrin expression compared to when HTV was applied in the supine position (Fig. 4A,B).
Pendrin expression increases in HTV ventilation mice. Pendrin wild-type (WT) and knockout (KO) mice were conducted to a tracheostomy and ventilation with a supine or prone position at a high tidal volume (HTV) of 30 mL/kg. Pendrin inhibitor (YS-01) was administered intra-peritoneally 1 h before inducing VILI in the supine position. (A) Western blot and (B) densitometry analyses of pendrin bands. Cropped images are shown in figure for clarity. The original gels with visible edges are presented in Supplementary Fig. S1. NVC, non-ventilation control group; supine HTV, HTV ventilation in supine position; prone HTV, HTV ventilation in prone position; PDS, pendrin. *p < 0.05, **p < 0.01, ***p < 0.001 analyzed by Student’s unpaired two-tailed t-test.
We conducted TEM-immunogold labeling for pendrin to compare the expression of pendrin in each group at the ultrastructural level. The HTV WT mice in the supine and prone positions revealed increased pendrin expression on the cell membrane and in vesicles compared with that on the apical side of epithelial cells in the control non-ventilation group, pendrin-KO mice, and pendrin-WT mice administered with YS-01 (Fig. 5A–G). The number of gold particles labeled with pendrin increased under HTV ventilation compared to the control non-ventilation group. And in both supine and prone positioning experiments, pendrin expression was lower in pendrin-KO mice than in the pendrin-WT mice. When comparing the supine and prone position groups under HTV, although the difference was not statistically significant, the number of gold particles labeled with pendrin was lower in the prone position (Fig. 5H).
Effect of pendrin deletion on VILI as demonstrated by transmission electron micrographic immune-gold labeling. Pendrin wild-type (WT) and knockout (KO) mice were subjected to tracheostomy and ventilation with a supine or prone position at a high tidal volume (HTV) of 30 mL/kg. (A) Non-ventilated group, pendrin-WT mice. (B) Non-ventilated group, pendrin-KO mice. (C) HTV ventilation in the supine position, pendrin-WT mice. (D) HTV ventilation in the supine position, pendrin-KO mice. (E) HTV ventilation with YS-01 before 1 h in the supine position. (F) HTV ventilation in the prone position, pendrin-WT mice. (G) HTV ventilation in the prone position, pendrin-KO mice. (H) Comparisons of gold particle count labeled with pendrin. Black triangles mark regions of immune-gold particle detection. BEC, bronchial epithelial cell; BL, bronchial lumen; C, cilia. *p < 0.05, **p < 0.01, ***p < 0.001 analyzed by Student’s unpaired two-tailed t-test.
Discussion
In this study, pendrin expression was increased in response to HTV ventilation, and increased pendrin expression was associated with the inflammatory cascade. The modulation of pendrin through pendrin-KO mice and pendrin inhibitor (YS-01) resulted in a decreased inflammatory response in VILI. Furthermore, prone positioning during HTV attenuated lung injury in WT mice and was associated with pendrin expression.
The transmembrane anion exchanger protein pendrin (SLC26A4) is associated with various disorders in related organs18. Recent research has provided evidence supporting the role of pendrin as a pivotal protein in airway diseases, such as asthma, COPD, and rhinitis19. The involvement of pendrin in ALI/ARDS has been suggested in previous studies but its exact mechanism of action remains unclear. Jia et al.16 showed that the distal airway plays a role in ALI/ARDS, and pendrin in alveolar epithelial cells is involved in the inflammatory process of LPS-induced ALI. Furthermore, they demonstrated that the treatment of LPS-induced ALI mice with methazolamide, a carbonic anhydrase inhibitor, significantly reduced lung inflammation. Lee et al.17 confirmed that pendrin expression increased in both human BAL samples with pneumonia and an LPS-induced ALI mouse model, and pendrin-null mice presented reduced lung damage by LPS. Moreover, they identified that the pendrin inhibitor (YS-01) could attenuate LPS-induced lung injury by inhibiting the pendrin/OSCN-/NF-κB-mediated pathway, indicating the possibility of developing a novel treatment of ALI. They concluded that airway epithelial cells could be a therapeutic target for developing new drugs and strategies for ALI/ARDS treatment. However, additional research is necessary to explore the molecular mechanism of pendrin upregulation and its therapeutic potential in ALI/ARDS.
The clinical outcomes of ALI/ARDS have significantly improved owing to therapeutic strategies such as low tidal volume with low plateau pressure; however, it remains a challenging condition to manage20,21. Mechanical ventilation is an important treatment option for ALI/ARDS22; notwithstanding, it may paradoxically lead to further lung injury, known as VILI, which can result in poor prognosis23. The mechanism of VILI, including conventional barotrauma, volutrauma, and atelectrauma, comprises initiation by induced tensile strain and direct tissue damage to the lungs, leading to increased permeability and disruption of the alveolar-capillary barrier24. This mechanical strain interrupts the clearance of edema fluid from the airspaces and triggers the release of inflammatory mediators within the distal lung, inducing end-organ dysfunction by entering the systemic circulation25. An increased inflammation response due to mechanical stretching during HTV ventilation, including elevation of TNF-α, IL-1β, and IL-6, has been observed in the BALF of patients with ARDS and in lung injury mice models26,27,28. In the present study, we observed increased inflammatory pathology by developing HTV-induced lung injury, consistent with previous studies.
Prone positioning during invasive mechanical ventilation improves the outcome in patients with ARDS29. The protective mechanism of prone positioning in ARDS includes improvement of hypoxemia by enhancing ventilation-perfusion mismatching and reducing dependent atelectasis30. Prone positioning can improve cardiac function and hemodynamics31, respiratory mechanics, and prevent VILI32. In a previous study, Broccard et al.33 confirmed a significant reduction in lung injury and homogeneous distribution of VILI in normal dogs with HTV ventilation for 6 h in the prone position. Moreover, a recent study by Park reported that prone positioning could affect VILI at the molecular level by influencing the activation of mitogen protein kinases in rodents exposed to HTV ventilation34.
Recent research has focused on elucidating the molecular mechanism of the mechanotransduction pathway in VILI and prone positioning35. For example, Held et al.36 reported that mechanical stimuli were found to trigger NF-κB activation, leading to the release of inflammatory cytokines. Notably, they demonstrated the possibility of a therapeutic strategy in which NF-κB activation by mechanical stimuli is inhibited using corticosteroids. Lee et al.37 reported that lung injury from mechanical stretch increased total cell count in BALF, with a predominance of macrophages, and they further demonstrated that NOX4 and Eph/ephrin signaling pathways were demonstrated in the underlying mechanisms of VILI. Furthermore, Park et al.7 reported that the lung-protective effects of altered EphA2/ephrinA1 signaling through EphA2 antagonism were observed during injurious mechanical ventilation. They also identified that prone positioning exerted a protective effect on VILI. However, the molecular mechanisms underlying VILI and prone positioning remain largely unknown.
Our data showed that pendrin expression was elevated in the VILI mouse model, demonstrating an increased response to lung inflammation. Additionally, pendrin deletion exerted a preventive effect in a VILI mouse model, confirmed using a pendrin inhibitor (YS-01) and pendrin-null mice. Furthermore, we demonstrated that prone positioning is also effective in reducing lung inflammatory responses in VILI, and is associated with pendrin expression. Our data suggest that pendrin expression is associated with lung injury due to mechanical stretching, and the modulation of pendrin might be a novel strategy for preventing VILI.
A significant limitation of our study is the lack of investigation about the exact mechanism of pendrin expression and its downstream signaling cascades in VILI. Our results suggest the association between pendrin and inflammatory response. However, the mechanistic links, particularly how mechanical stretch and prone positioning may be related pendrin via mechanotransduction pathways, remain to be elucidated. Nonetheless, our study is the first to investigate the relevance of pendrin and prone positioning in VILI caused by mechanical strain. A novel molecule pendrin inhibitor represents a potential new therapeutic approach for VILI treatment. Additionally, we identified the changes in pendrin expression in response to VILI and prone positioning using TEM-immunogold labeling, as in previous studies38.
In conclusion, increased pendrin expression in response to HTV ventilation is related to the inflammatory cascade induced by mechanical strain and tissue injury. Our results showed that modulation of pendrin resulted in decreased inflammatory response in VILI, indicating its protective role against lung injury. We showed that prone positioning during HTV attenuated lung injury in WT mice. We identified pendrin as a potential therapeutic target for managing VILI and improving the outcomes of patients with VILI. Further studies are needed to investigate the relationship between pendrin expression and prone position and explore therapeutic strategies for modulating the expression and activity of pendrin.
Methods
Experimental animals
Pendrin wild-type (WT) and knockout (KO) 129SVEV mice (weight 20–25 g, age 6–8 weeks) were donated by JY Choi at Yonsei University. Genotyping of the Pendrin KO (SLC26A4−/−) mice was performed using the following primers; pPNTloxP (5′-GGG TGC GGA GAA AGA GGT AAT G-3′), exon8 (5′-GCA TTG TAG TTC TTT TCC AAG TTG G-3′), and exon7 (5′TGC CGA TTT CAT CGC TGG-3′). All experimental protocols were approved by the Institutional Animal Care and Use Committee of the Yonsei University College of Medicine (6-2018-0164) and were conducted in accordance with the National Animal Care and Use Committee (IACUC). Animal research in this study was performed in accordance with the ARRIVE 2.0 guidelines.
VILI model in mice
The mice were subjected to intraperitoneal anesthesia using a combination of ketamine (100 mg/kg) and xylazine (10 mg/kg) before performing the tracheostomy. After euthanasia, each mouse was positioned supine and secured on a surgical board. The upper incisors were secured to gently extend the neck, and the exposed trachea was punctured carefully using a 21-gauge needle. The mice were ventilated in the supine or prone position at a HTV of 30 mL/kg and a rate of 100 breaths per minute for 5 h to induce VILI39,40. Other ventilator settings were 0 cm H2O end-expiratory pressure and 0.21 inspired oxygen fraction. Pendrin inhibitor (YS-01, 10 mg/kg) in 50 μL DMSO was administered intraperitoneally 1 h prior to VILI induction in the supine position (Fig. 6). For the vehicle control group, 50 μL DMSO alone was administered intraperitoneally. At the completion of the ventilation protocol, each mouse was humanely euthanized in a carbon dioxide (CO2) chamber, following institutional and national guidelines for the humane treatment of laboratory animals.
Ventilator-induced lung injury model in mice. Pendrin wild-type (WT) and knockout (KO) mice were tracheostomized and ventilated in the supine or prone position with a high tidal volume (HTV) of 30 mL/kg and a rate of 100 breaths/min for 5 h. The other ventilator settings were 0.21 inspired oxygen fraction and 0 cm H2O end-expiratory pressure. Pendrin inhibitor (YS-01) or vesicle was administered intra-peritoneally 1 h before inducing VILI in the supine position.
Study design and experimental protocol
Wild-type (WT) and KO mice were randomly assigned to each HTV ventilation group in the supine and prone positions. The experimental groups were as follows:
-
1.
non-ventilated group, pendrin WT (NVC, WT), n = 10
-
2.
non-ventilated group, pendrin KO (NVC, KO, n = 6
-
3.
supine HTV group, pendrin WT (supine_HTV, WT), n = 10
-
4.
supine HTV group, pendrin KO (supine_HTV, KO), n = 9
-
5.
supine HTV group with YS-01, pendrin WT (1 h before MV, supine HTV pre-YS-01), n = 5
-
6.
prone HTV group, pendrin WT (prone_HTV, WT), n = 10
-
7.
prone HTV group, pendrin KO (prone_HTV, KO), n = 8
Bronchoalveolar lavage fluid (BALF) analysis
After mechanical ventilation with HTV for 5 h, bronchoalveolar lavage (BAL) was performed through a tracheal catheter. BALF was directed into a tracheal catheter, gently retracted using 1 mL of sterile saline, and centrifuged (3000 rpm for 10 min at 4 °C). Inflammatory cytokines were analyzed using ELISA. The remaining pellets were resuspended in 100 μL PBS to determine cell count. The sample was cytocentrifuged at 800 rpm for 5 min (Shandon Cytospin 4 cytocentrifuge; Thermo Fisher Scientific, Waltham, MA, USA), then dried at room temperature before staining. Subsequently, the slides of each sample were stained using a Diff-Quik Stain Set (Dade Behring, Newark, DE, USA) to determine cell count. The cell count was measured under a light microscope by an investigator blinded to the experimental groups, and cells were classified as macrophages, neutrophils, and lymphocytes based on standard morphological criteria.
Histological assessment
After BALF collection, the abdominal cavity was opened with midline incision, followed by excision of the lungs for further histological or molecular analysis. The inflated lung with 4% low-melting agarose was fixed in 10% formaldehyde for a day. It was then embedded in paraffin and sectioned into 5-µm thick slices. Subsequently, lung sections were subjected to hematoxylin and eosin staining and analyzed using bright-field microscopy. Histological evaluation of lung injury on each slide was performed in a blinded manner using the weighted scoring scale described in the official American Thoracic Society Workshop Report40.
Western blotting
The harvested right lung tissues were lysed and homogenized, and protein concentrations were quantified using a BCA assay from Thermo Fisher Scientific. Equal amounts of protein (20–30 µg) were loaded in each SDS-PAGE well, electrophoresed, and transferred to nitrocellulose membranes. After blocking the with 5% skin milk in TBS-T, the membranes were incubated overnight at 4 °C with primary antibodies included rabbit SLC26A4 (ab98091; Abcam, Cambridge, UK) and mouse β-actin (sc47779; Santa Cruz Biotechnology, Dallas, TX, USA). After washing, membranes were incubated with appropriate secondary antibodies and developed using enhanced chemiluminescence substrates (SuperSignal West Pico Chemiluminescence Detection Kit; Thermo Fisher Scientific). ImageJ software (NIH, Bethesda, MD, USA) was used to quantify the western blots.
ELISA
The inflammatory cytokine levels in the lung lysates including MIP-2, IL-1ß, and TNF-α were measured using ELISA kits (MilliporeSigma, Burlington, MA, USA) according to the manufacturer’s protocol.
Transmission electron microscopy
Lung injury was assessed to visualize the target protein of pendrin in the tissue using gold-conjugated antibody labeling procedures for localization at the ultrastructural level through transmission electron microscopy (TEM). Gold particle quantification was performed as follows: For each sample, 10 representative micrographs were randomly selected at × 18,000 magnification. A total of 5–10 cells per sample were evaluated including the apical membrane and cytoplasmic areas of epithelial cells. All measurements were performed using ImageJ software, and all analyses were conducted in a blinded manner to minimize potential bias. The results were expressed as the average number of gold particles per micrograph.
Statistical analysis
All statistical tests were performed using Student’s unpaired two-tailed t-test for comparison of each group using GraphPad Prism version 5.0 (GraphPad Software, La Jolla, CA, USA). Statistical significance was considered at p < 0.05. Data are presented as the mean ± SEM. The lung injury score is presented as the median ± SE.
Data availability
The datasets used and analysed during the current study available from the corresponding author on reasonable request.
References
Meyer, N. J., Gattinoni, L. & Calfee, C. S. Acute respiratory distress syndrome. Lancet 398, 622–637 (2021).
Beitler, J. R., Malhotra, A. & Thompson, B. T. Ventilator-induced lung injury. Clin. Chest Med. 37, 633–646 (2016).
Brower, R. G. et al. Ventilation with lower tidal volumes as compared with traditional tidal volumes for acute lung injury and the acute respiratory distress syndrome. N. Engl. J. Med. 342, 1301–1308 (2000).
Terragni, P. P. et al. Tidal hyperinflation during low tidal volume ventilation in acute respiratory distress syndrome. Am. J. Respir. Crit. Care Med. 175, 160–166 (2007).
Dellinger, R. P. Positive clinical impact of low tidal volume strategy. Crit. Care Med. 33, 1143–1144 (2005).
Gattinoni, L., Taccone, P., Carlesso, E. & Marini, J. J. Prone position in acute respiratory distress syndrome. Rationale, indications, and limits. Am. J. Respir. Crit. Care Med. 188, 1286–1293 (2013).
Park, B. H. et al. Erythropoietin-Producing Hepatoma Receptor Tyrosine Kinase A2 Modulation Associates with Protective Effect of Prone Position in Ventilator-induced Lung Injury. Am J Respir Cell Mol Biol 58, 519–529 (2018).
Adams, K. M. et al. IL-17A induces Pendrin expression and chloride-bicarbonate exchange in human bronchial epithelial cells. PLoS ONE 9, e103263 (2014).
Wangemann, P. The role of pendrin in the development of the murine inner ear. Cell Physiol. Biochem. 28, 527–534 (2011).
Wagner, C. A., Mohebbi, N., Capasso, G. & Geibel, J. P. The anion exchanger pendrin (SLC26A4) and renal acid-base homeostasis. Cell Physiol. Biochem. 28, 497–504 (2011).
Dossena, S., Nofziger, C., Lang, F., Valenti, G. & Paulmichl, M. The ESF meeting on “The proteomics, epigenetics and pharmacogenetics of pendrin”. Cell Physiol. Biochem. 28, 377–384 (2011).
Nofziger, C., Dossena, S., Suzuki, S., Izuhara, K. & Paulmichl, M. Pendrin function in airway epithelia. Cell Physiol. Biochem. 28, 571–578 (2011).
Nakao, I. et al. Identification of pendrin as a common mediator for mucus production in bronchial asthma and chronic obstructive pulmonary disease. J. Immunol. 180, 6262–6269 (2008).
Nakagami, Y. et al. The epithelial anion transporter pendrin is induced by allergy and rhinovirus infection, regulates airway surface liquid, and increases airway reactivity and inflammation in an asthma model. J. Immunol. 181, 2203–2210 (2008).
Scanlon, K. M. et al. Epithelial anion transporter pendrin contributes to inflammatory lung pathology in mouse models of Bordetella pertussis infection. Infect. Immun. 82, 4212–4221 (2014).
Jia, C. E., Jiang, D., Dai, H., Xiao, F. & Wang, C. Pendrin, an anion exchanger on lung epithelial cells, could be a novel target for lipopolysaccharide-induced acute lung injury mice. Am. J. Transl. Res. 8, 981–992 (2016).
Lee, E. H. et al. Inhibition of Pendrin by a small molecule reduces lipopolysaccharide-induced acute lung injury. Theranostics 10, 9913–9922 (2020).
Grimaldi, R., Capuano, P., Miranda, N., Wagner, C. & Capasso, G. Pendrin: physiology, molecular biology and clinical importance. G Ital. Nefrol. 24, 288–294 (2007).
Lee, H. J. et al. Thick airway surface liquid volume and weak mucin expression in pendrin-deficient human airway epithelia. Physiol. Rep. 3 (2015).
Shen, Y. et al. Interaction between low tidal volume ventilation strategy and severity of acute respiratory distress syndrome: a retrospective cohort study. Crit. Care 23, 254 (2019).
Eichacker, P. Q., Gerstenberger, E. P., Banks, S. M., Cui, X. & Natanson, C. Meta-analysis of acute lung injury and acute respiratory distress syndrome trials testing low tidal volumes. Am. J. Respir. Crit. Care Med. 166, 1510–1514 (2002).
Matthay, M. A. et al. Acute respiratory distress syndrome. Nat. Rev. Dis. Primers 5, 18 (2019).
Paudel, R. et al. Mechanical power: A new concept in mechanical ventilation. Am. J. Med. Sci. 362, 537–545 (2021).
Slutsky, A. S. & Ranieri, V. M. Ventilator-induced lung injury. N. Engl. J. Med. 369, 2126–2136 (2013).
Frank, J. A. & Matthay, M. A. Science review: mechanisms of ventilator-induced injury. Crit. Care 7, 233–241 (2003).
Pugin, J. et al. Activation of human macrophages by mechanical ventilation in vitro. Am. J. Physiol. 275, L1040-1050 (1998).
Chiumello, D., Pristine, G. & Slutsky, A. S. Mechanical ventilation affects local and systemic cytokines in an animal model of acute respiratory distress syndrome. Am. J. Respir. Crit. Care Med. 160, 109–116 (1999).
Tremblay, L., Valenza, F., Ribeiro, S. P., Li, J. & Slutsky, A. S. Injurious ventilatory strategies increase cytokines and c-fos m-RNA expression in an isolated rat lung model. J. Clin. Investig. 99, 944–952 (1997).
Guérin, C. et al. Prone position in ARDS patients: why, when, how and for whom. Intensive Care Med. 46, 2385–2396 (2020).
Rampon, G. L., Simpson, S. Q. & Agrawal, R. Prone positioning for acute hypoxemic respiratory failure and ARDS: A review. Chest 163, 332–340 (2023).
Lai, C., Monnet, X. & Teboul, J.-L. Hemodynamic implications of prone positioning in patients with ARDS. Crit. Care 27, 98 (2023).
Guerin, C., Baboi, L. & Richard, J. C. Mechanisms of the effects of prone positioning in acute respiratory distress syndrome. Intensive Care Med. 40, 1634–1642 (2014).
Broccard, A. et al. Prone positioning attenuates and redistributes ventilator-induced lung injury in dogs. Crit. Care Med. 28, 295–303 (2000).
Park, M. S. et al. Mitogen-activated protein kinase phosphatase-1 modulates regional effects of injurious mechanical ventilation in rodent lungs. Am. J. Respir. Crit. Care Med. 186, 72–81 (2012).
Chen, L., Xia, H. F., Shang, Y. & Yao, S. L. Molecular mechanisms of ventilator-induced lung injury. Chin. Med. J. (Engl.) 131, 1225–1231 (2018).
Held, H. D., Boettcher, S., Hamann, L. & Uhlig, S. Ventilation-induced chemokine and cytokine release is associated with activation of nuclear factor-kappaB and is blocked by steroids. Am. J. Respir. Crit. Care Med. 163, 711–716 (2001).
Lee, S. H. et al. NADPH oxidase 4 signaling in a ventilator-induced lung injury mouse model. Respir. Res. 23, 73 (2022).
Verlander, J. W. et al. Angiotensin II acts through the angiotensin 1a receptor to upregulate pendrin. Am. J. Physiol. Ren. Physiol. 301, F1314-1325 (2011).
Vaneker, M. et al. Mechanical ventilation in healthy mice induces reversible pulmonary and systemic cytokine elevation with preserved alveolar integrity: an in vivo model using clinical relevant ventilation settings. Anesthesiology 107, 419–426 (2007).
Matute-Bello, G. et al. An official American Thoracic Society workshop report: features and measurements of experimental acute lung injury in animals. Am. J. Respir. Cell Mol. Biol. 44, 725–738 (2011).
Funding
This research did not receive any specific grant from funding agencies in the public, commercial, or not-for-profit sectors.
Author information
Authors and Affiliations
Contributions
J.S.C.: Data curation, formal analysis, visualization, writing-original draft, writing-review and editing, M.H.S.: Conceptualization, data curation, formal analysis, investigation, methodology, validation, G.E.O.: Data curation, formal analysis, investigation, D.N.S.: Conseptualization, resources, W.N.: Conseptualization, resources, G.H.H.: Conseptualization, resources, J.Y.C.: Conseptualization, resources, writing-review and editing, M.S.P.: Conseptualization, data curation, formal analysis, investigation, methodology, supervision, writing-review and editing.
Corresponding author
Ethics declarations
Competing interests
The authors declare no competing interests.
Ethics approval and consent to participate
All experimental protocols were approved by the Institutional Animal Care and Use Committee of the Yonsei University College of Medicine (6-2018-0164) and were conducted in accordance with the National Animal Care and Use Committee (IACUC). Animal research in this study was performed in accordance with the ARRIVE 2.0 guidelines.
Additional information
Publisher’s note
Springer Nature remains neutral with regard to jurisdictional claims in published maps and institutional affiliations.
Supplementary Information
Rights and permissions
Open Access This article is licensed under a Creative Commons Attribution-NonCommercial-NoDerivatives 4.0 International License, which permits any non-commercial use, sharing, distribution and reproduction in any medium or format, as long as you give appropriate credit to the original author(s) and the source, provide a link to the Creative Commons licence, and indicate if you modified the licensed material. You do not have permission under this licence to share adapted material derived from this article or parts of it. The images or other third party material in this article are included in the article’s Creative Commons licence, unless indicated otherwise in a credit line to the material. If material is not included in the article’s Creative Commons licence and your intended use is not permitted by statutory regulation or exceeds the permitted use, you will need to obtain permission directly from the copyright holder. To view a copy of this licence, visit http://creativecommons.org/licenses/by-nc-nd/4.0/.
About this article
Cite this article
Choi, J.S., Shin, M.H., Oh, G.E. et al. Pendrin inhibition is associated with protective effect of prone positioning in a ventilator-induced lung injury mouse model. Sci Rep 15, 40926 (2025). https://doi.org/10.1038/s41598-025-24241-y
Received:
Accepted:
Published:
Version of record:
DOI: https://doi.org/10.1038/s41598-025-24241-y








